Go back
        Liver cyst
        
            Seirei Mikatahara General Hospital, Japan        
     
            
            
                
Patient information
                Patient with a Liver cyst. Compressed SENSE is used to shorten the total exam time.            
        
    
    
    
        Gallery
        
    
        - 
      
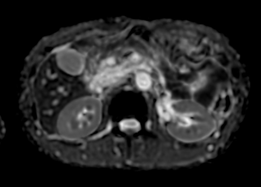
         T2w TSE SSh - Respiratory triggering
- 
      
         T2w TSE SSh - Respiratory triggering
- 
      
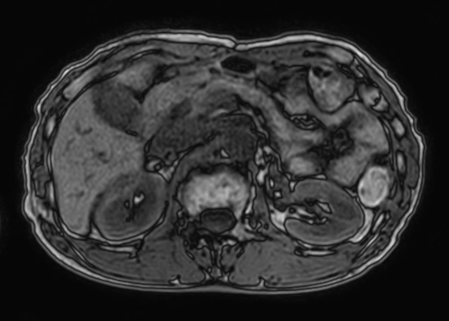
         T1w FFE mDIXON XD- Compressed SENSE
- 
      
         T1w FFE mDIXON XD- Compressed SENSE
- 
      
         T1w FFE mDIXON XD- Compressed SENSE
- 
      
         T1w FFE mDIXON XD- Compressed SENSE
- 
      
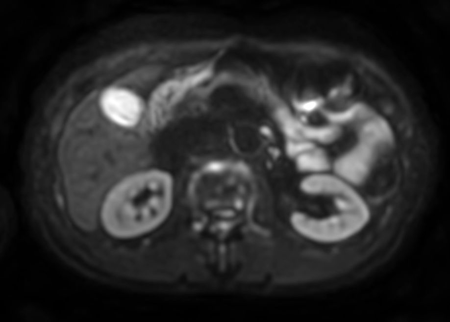
         Diffusion - b800
- 
      
         Diffusion - b800 (ADC)
- 
      
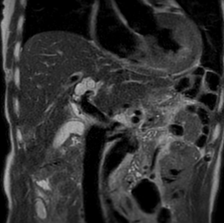
         3D MRCP
                    
             
- 
      
         3D MRCP - Compressed SENSE
                    
             
Previous
    Next         
    
    Close
    
    
        
        Resolution
ScantimeObjective
    
     
             
    
        
            *Results from case studies are not predictive of results in other cases. Results in other cases may vary.