Go back
        Total Spine metastasis
        
            Radiologie am St Josef Stift, Bremen, Germany        
     
            
            
                
Patient information
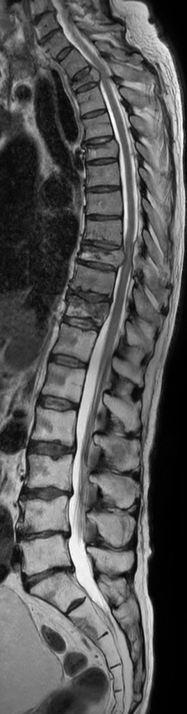
                Patient with metastasis. Compressed SENSE is used to shorten the time on the table for the patient. The total spine T2w mDIXON sequence covers both the thoracic and lumbar spine in only 5:20 minutes, providing different contrast (Water only + In Phase). Compressed SENSE is also integrated in all other sequences to reduce scan time without losing image quality.            
        
    
    
    
        Gallery
        
    
        - 
      
         Sagittal T2w mDIXON XD TSE (Water only)
- 
      
         Sagittal T2w mDIXON XD TSE (In Phase)
- 
      
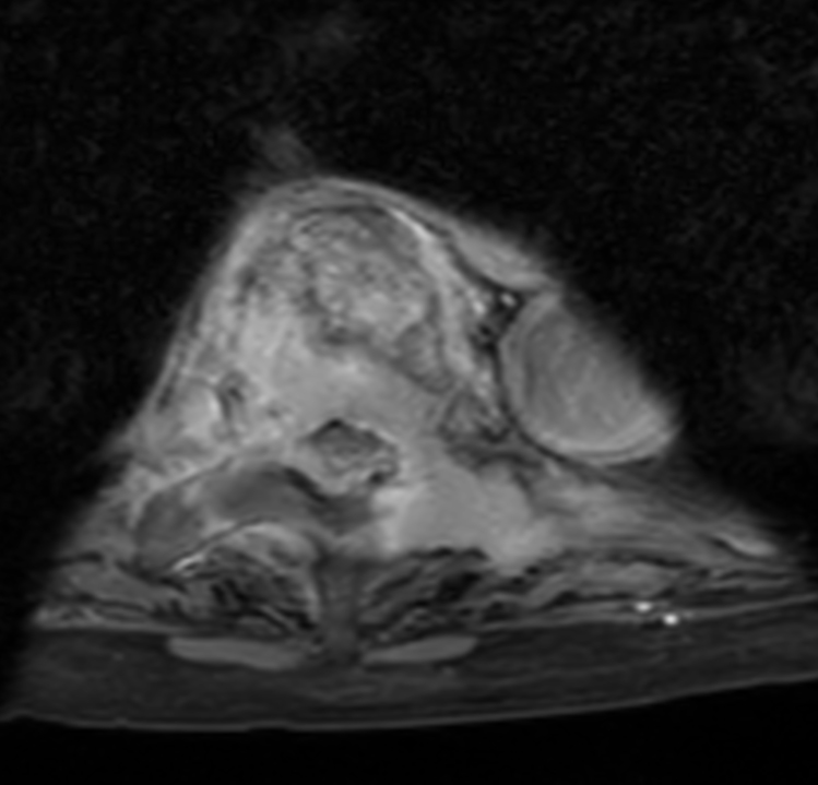
         Axial T2w TSE (T4)
- 
      
         Axial T2w TSE - High res (T4)
- 
      
         Sagittal T1w TSE
- 
      
         Sagittal T1w mDIXON XD TSE (Water only) +gado
                    
             
- 
      
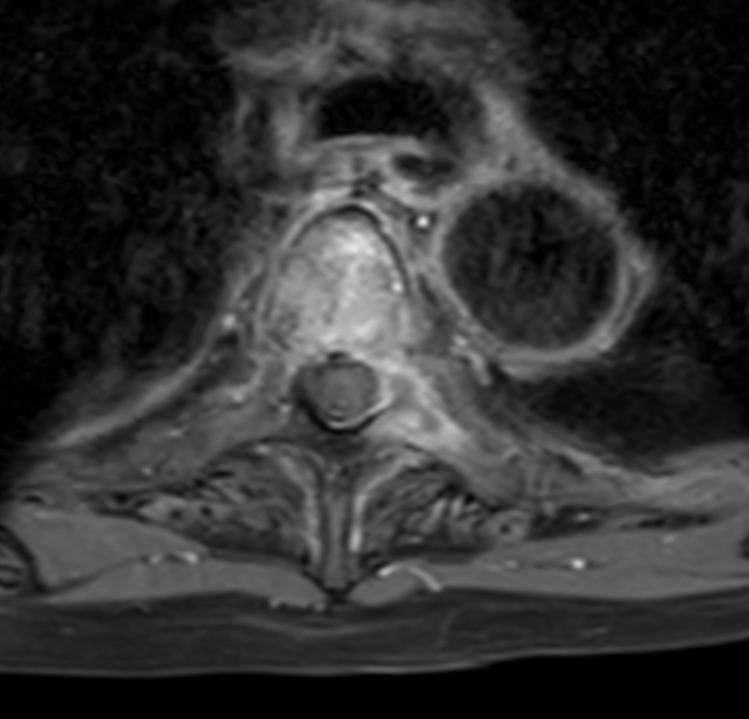
         Axial T1w mDIXON XD TSE (Water only) +gado (T4)
- 
      
         Axial T1w mDIXON XD TSE (In Phase) +gado (T4)
- 
      
         Axial T1w mDIXON XD TSE (Water only) +gado (T8)
- 
      
         Axial T1w mDIXON XD TSE (In Phase) +gado (T8)
Previous
    Next         
    
    Close
    
    
        
        Resolution
ScantimeObjective
    
     
             
    
        
            *Results from case studies are not predictive of results in other cases. Results in other cases may vary.
 1Compared to scans without Compressed SENSE
Results from case studies are not predictive of results in other cases. Results in other cases may vary.