Go back
Brain with multiple lesions
Krankenhaus der Barmherzigen Brüder, Trier, Germany
Gallery
-
Sagittal T2w TSE with ComforTone
-
Axial T2w MultiVane XD with ComforTone
-
Axial 3D T1w TFE
-
Axial DWI (b1000)
-
Axial DWI (ADC)
-
Axial DWI (eADC)
-
Coronal T2w TSE
-
Coronal T2w FLAIR with ComforTone
-
Axial Zoom Diffusion
-
Coronal Zoom Diffusion
-
Axial 3D T1w TFE (post-gado)
-
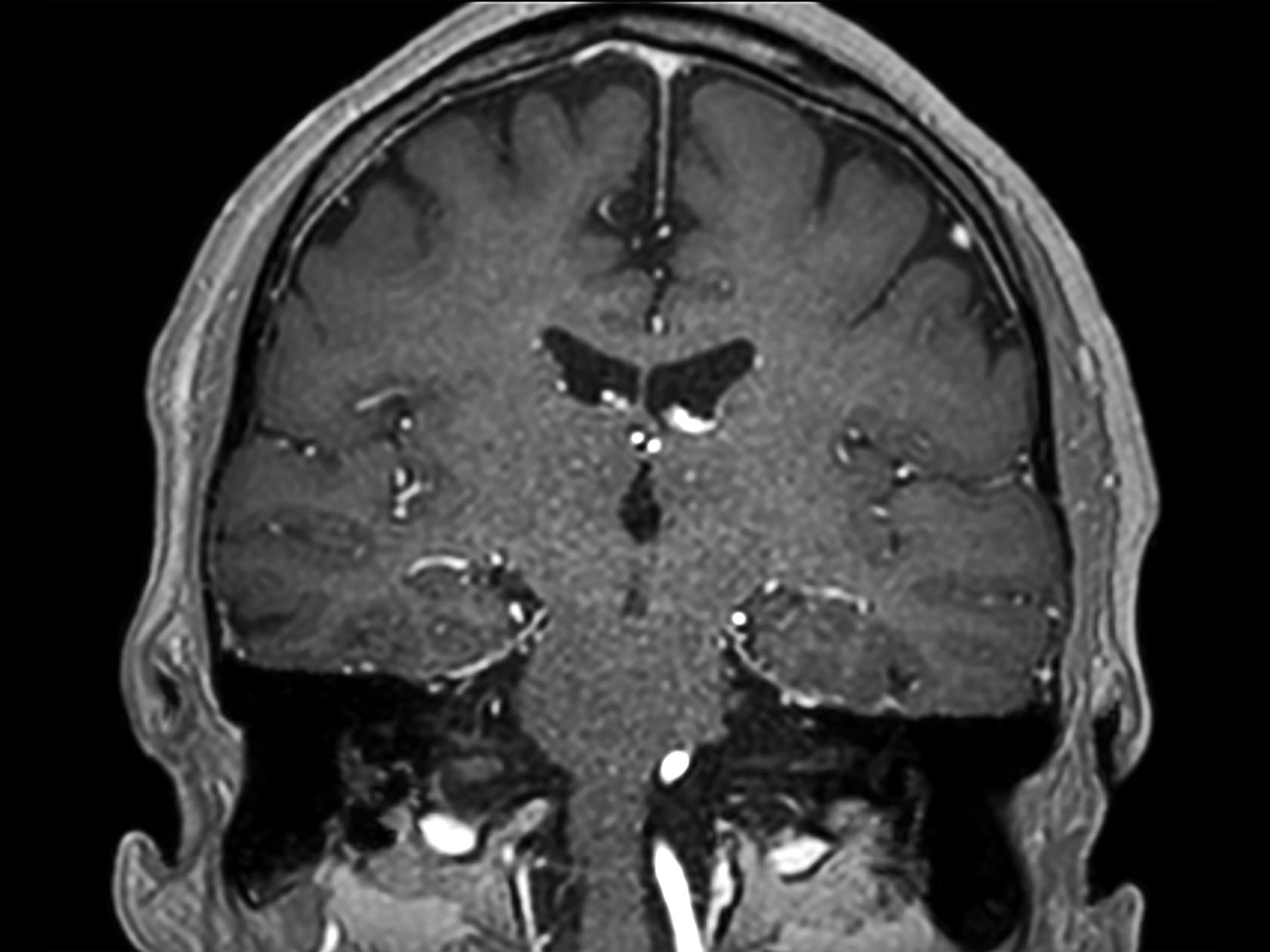
Coronal 3D T1w TFE (post-gado)
-
Sagittal 3D T1w TFE (post-gado)
-
Coronal T1w FFE (post-gado)
Previous
Next
Close
Resolution
ScantimeObjective
*Results from case studies are not predictive of results in other cases. Results in other cases may vary.