Go back
        Whole Spine with scoliosis (2 stations)
        
                    
     
            
            
                
Patient information
                Deliver a comfortable patient experience with light Breeze coils and connectors.
Although the coils are more than 75% lighter than conventional Philips MR coils, they are rigid enough to hold their shape during patient breathing or movement.
Breeze coils make it possible to quickly connect and prepare patients for imaging, while delivering exceptional quality MR images and high patient satisfaction.
The MR 5300’s large 55cm field-of-view allows for extended anatomical coverage.
And premium signal-to-noise ratio with dStream provides outstanding image resolution.
Powered with SmartSelect technology, the Breeze coils allow automatic detection of the right coil combinations and select the right coil elements to provide highest SNR for the region of interest.
Can be used alone or in combination bringing extraordinary versatility to creating quality MR images.            
        
    
    
    
        Gallery
        
    
        - 
      
         Sagittal T1w TSE (2 stations)Compressed SENSE
- 
      
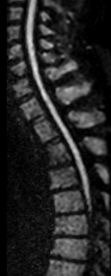
         Sagittal T2w TSE (2 stations)Compressed SENSE
- 
      
         Sagittal STIR TSE (2 stations)Compressed SENSE
- 
      
         Sagittal Diffusion IRIS Zoom (b800)
- 
      
         Sagittal 3D T2w TSE (SpineVIEW)Compressed SENSE
- 
      
         3D T2w TSE (SpineVIEW) - Oblique reformatCompressed SENSE
- 
      
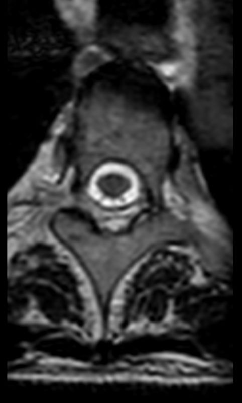
         3D T2w TSE (SpineVIEW) - Axial reformatCompressed SENSE
- 
      
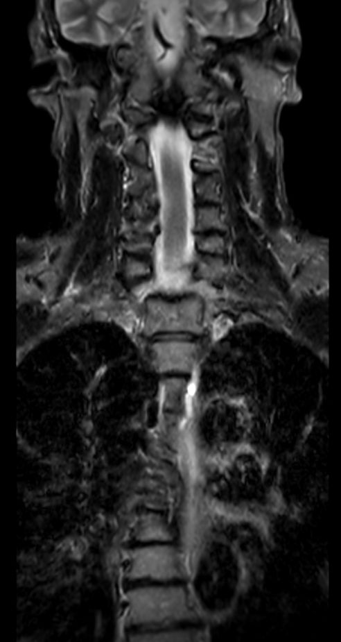
         3D T2w TSE (SpineVIEW) - Coronal reformatCompressed SENSE
- 
      
         Coronal STIR TSECompressed SENSE
Previous
    Next         
    
    Close
    
    
        
        Resolution
ScantimeObjective
    
     
             
    
        
            *Results from case studies are not predictive of results in other cases. Results in other cases may vary.