Go back

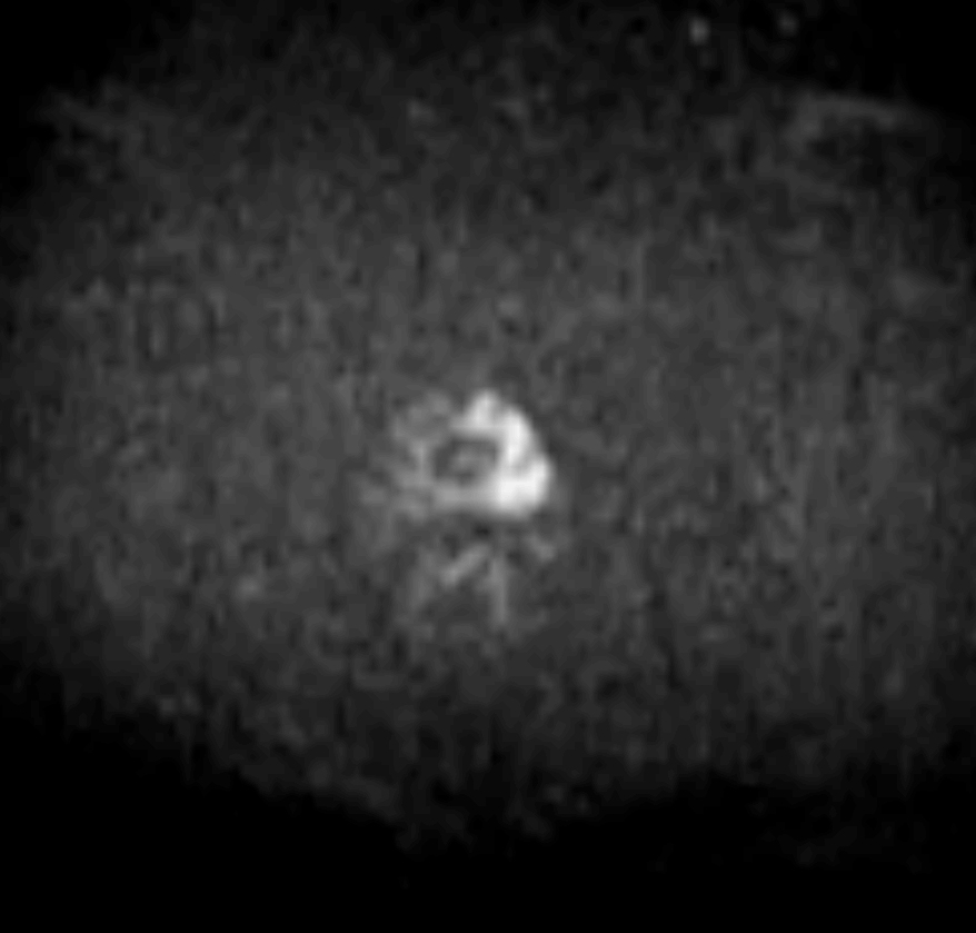
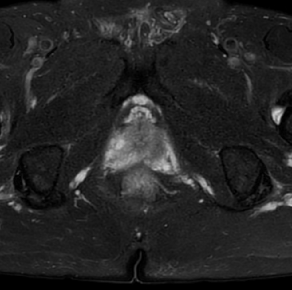
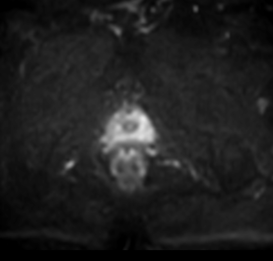
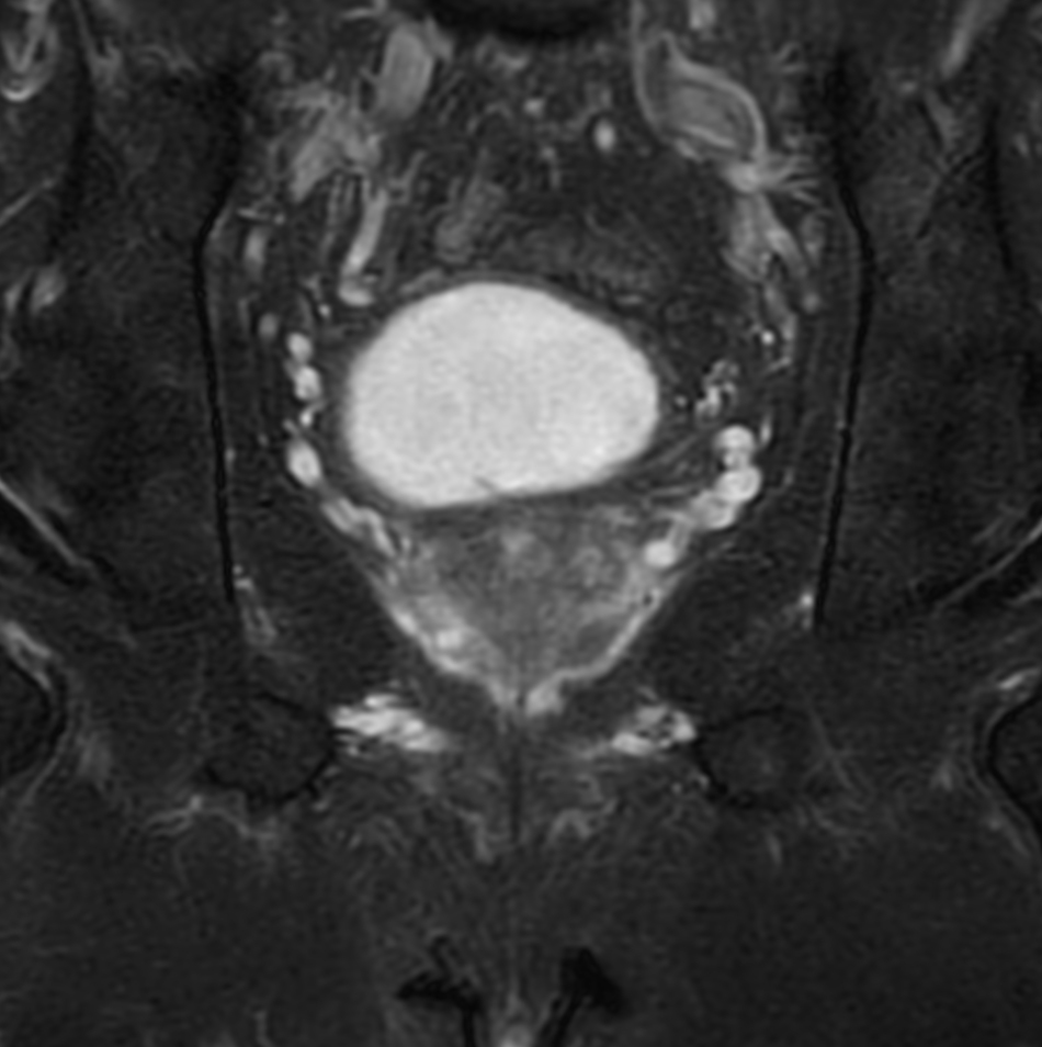
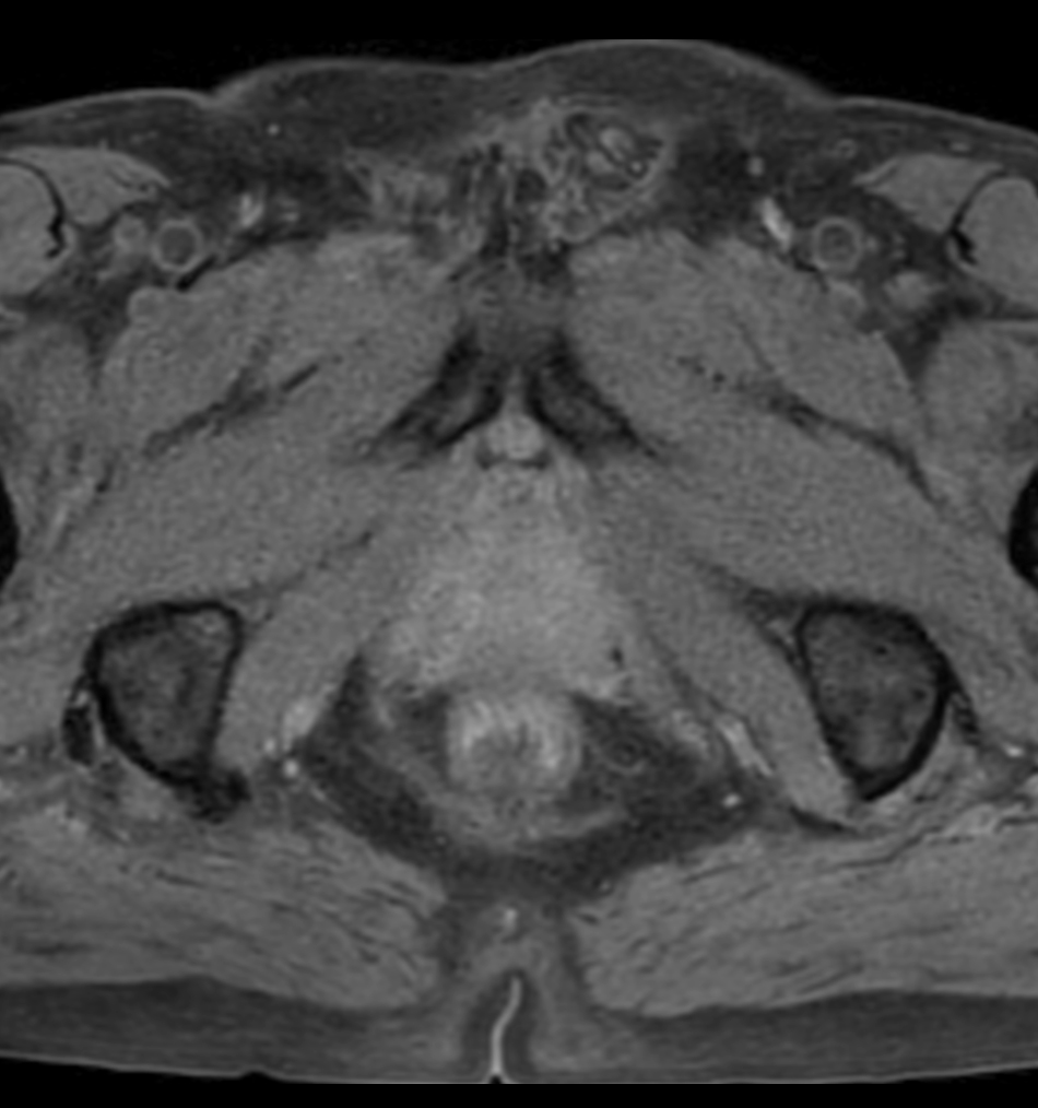
