Go back
        Brain small infarction
        
            Kumamoto Chuo Hospital, Japan        
     
            
            
                
Patient information
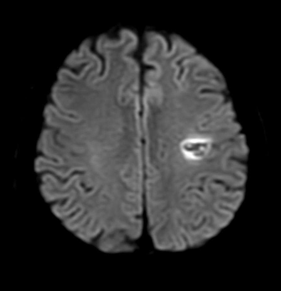
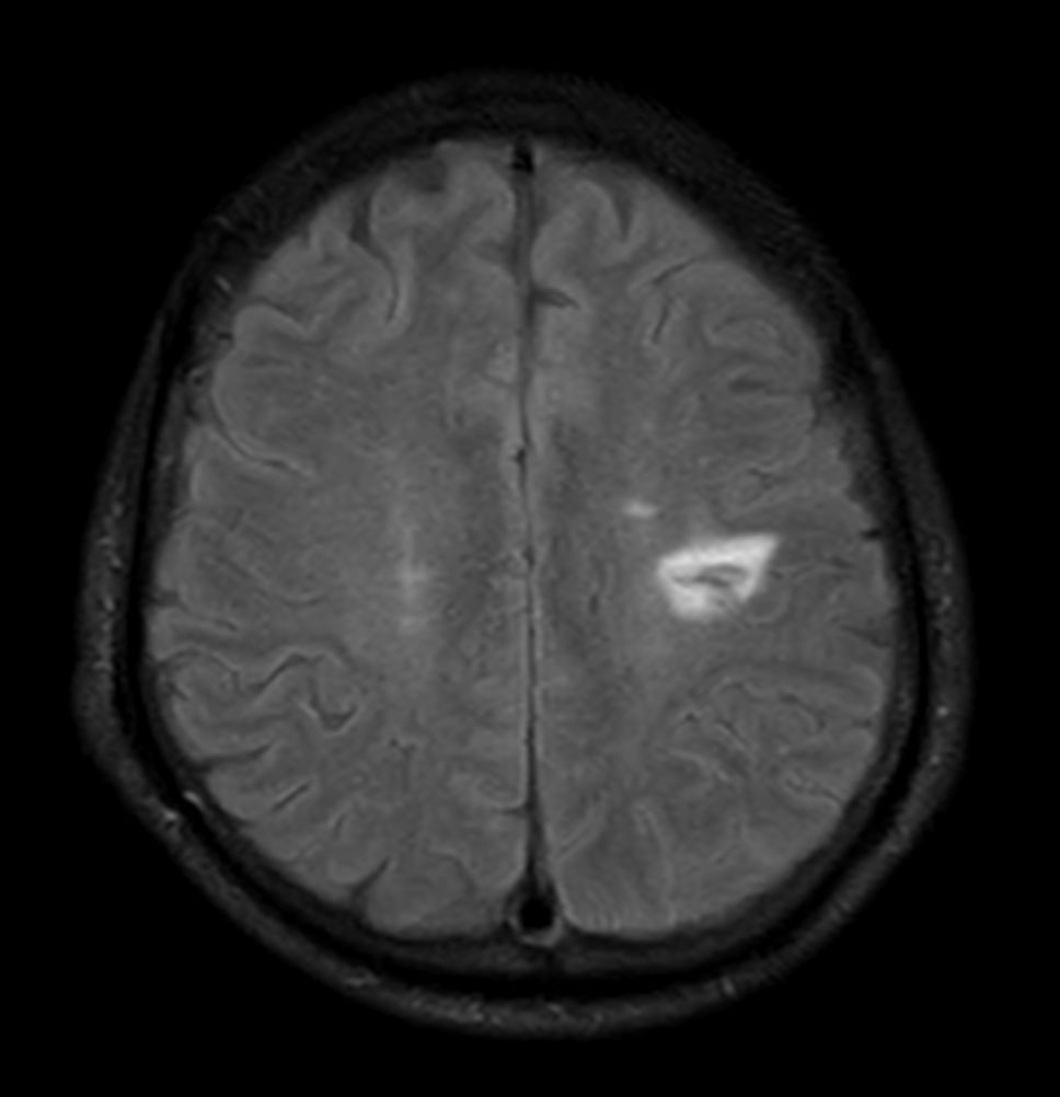
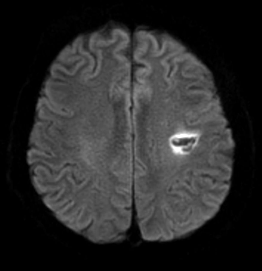
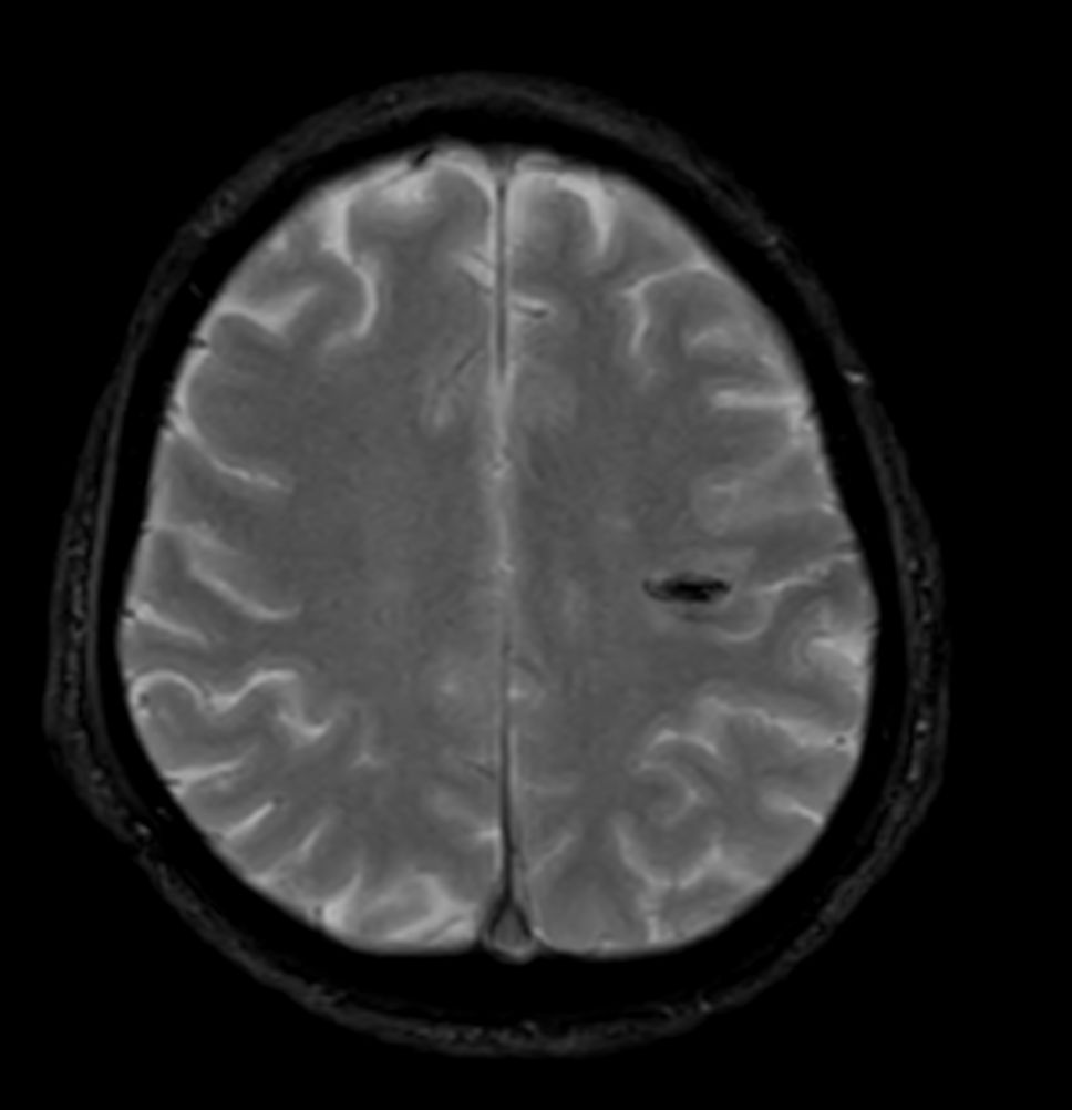
                Patient with a small brain infarction. Compressed SENSE acceleration is used to speed up sequences while maintaining equal image quality. Three different diffusion methods are included; A fast 52 secs DWI EPI sequence, a high resolution DWI EPI sequence and a TSE based DWI sequence. A SWIp sequence is included offering high resolution 3D susceptibility weighted imaging to enhance contrast for deoxygenated (venous) blood or calcium deposits. 3D APT sequence is included providing contrast-free brain imaging, addressing the need for more confident diagnosis in brain neuro oncology by using the presence of endogenous cellular proteins to produce an MR signal. And a large FOV TOF MR Angiography sequence is included to check on brain vascular anatomy.            
        
