Go back
        Neonatal Brain
        
            University Hospital Cologne, Germany        
     
    
    
    
        Gallery
        
    
        - 
      
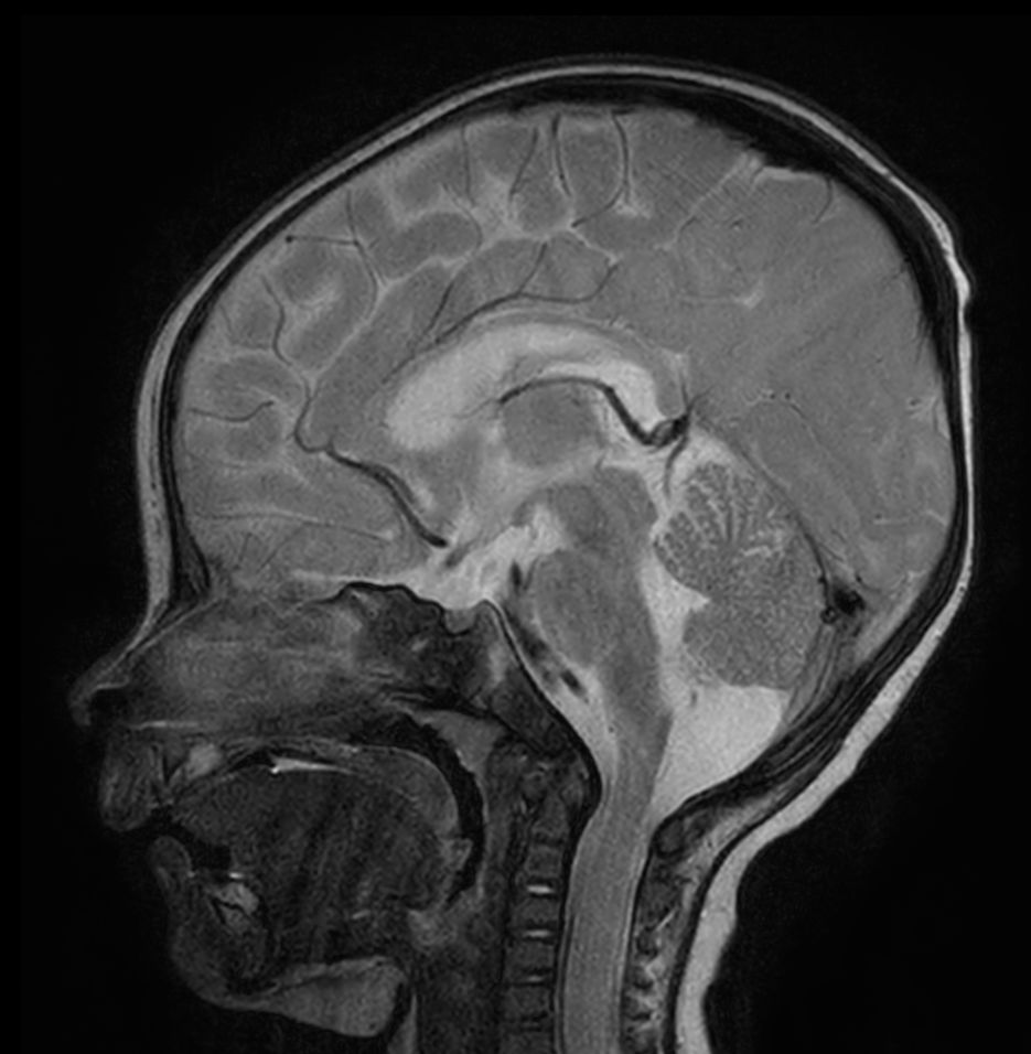
         Sagittal T2w TSE with ComforTone
- 
      
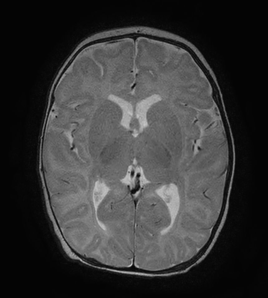
         Axial T2w TSE with ComforTone
- 
      
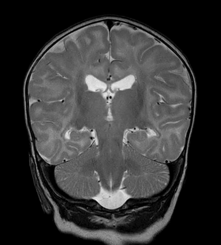
         Coronal T2w TSE with ComforTone
- 
      
