Go back
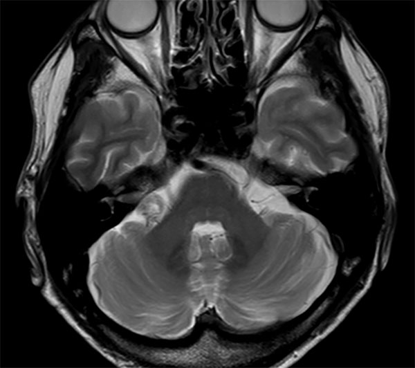
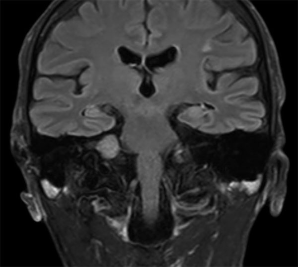
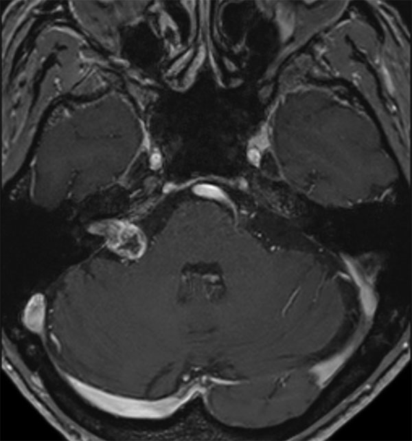
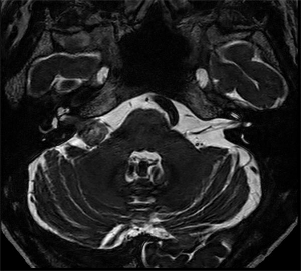
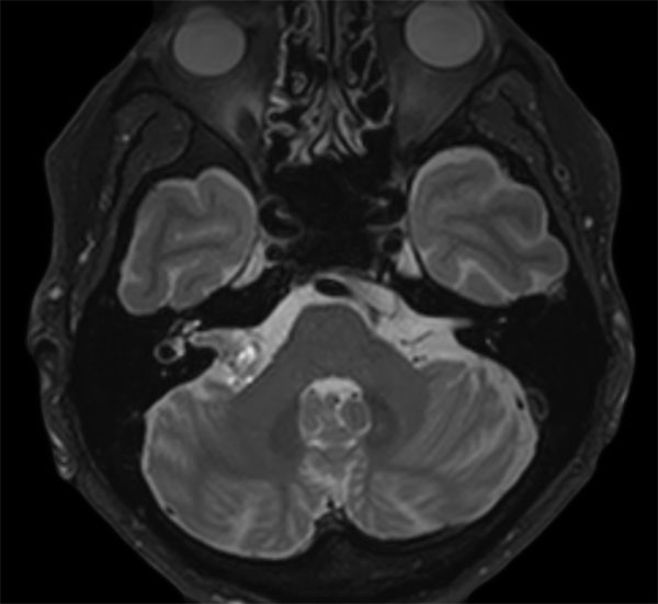
        IAC – Acoustic Neuroma
        
            Krankenhaus der Barmherzigen Brüder, Trier, Germany        
     
            
            
                
Patient information
                Decreasing hearing of the right side. Buzzing and beating sensation in the right ear. Sometimes pain. Request for MRI of the inner ear without and with contrast agent.            
        
    
    
    
        Gallery
                
    
    Close
    
    
        
        Resolution
ScantimeObjective
    
     
             
    
        
            *Results from case studies are not predictive of results in other cases. Results in other cases may vary.