Go back
        Thorax soft tissue lesion – Free breathing
        
            Kantonsspital Winterthur, Switzerland        
     
            
            
                
Patient information
                Patient with a thorax soft tissue lesion. ExamCard includes Compressed SENSE to shorten the scan time, MultiVane XD to acquire motion-free diagnostic images, 3D VANE XD helping to reduce motion artifacts during free breathing and 4D FreeBreathing to perform multi-phase contrast-enhanced MRI studies.            
        
    
    
    
        Gallery
        
    
        - 
      
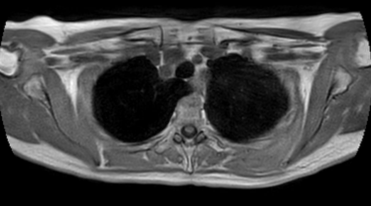
         T2w TSE MultiVane XD - Free Breathing
- 
      
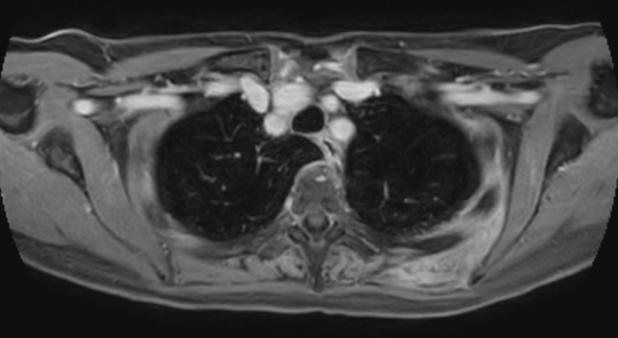
         T2w SPIR MultiVane XD - Free Breathing
- 
      
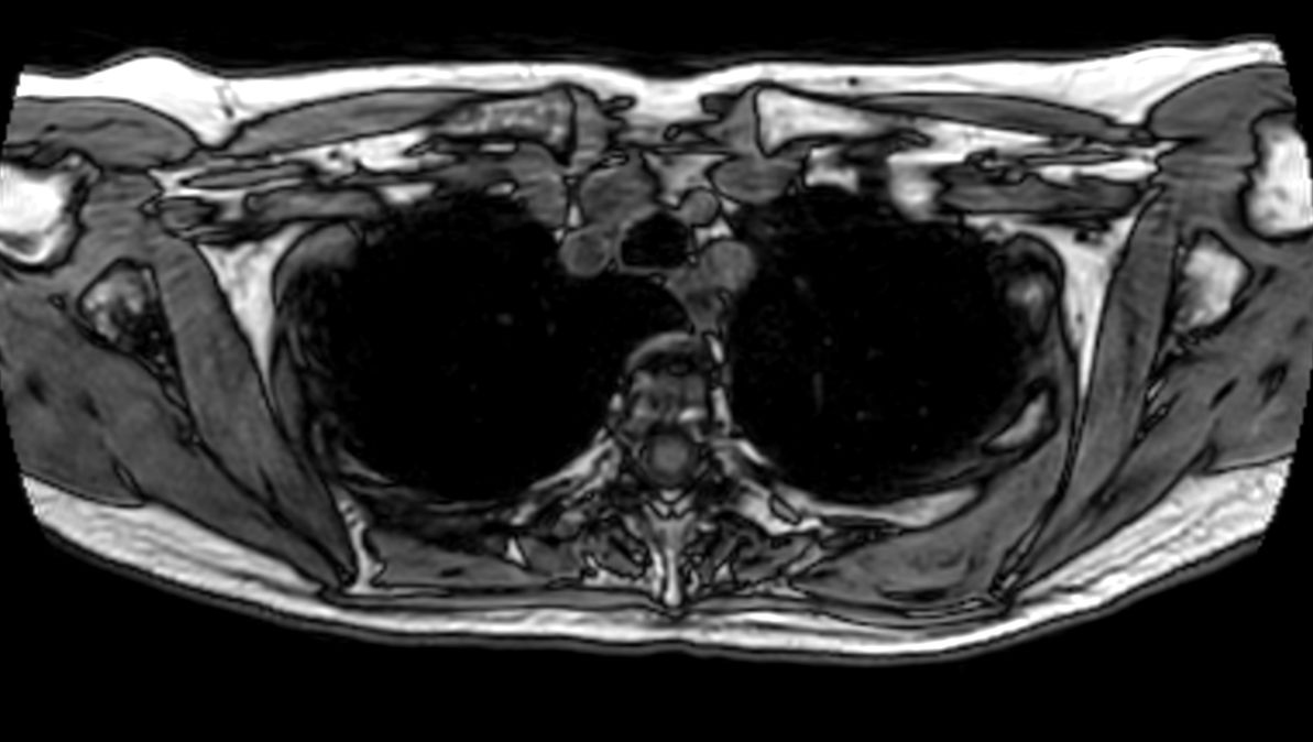
         T2w TSE - Free Breathing Compressed SENSE
- 
      
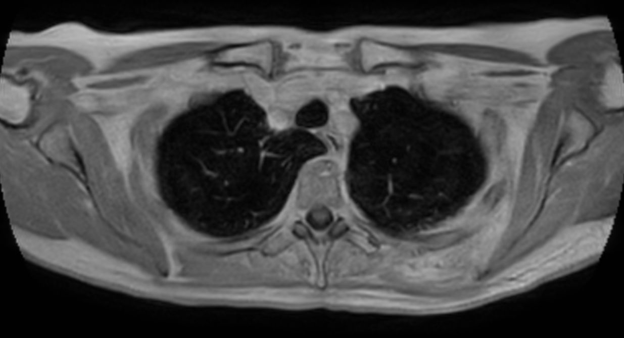
         T1w FFE 3D VANE XD (In Phase) - Free Breathing
- 
      
         T1w FFE 3D VANE XD (Out Phase) - Free Breathing
- 
      
         4D Free Breathing
                    
             
- 
      
         T1w FFE 3D VANE XD (In Phase) - Free Breathing (post-gado)
- 
      
         T1w FFE 3D VANE XD (Water only) - Free Breathing (post-gado)
Previous
    Next         
    
    Close
    
    
        
        Resolution
ScantimeObjective
    
     
             
    
        
            *Results from case studies are not predictive of results in other cases. Results in other cases may vary.