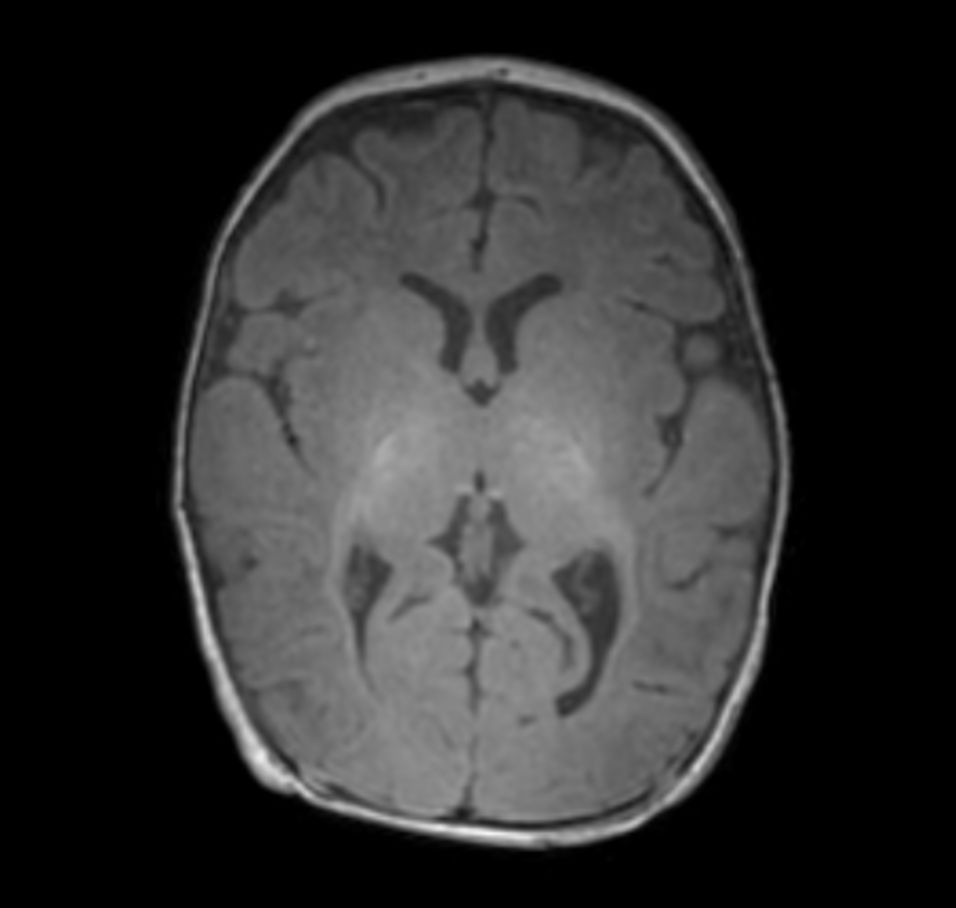
         Axial T2w FLAIR with ComforTone
- 
      
         Axial SWIp
- 
      
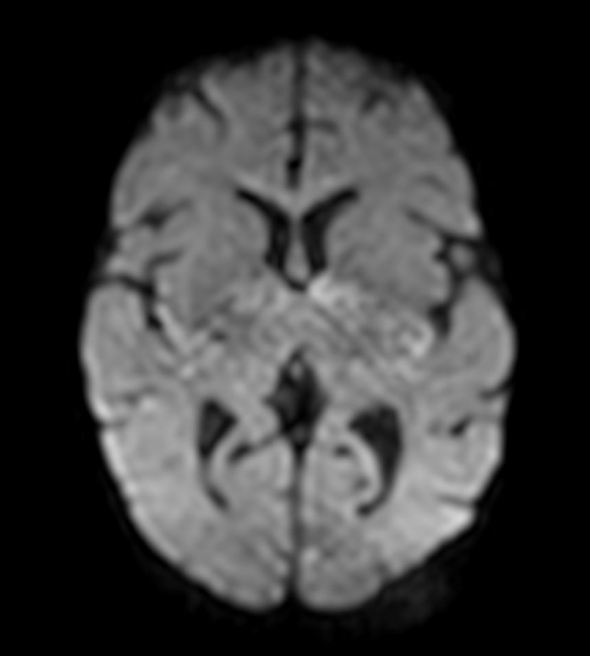
         Axial DWI (b1000) with ComforTone
- 
      
         Sagittal 3D TOF (MIP)
- 
      
         Axial 3D TOF (MIP)
- 
      
         Coronal 3D TOF (MIP)
- 
      
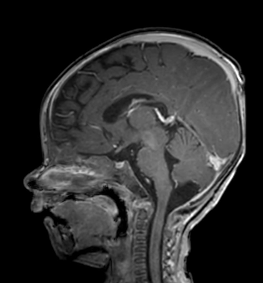
         Sagittal 3D T1w TFE with ComforTone
- 
      
