Go back
MRI simulation for brain metastases treatment
Odense University Hospital, Odense, Denmark
Patient information
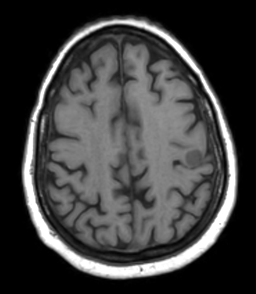
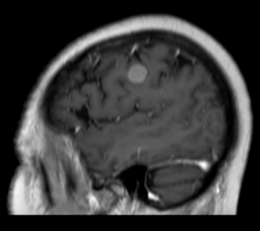
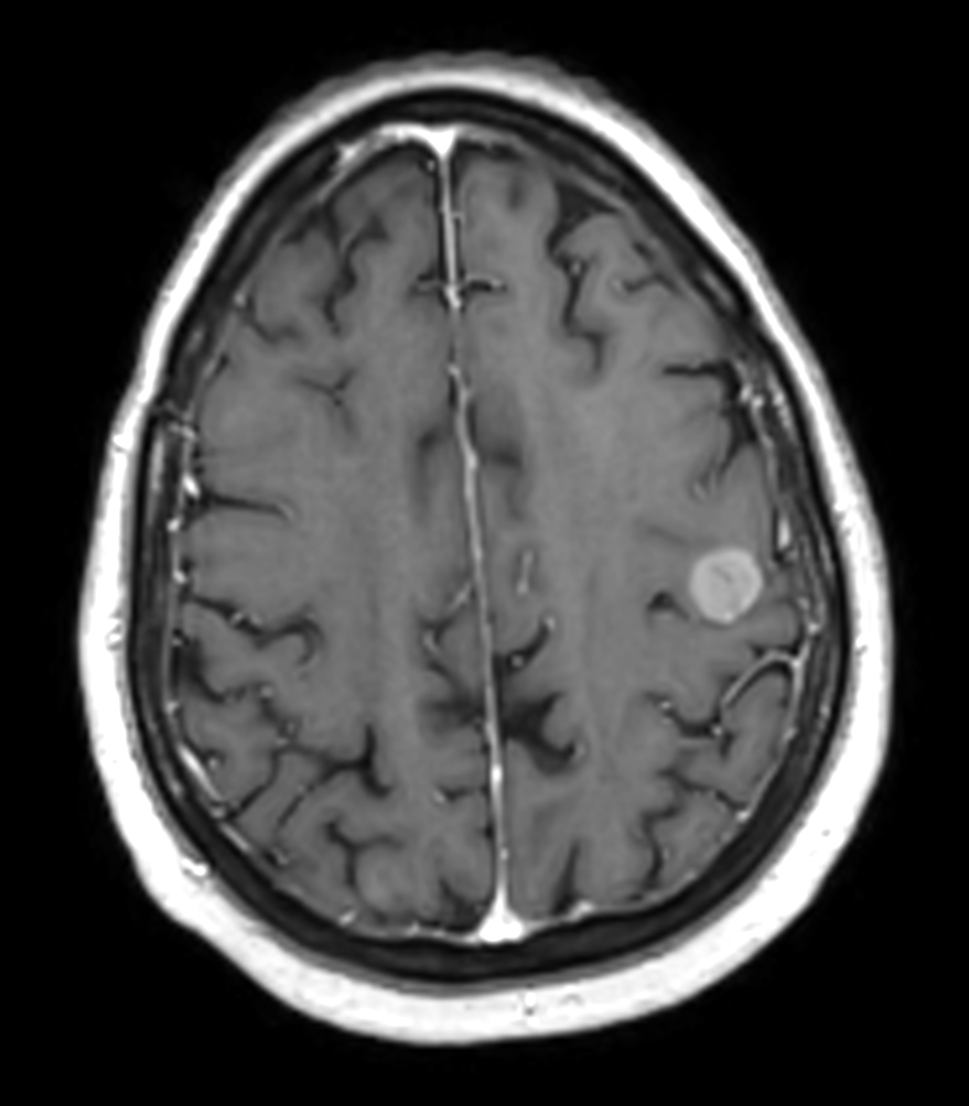
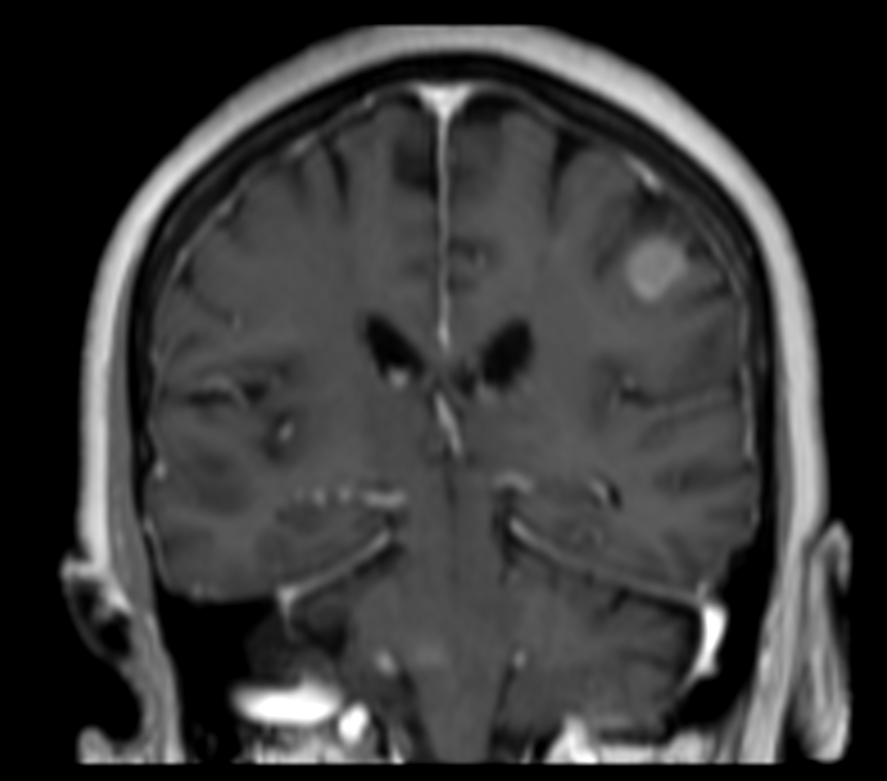
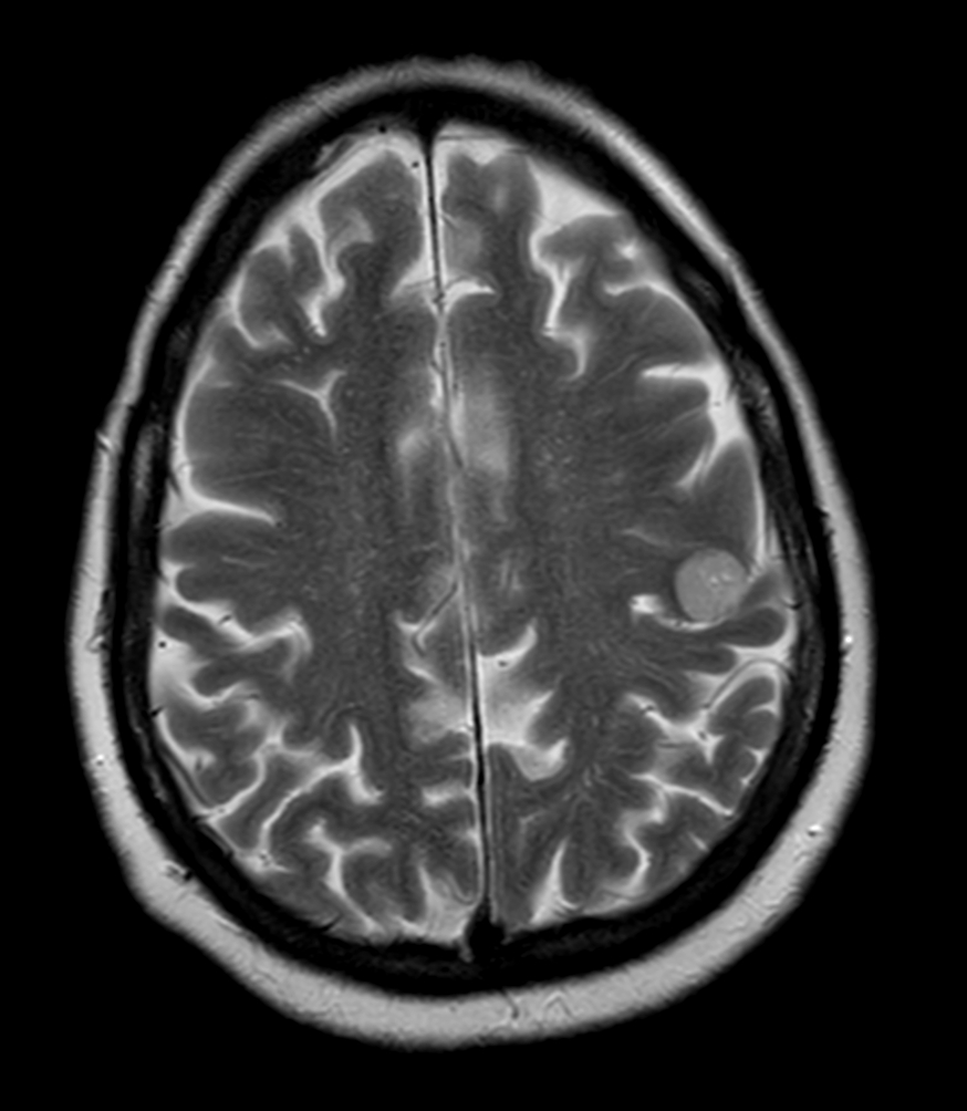
Female with one metastasis of pulmonary cancer underwent MRI simulation in the radiotherapy positioning mask on Ingenia MR-RT 1.5T before stereotactic radiation therapy with 25 Gy in 3 fractions.
Flex L Coils in combination with integrated FlexCoverage Posterior coil were used to image the patient in treatment position.
Gallery
-
Axial 3D T1w FFE pre contrast
-
3D T1w FFE (sagittal reformat) pre contrast
-
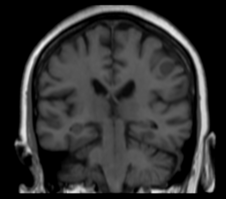
3D T1w FFE (coronal reformat) pre contrast
-
Axial 3D T1w FFE post contrast
-
3D T1w FFE (sagittal reformat) post contrast
-
3D T1w FFE (coronal reformat) post contrast
-
Axial T2w TSE
-
Axial DWI (b1000)
-
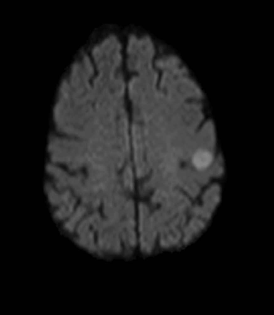
Axial DWI (ADC)
Previous
Next
Close
Resolution
ScantimeObjective
*Results from case studies are not predictive of results in other cases. Results in other cases may vary.