    
    
    
        Gallery
        
    
        - 
      
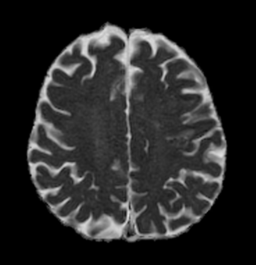
         Axial T2w TSE - Compressed SENSE
- 
      
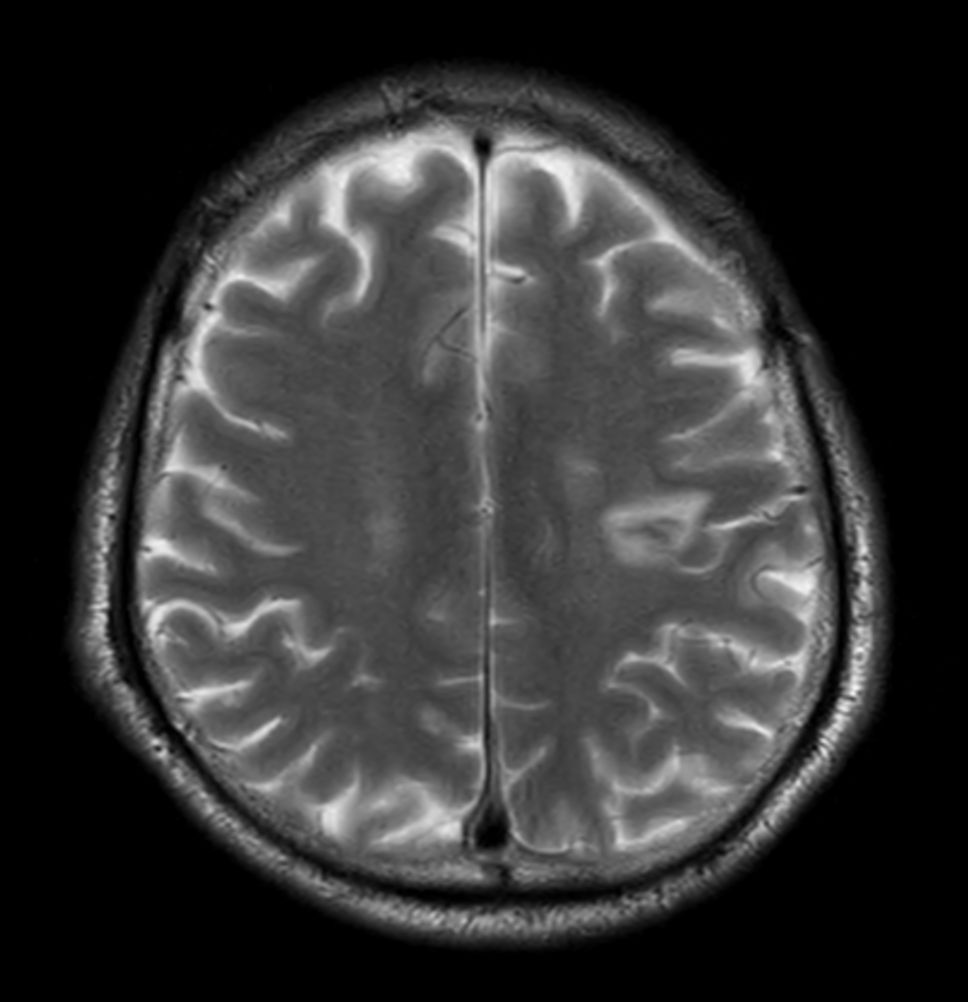
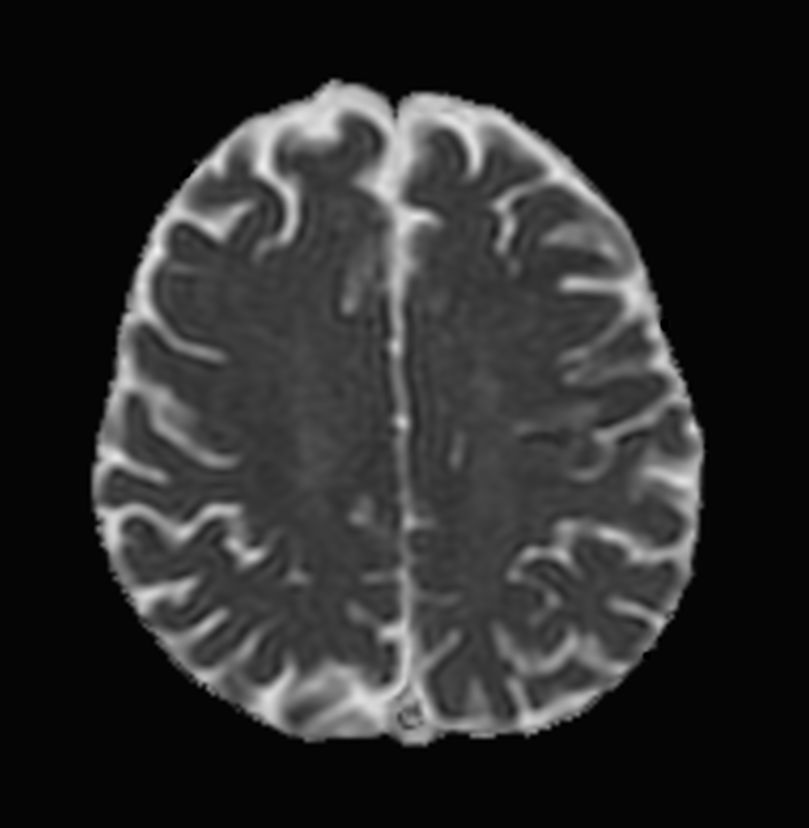
         Axial T2w FLAIR - Compressed SENSE
- 
      
