Go back
        High quality, fast brain aneurysm imaging
        
            Hôpital de la Cavale Blanche, Brest, France        
     
            
            
                
Patient information
                High quality, fast 3.0T imaging for brain aneurysm on the uniquely designed Philips MR 7700 imaging system. Advanced 3D TSE imaging technique is used for T2w and T1w (pre- and post-gado injection), to acquire high resolution data in multiple directions in only one single scan. Up to 35% higher SNR is achieved for echo-planar (EPI) diffusion imaging thanks to the added power of the XP gradients. SWIp is added to provide high resolution 3D susceptibility weighted brain imaging including phase maps to support advanced diagnosis.            
        
    
    
    
        Gallery
        
    
        - 
      
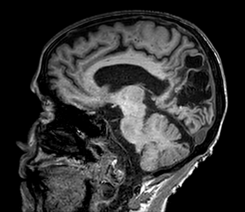
         Sagittal 3D VIEW - T2w FLAIR
- 
      
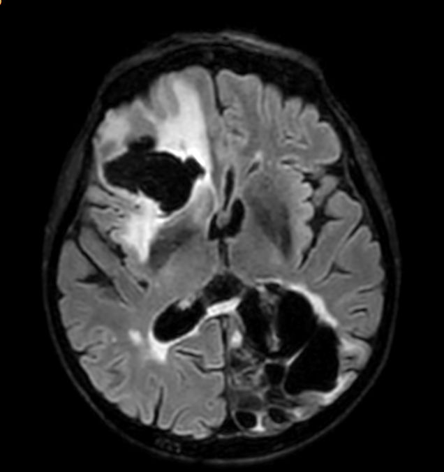
         3D VIEW - T2w FLAIR (axial reformat)
- 
      
         3D VIEW - T2w FLAIR (coronal reformat)
- 
      
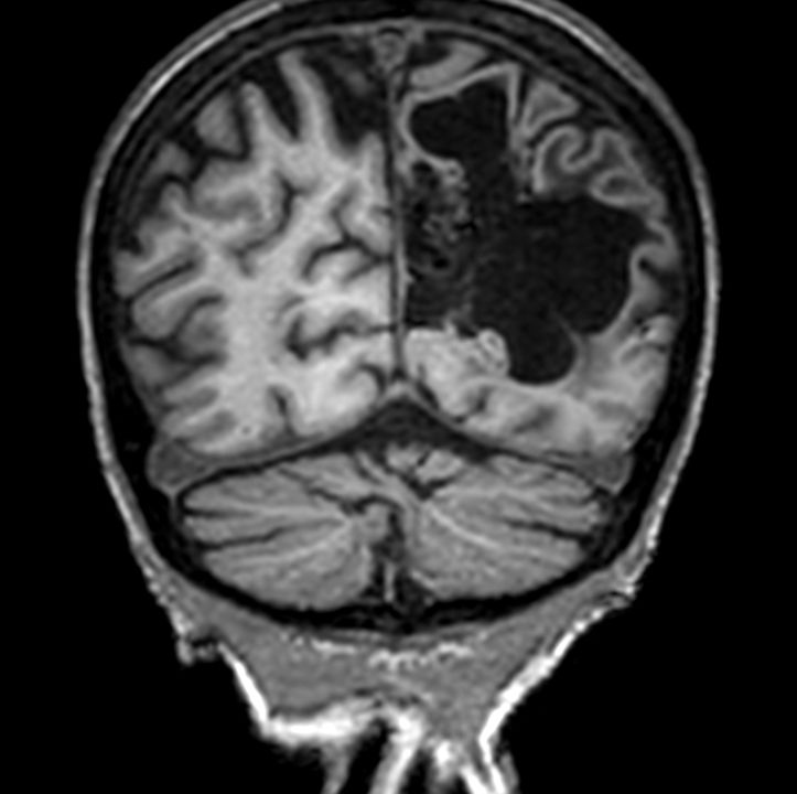
         Coronal T2w TSE
- 
      
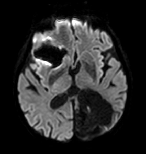
         Axial Diffusion (b1000)
- 
      
         Axial Diffusion (ADC)
- 
      
         Sagittal 3D T1w FFE
- 
      
         3D T1w FFE (axial reformat)
- 
      
         3D T1w FFE (coronal reformat)
- 
      
         Axial SWIp (Modulus)
- 
      
         Axial SWIp (minIP)
- 
      
         Axial SWIp (Phase)
- 
      
         Angio (Time-of-Flight)
                    
             
- 
      
         Perfusion (100 dynamics)
                    
             
- 
      
         Sagittal 3D T1w FFE (subtraction)
- 
      
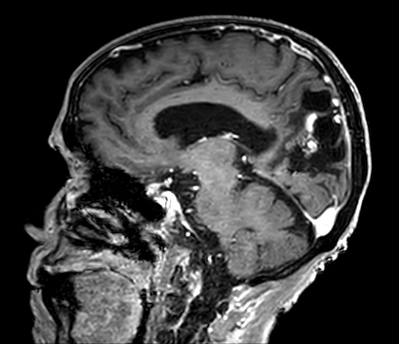
         Sagittal 3D T1w FFE +gado
- 
      
         3D T1w FFE (axial reformat) +gado
- 
      
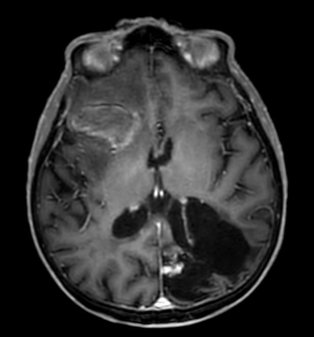
         3D T1w FFE (coronal reformat) +gado
Previous
    Next         
    
    Close
    
    
        
        Resolution
ScantimeObjective
    
     
             
    
        
            *Results from case studies are not predictive of results in other cases. Results in other cases may vary.