Go back
        Multiple Sclerosis versus TIA
        
            Hospital de Sant Pau, Barcelona, Spain        
     
            
            
                
Patient information
                Standardized Multiple Slerosis MRI protocols typically require long scan times. Addition of Compressed SENSE enables faster exams, without compromise in image quality1. SWIp sequence has a high sensitivity to enhance contrast for deoxygenated (venous) blood or calcium deposits. This may help, when used in combination with other clinical information, in the diagnosis of various neurological pathologies. 3D (BrainVIEW) lets you acquire high resolution data in multiple directions in one scan. Isotropic voxel size enables reformats in any plane without loss of resolution.            
        
    
    
    
        Gallery
        
    
        - 
      
         T2w TSE MultiVane XD
- 
      
         DWI b1000
- 
      
         DWI b1000 (ADC)
- 
      
         SWIp 4 echoes (Modulus)
- 
      
         SWIp 4 echoes (minIP)
- 
      
         SWIp 4 echoes (Phase)
- 
      
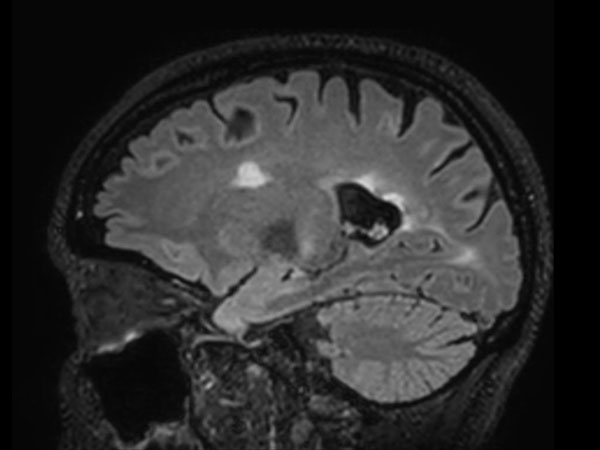
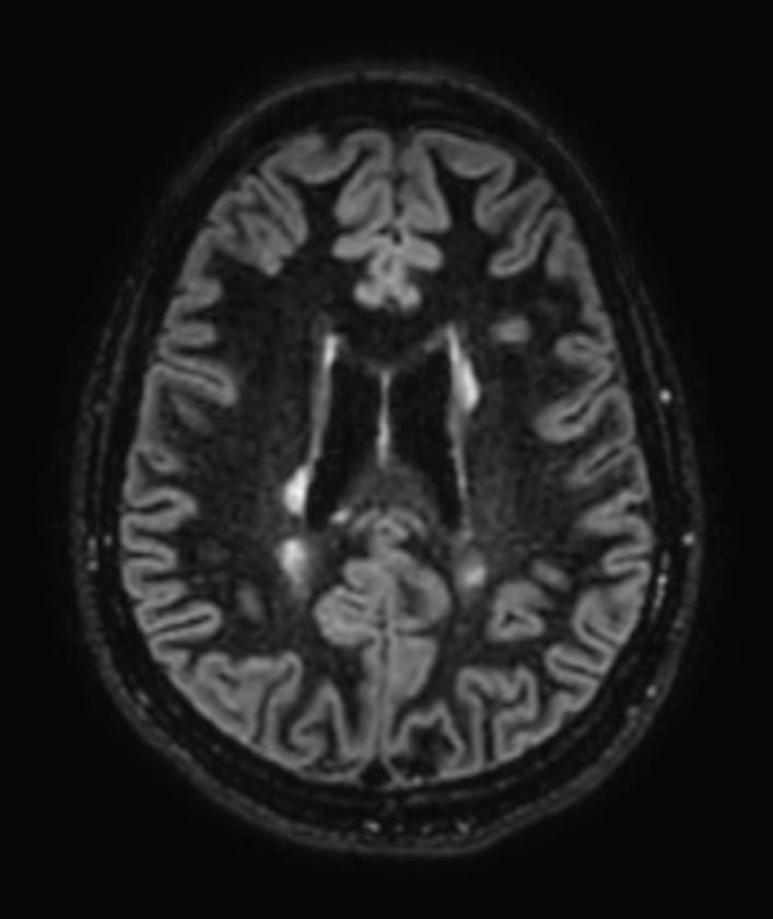
         3D T2w FLAIR BrainVIEW Compressed SENSE
- 
      
