Go back
        Prostate with the dS Torso coil at 3.0T
        
            Centre Hospitalier de Université, Lyon-Sud, France        
     
    
    
    
        Gallery
        
    
        - 
      
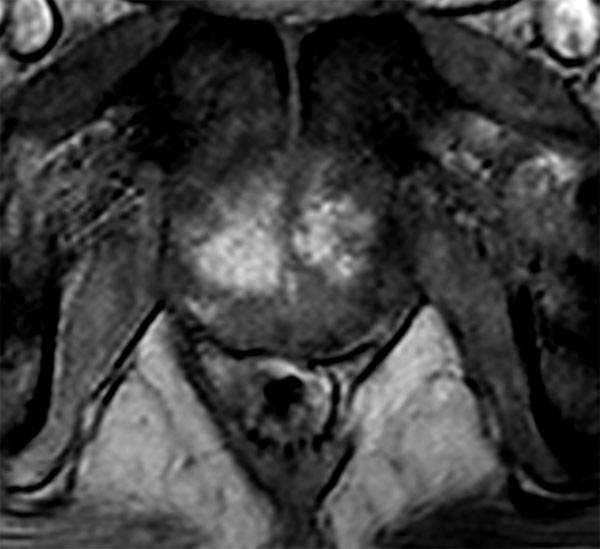
         Axial T2w TSE
- 
      
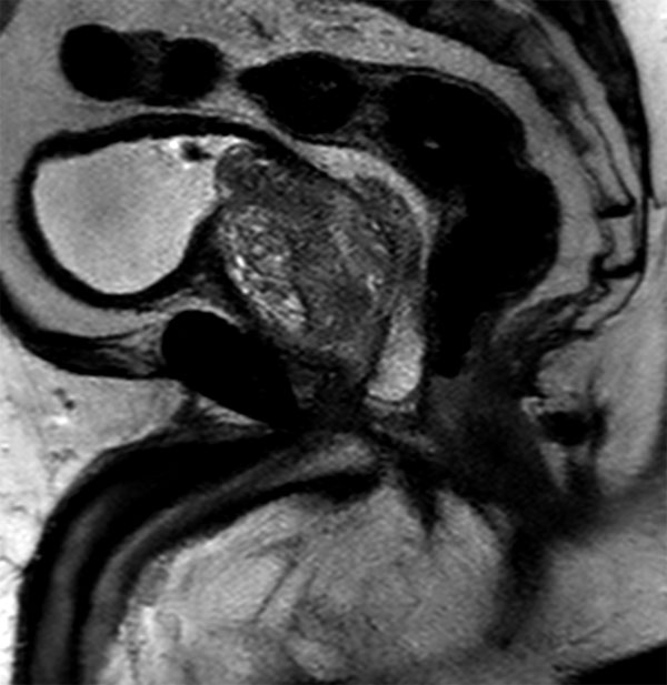
         Sagittal SSh T2w TSE
- 
      
         Axial Diffusion
- 
      
         Axial Diffusion
- 
      
         Axial dynamic T1w 3D TFE
Previous
    Next         
    
    Close
    
    
        
        Resolution
ScantimeObjective
    
     
             
    
        
            *Results from case studies are not predictive of results in other cases. Results in other cases may vary.