Go back
        dS Head 32ch coil - amyloid angiopathy
        
            Q-Scan Radiology Clinics, Southport, Australia        
     
            
            
                
Patient information
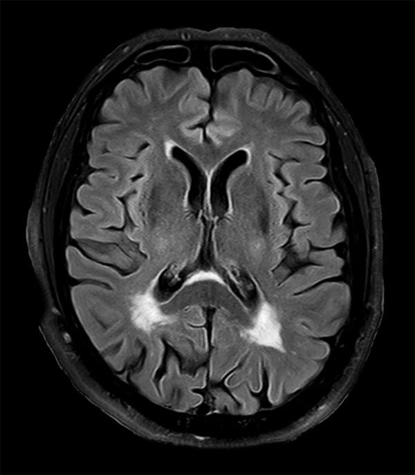
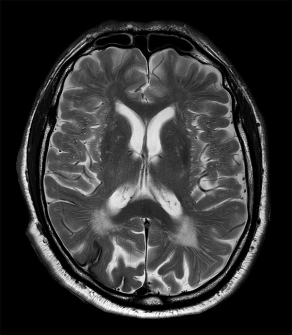
                76-year-old male with history of amyloid angiopathy. Sagittal T1-weighted images shows chronic deep white matter ischemic changes. Axial T2-weighted and FLAIR demonstrate chronic ischemic changes and old hemorrhage / hemosiderin staining. Axial Venous BOLD (Susceptibility Weighted Imaging) image show chronic ischemic changes and old hemorrhage / hemosiderin staining. Imaging appears consistent with amyloid angiopathy, no other intracranial lesions are found.            
        
    
    
    
        Gallery
        
    
        - 
      
         Sagittal T1w 3D TFE
                    
             
- 
      
         Axial T2w TSE
- 
      
         Axial 3D FLAIR
- 
      
         Axial VenBOLD
                    
             
Previous
    Next         
    
    Close
    
    
        
        Resolution
ScantimeObjective
    
     
             
    
        
            *Results from case studies are not predictive of results in other cases. Results in other cases may vary.