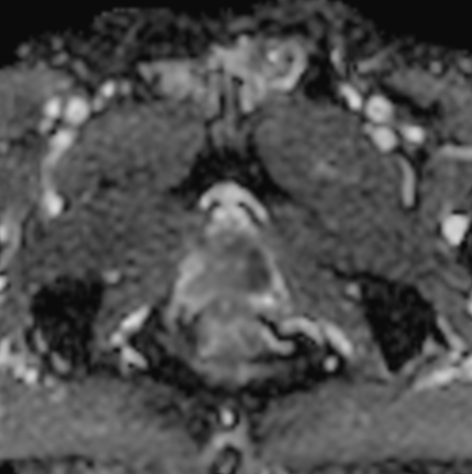
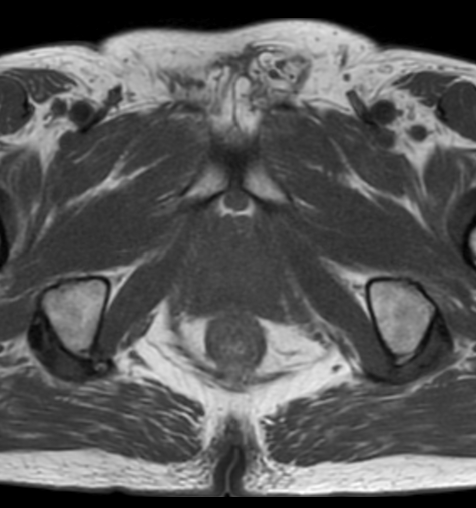
Prostate lesion with fat-free mDIXON XD imaging

Seirei Mikatahara General Hospital, Japan

Used Solution

  • System

  • Coil

  • Clinical Application

  • Clinical Application

More Information

*Results from case studies are not predictive of results in other cases. Results in other cases may vary.

Ingenia Prodiva is not available for sale in the USA.