Go back
Myocardial infarction with T1/T2 Mapping
St. Marianna University School of Medicine, Japan
Patient information
Patient with myocardial infarction. ExamCard includes functional imaging, dynamic cardiac MR studies, black blood imaging and non-invasive assessment of myocardial tissue characteristics. Post-processing is performed on IntelliSpace Portal (ISP12), designed to reduce your time to report through optimized workflows and results automation.
Gallery
-
2 chamber view 3D PSIR
-
2 chamber view cine
-
2 chamber view T2w Black Blood
-
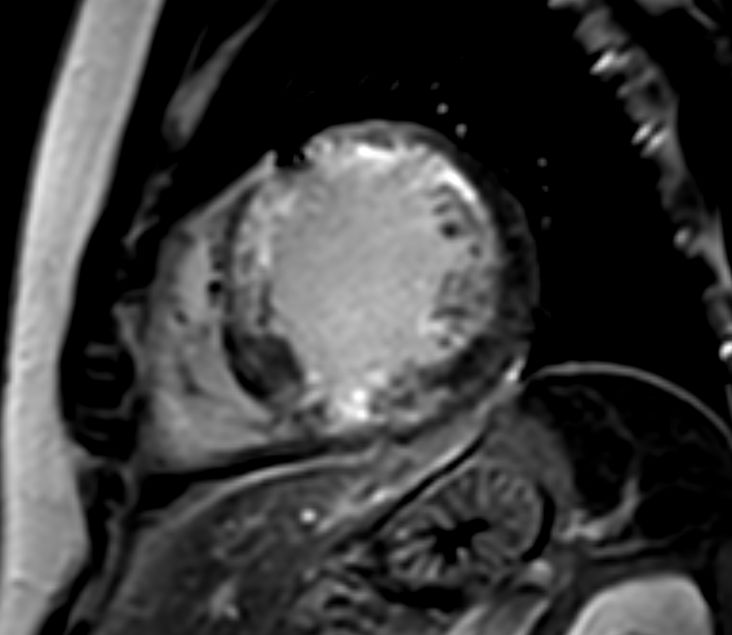
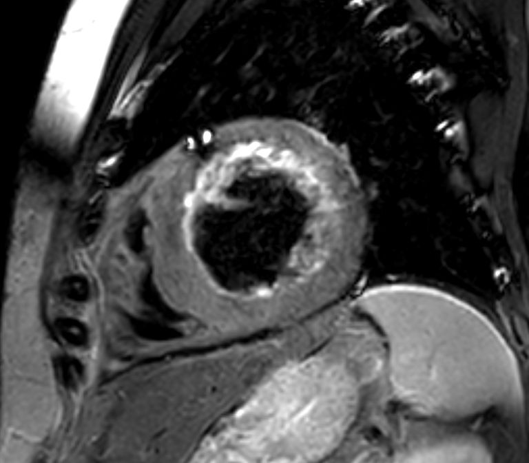
Short axis view 3D PSIR
-
Short axis view cine
-
Short axis view T2w Black Blood
-
Short axis view T1 Map (native)
-
Short axis view T1 Map (enhanced)
-
Short axis view (T1 Mapping on ISP 12)
-
Short axis view T2 Map
-
Short axis view (T2 Mapping on ISP 12)
-
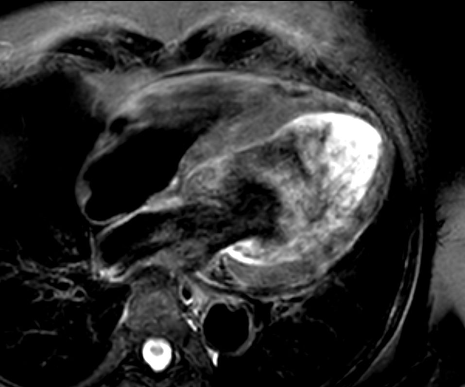
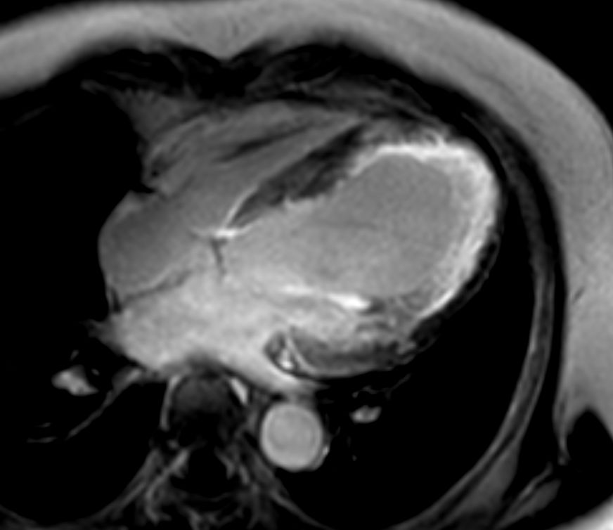
4 chamber view 3D PSIR
-
4 chamber view cine
-
4 chamber view T2w Black Blood
-
4 chamber view T1 Map (native)
-
4 chamber view T1 Map (enhanced)
-
4 chamber view (T1 Mapping on ISP 12)
-
4 chamber view T2 Map
-
4 chamber view (T2 Mapping on ISP 12)
-
2 chamber view 3D Late Gadolinium Enhancement
-
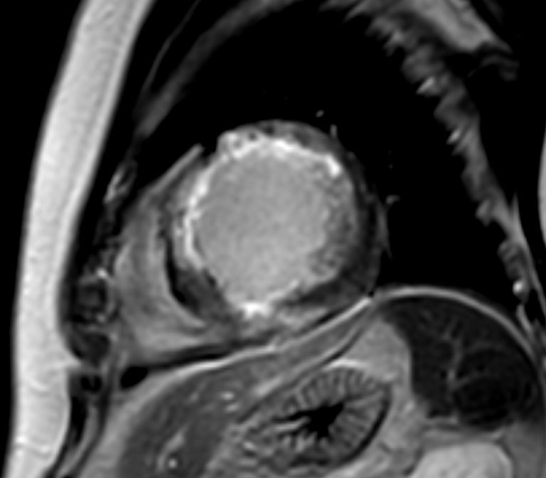
Short axis view 3D Late Gadolinium Enhancement
-
4 chamber view 3D Late Gadolinium Enhancement
-
LVOT view cine
Previous
Next
Close
Resolution
ScantimeObjective
*Results from case studies are not predictive of results in other cases. Results in other cases may vary.