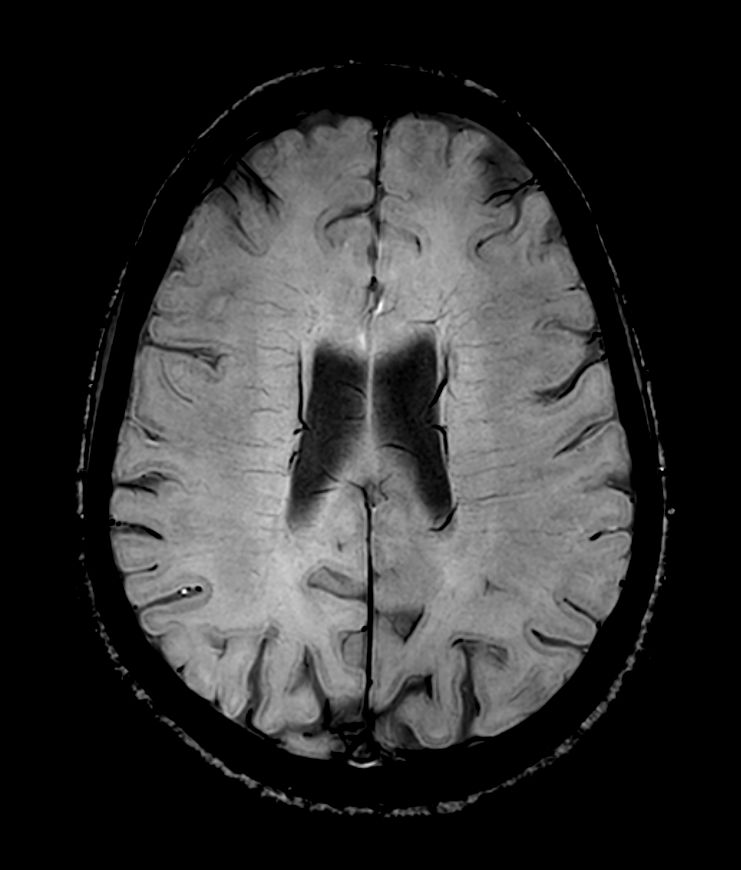
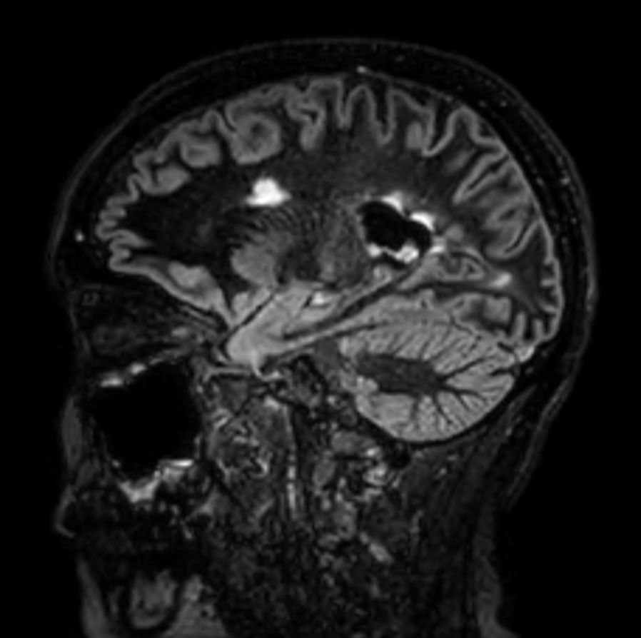
         3D T2w FLAIR BrainVIEW (reformat) Compressed SENSE
- 
      
