Go back
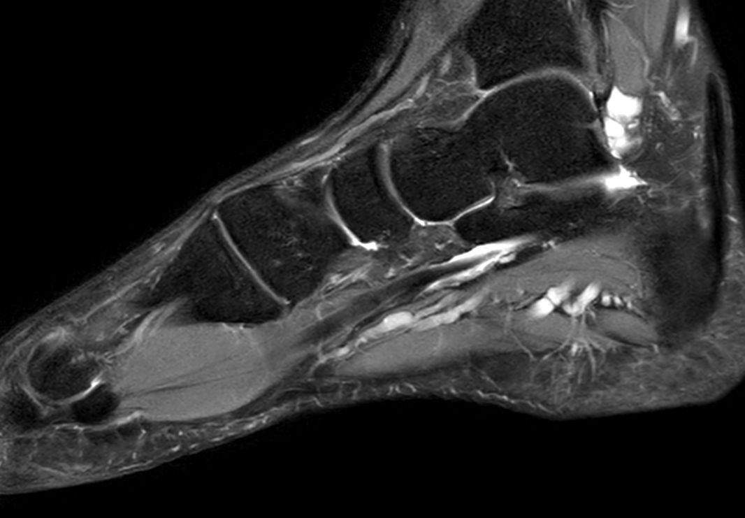
        Foot with plantar fascitis
        
            Aleris Hamlet, Aarhus, Denmark        
     
            
            
                
Patient information
                Deliver a comfortable patient experience with light Breeze coils and connectors.
Breeze coils make it possible to quickly connect and prepare patients for imaging, while delivering exceptional quality MR images and high patient satisfaction.
Can be used alone or in combination bringing extraordinary versatility to creating quality MR images.
Premium signal-to-noise ratio is achieved via dStream, providing outstanding image resolution.
Powered with SmartSelect technology, allowing automatic detection of the right coil combinations and selecting the right coil elements to provide highest SNR for the region of interest.
SmartWorkflow with Breeze coils for MSK applications is powered by the dS MSK 16 1.5T coil solution, supporting feet first exams for Foot/Ankle studies, enhancing patient comfort.
Because the dS MSK 16 1.5T solution is composed of two distinct, flexible parts, it offers freedom in three dimensions to position the coil elements over the anatomy being imaged, supporting optimal image quality.            
        
    
    
    
        Gallery
        
    
        - 
      
         Coronal PDw TSE mDIXON XDCompressed SENSE
- 
      
         Coronal T2w TSECompressed SENSE
- 
      
         Sagittal PDw TSE mDIXON XDCompressed SENSE
Previous
    Next         
    
    Close
    
    
        
        Resolution
ScantimeObjective
    
     
             
    
        
            *Results from case studies are not predictive of results in other cases. Results in other cases may vary.