         Axial T2* FFE - Compressed SENSE
- 
      
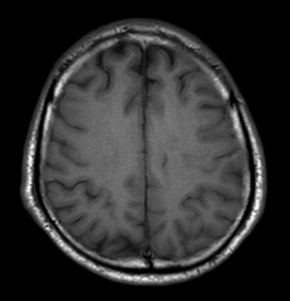
         Axial T1w SE
- 
      
         Axial SWIp
- 
      
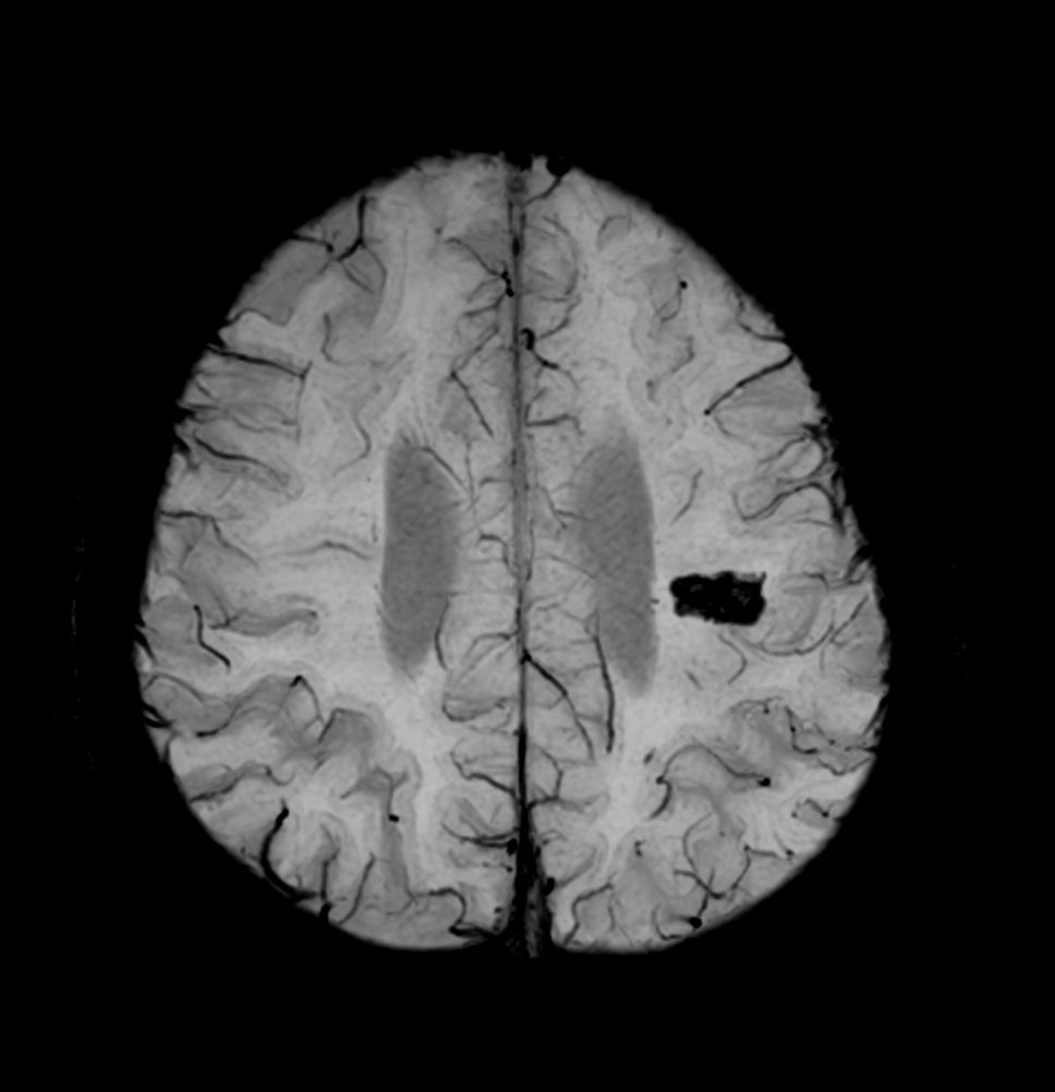
         Axial 3D APT
- 
      
         Axial DWI EPI (b1000)
- 
      
         Axial DWI EPI (b1000) - High resolution
- 
      
         Axial DWI TSE XD (b1000)
                    
             
- 
      
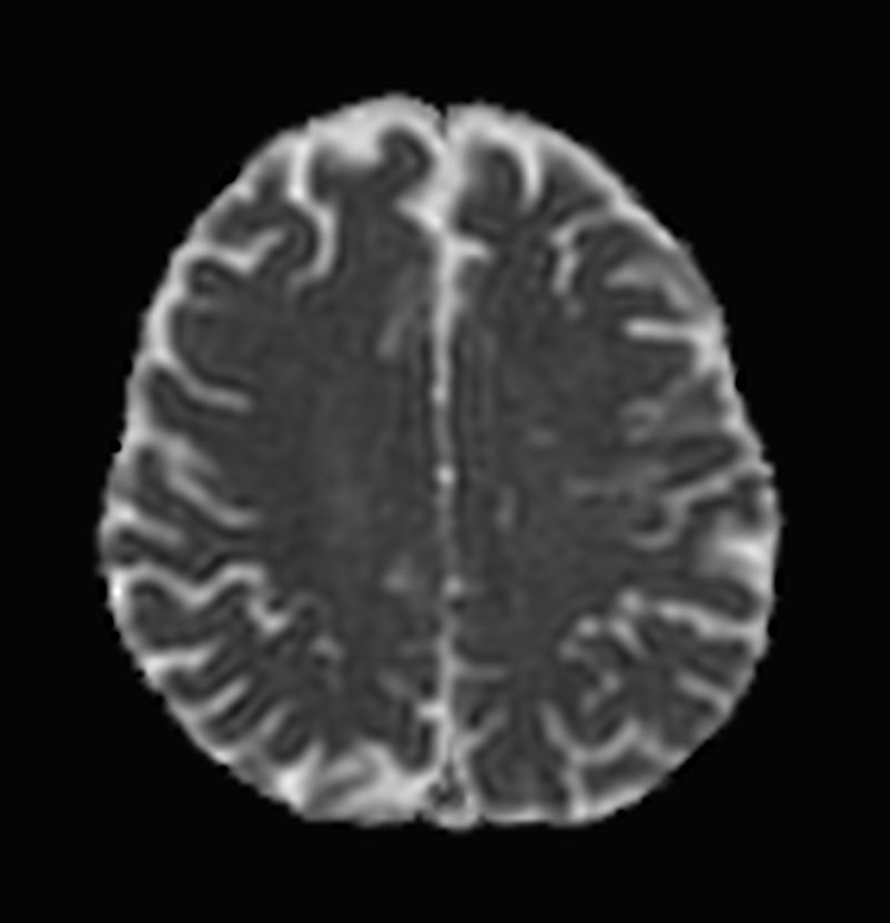
         Axial DWI EPI (ADC)
- 
      
         Axial DWI EPI (ADC) - High resolution
- 
      
         Axial DWI TSE XD (ADC)
- 
      
         Coronal TOF (MIP)
                    
             
Previous
    Next         
    
    Close
    
    
        
        Resolution
ScantimeObjective
    
     
             
    
        
            *Results from case studies are not predictive of results in other cases. Results in other cases may vary.
 1Compared to scans without Compressed SENSE
Results from case studies are not predictive of results in other cases. Results in other cases may vary.