Go back
        Shorten exam time with Compressed SENSE in cervical spine
        
            Mahajan imaging, Gurgaon, India        
     
    
    
    
        Gallery
        
    
        - 
      
         Sagittal T2w TSE
- 
      
         Sagittal T2w TSE - Compressed SENSE
- 
      
         Sagittal T1w TSE - Compressed SENSE
- 
      
         Coronal STIR TSE
- 
      
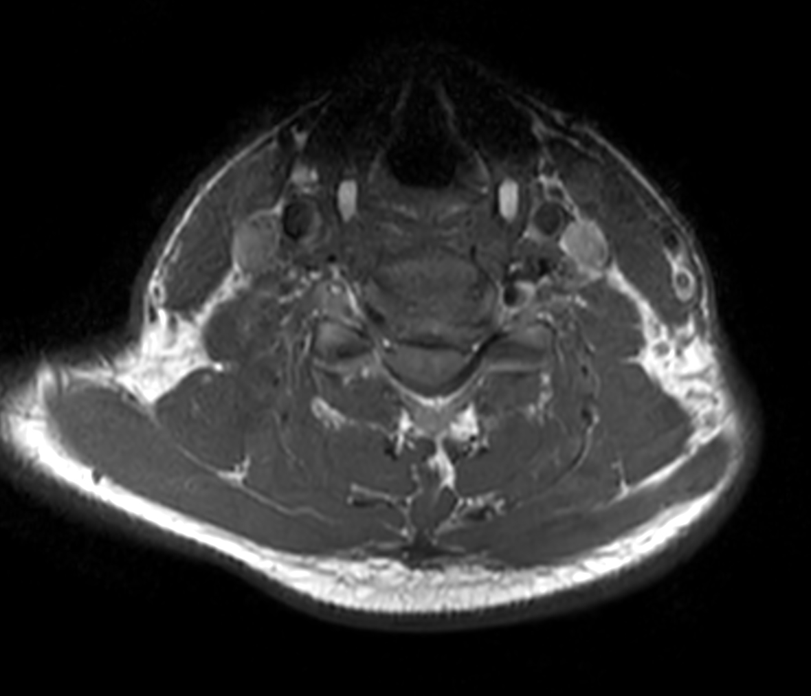
         Axial T2w TSE
- 
      
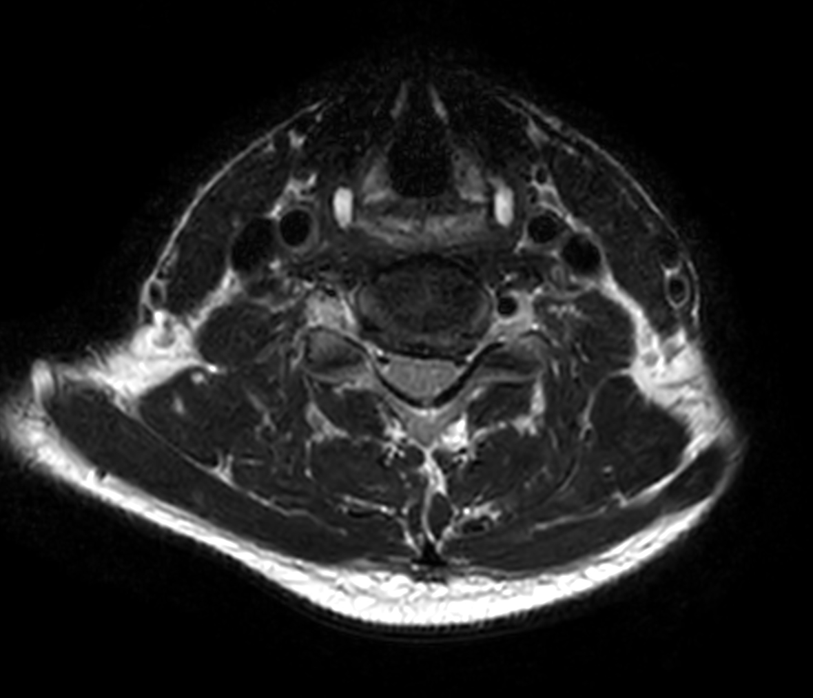
         Axial T2w TSE - Compressed SENSE
- 
      
         Axial T1w TSE
- 
      
         Axial T1w TSE - Compressed SENSE
Previous
    Next         
    
    Close
    
    
        
        Resolution
ScantimeObjective
    
     
             
    
        
            *Results from case studies are not predictive of results in other cases. Results in other cases may vary.
 1Compared to scans without Compressed SENSE
Results from case studies are not predictive of results in other cases. Results in other cases may vary.