         3D T2w FLAIR BrainVIEW (reformat) Compressed SENSE
- 
      
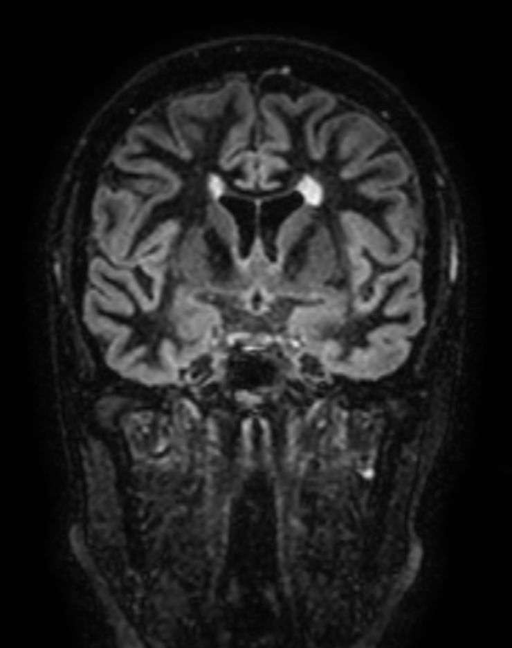
         3D Double IR BrainVIEW (reformat) Compressed SENSE
- 
      
         3D Double IR BrainVIEW (reformat) Compressed SENSE
- 
      
         3D Double IR BrainVIEW Compressed SENSE
- 
      
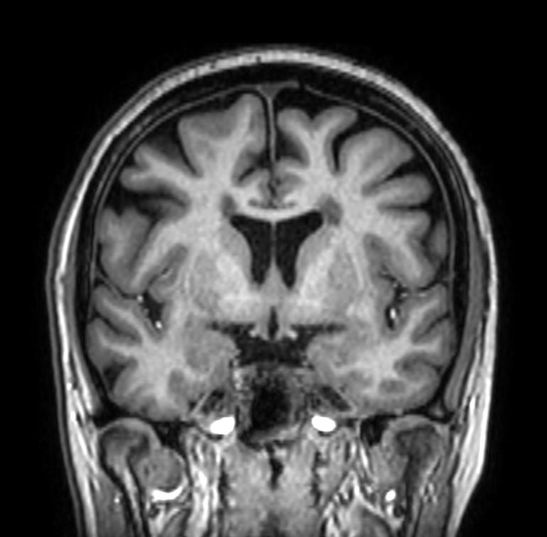
         3D T1w FFE Compressed SENSE
- 
      
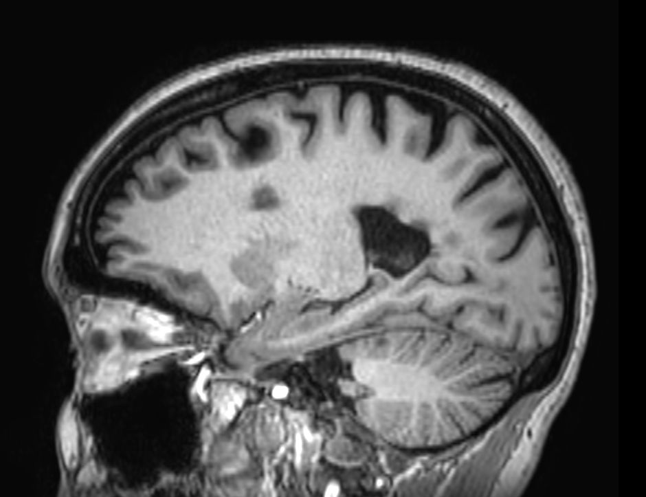
         3D T1w FFE (reformat) Compressed SENSE
- 
      
         3D T1w FFE (reformat) Compressed SENSE
- 
      
         3D T1w FFE +Gado Compressed SENSE
- 
      
         3D T1w FFE (reformat) +Gado Compressed SENSE
- 
      
         3D T1w FFE (reformat) +Gado Compressed SENSE
- 
      
         3D PCA Veno
                    
             
Previous
    Next         
    
    Close
    
    
        
        Resolution
ScantimeObjective
    
     
             
    
        
            *1 Compared to scans without Philips Compressed SENSE. Results from case studies are not predictive of results in other cases. Results in other cases may vary.