Go back
        Total Spine on a 14 year old patient
        
            Monash Children’s Hospital, Clayton, Australia        
     
            
            
                
Patient information
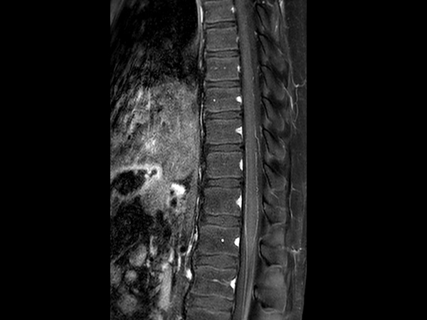
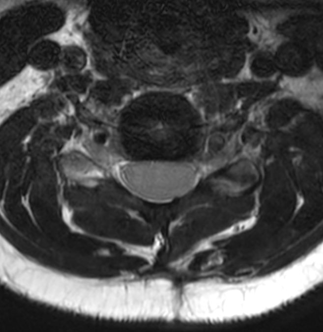
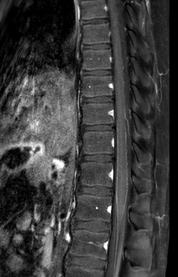
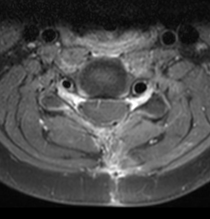
                Pediatric 14 year old patient with a lesion in the cervical spine            
        
    
    
    
        Gallery
        
    
        - 
      
         Sagittal T2w TSE (C-Spine)
- 
      
         Sagittal T2w TSE (T-Spine)
- 
      
         Sagittal T2w TSE (L-Spine)
- 
      
         Sagittal T1w TSE (C-Spine)
- 
      
         Sagittal T1w TSE (T-Spine)
- 
      
         Sagittal T1w TSE (L-Spine)
- 
      
         Sagittal T2w TSE (MobiView)
- 
      
         Sagittal T1w TSE (MobiView)
- 
      
         Axial 3D T2w TSE DRIVE
- 
      
         Sagittal STIR TSE
- 
      
         Sagittal Zoom DWI (b1000)
- 
      
         Sagittal Zoom DWI (ADC)
- 
      
         Sagittal T1w TSE SPIR (with gado)
- 
      
         Sagittal T1w TSE mDIXON XD (Water only) (with gado)
- 
      
         Sagittal T1w TSE mDIXON XD (In Phase) (with gado)
- 
      
         Axial T1w TSE SPIR (with gado)
- 
      
         Sagittal T1w TSE mDIXON XD (Water only) (with gado)
- 
      
         Sagittal T1w TSE mDIXON XD (In Phase) (with gado)
Previous
    Next         
    
    Close
    
    
        
        Resolution
ScantimeObjective
    
     
             
    
        
            *Results from case studies are not predictive of results in other cases. Results in other cases may vary.