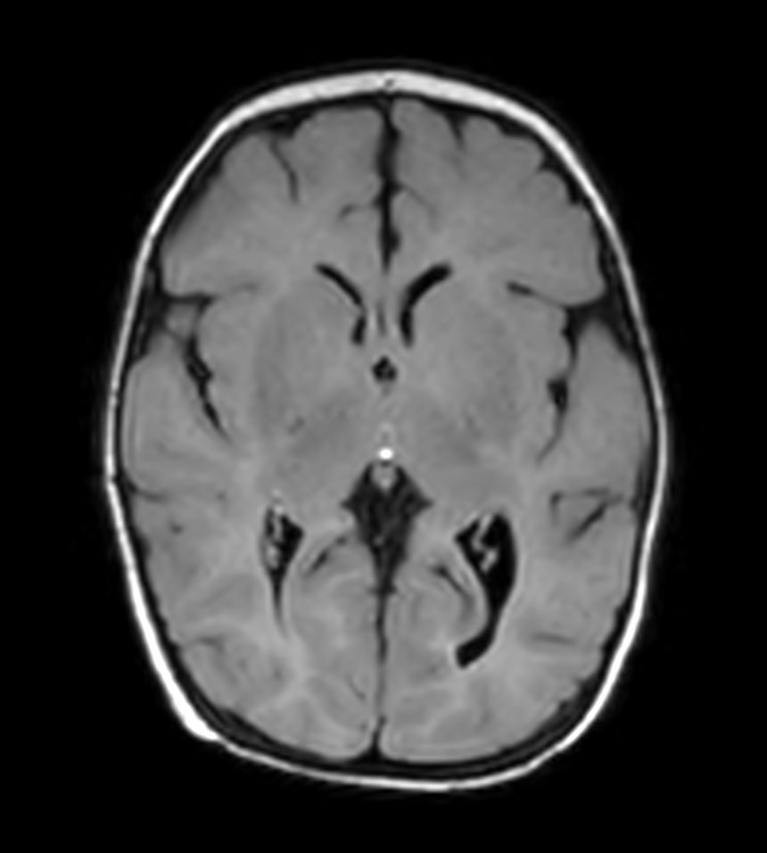
         3D T1w TFE with ComforTone -  Axial reformat
- 
      
         Axial T1w FFE
- 
      
         Axial T2w FFE with ComforTone
- 
      
         Coronal T1w IR TSE with ComforTone
- 
      
         Dynamic contrast-enhanced 4D TRAK XD
                    
             
- 
      
         Sagittal 3D T1w TFE with ComforTone (post-gado)
- 
      
         3D T1w TFE with ComforTone - Axial reformat (post-gado)
- 
      
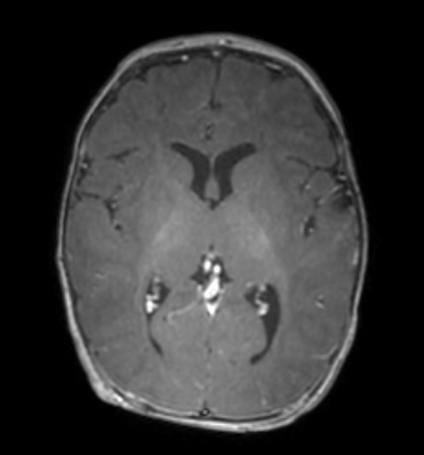
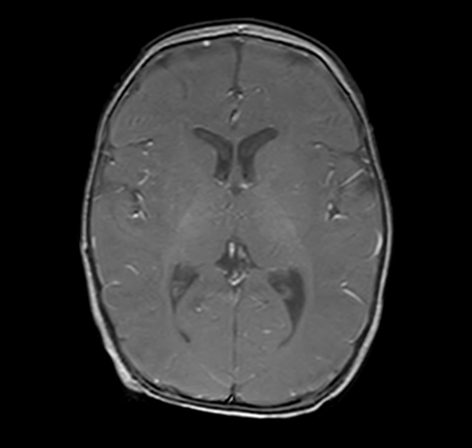
         Axial T1w FFE (post-gado)
- 
      
         Sagittal 3D T1w TFE SPIR (post-gado)
                    
             
- 
      
         3D T1w TFE SPIR - Axial reformat (post-gado)
                    
             
- 
      
         3D T1w TFE SPIR - Coronal reformat (post-gado)
                    
             
Previous
    Next         
    
    Close
    
    
        
        Resolution
ScantimeObjective
    
     
             
    
        
            *Results from case studies are not predictive of results in other cases. Results in other cases may vary.