Go back
        Breast 3D and 4D imaging
        
            Hospital del Vinalopó, Alicante, Spain        
     
            
            
                
Patient information
                3D Breast imaging lets you acquire high resolution data in multiple directions, including oblique, in one scan helping you enhance your confidence when diagnosing lesions. 4D FreeBreathing provides dynamic information with a high temporal resolution, allowing contrast-enhanced MRI breast studies.            
        
    
    
    
        Gallery
        
    
        - 
      
         Axial 3D T2w BreastVIEW
- 
      
         3D T2w BreastVIEW (coronal reformat)
- 
      
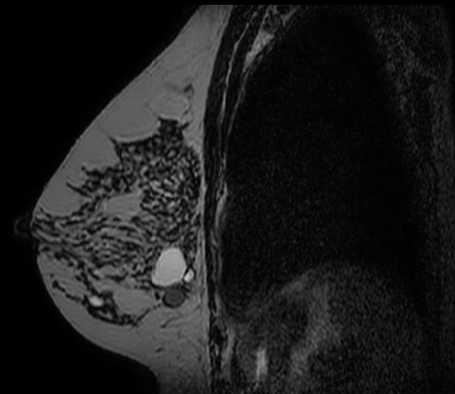
         3D T2w BreastVIEW (sagital reformat)
- 
      
         Axial 3D VANE XD
- 
      
         3D VANE XD (coronal reformat)
- 
      
         3D VANE XD (sagital reformat)
- 
      
         4D Free Breathing
                    
             
Previous
    Next         
    
    Close
    
    
        
        Resolution
ScantimeObjective
    
     
             
    
        
            *Results from case studies are not predictive of results in other cases. Results in other cases may vary.