Go back
        Shorter brain exam time due to 2D and 3D Compressed SENSE imaging
        
            Krankenhaus der Barmherzigen Brüder, Trier, Germany        
     
    
    
    
        Gallery
        
    
        - 
      
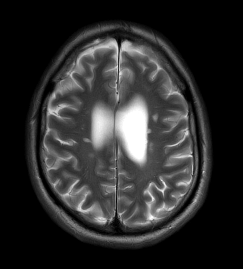
         Axial T2w TSE MultiVane XD
- 
      
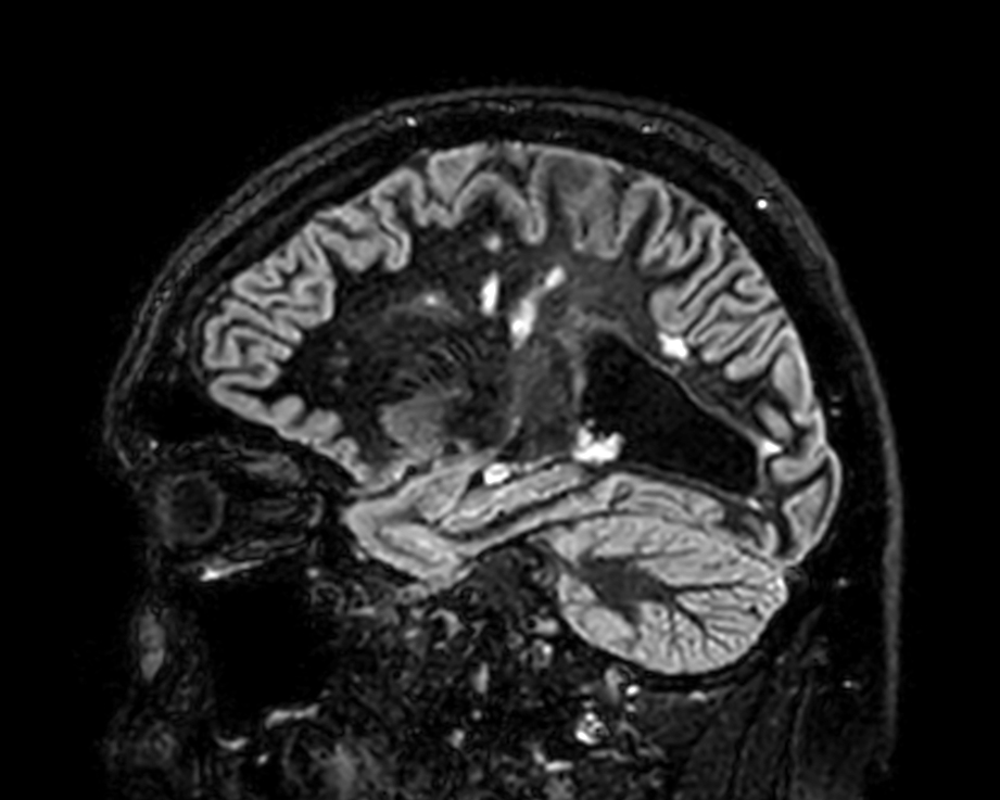
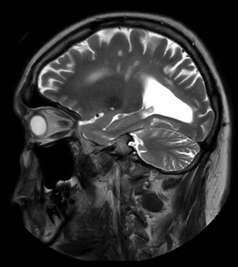
         Sagittal T2w TSE MultiVane XD
- 
      
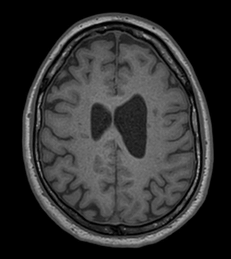
         Axial 3D T1w TFECompressed SENSE
- 
      
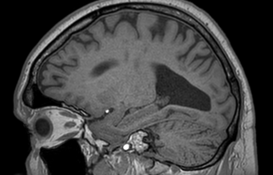
         3D T1w TFE - Sagittal reformatCompressed SENSE
- 
      
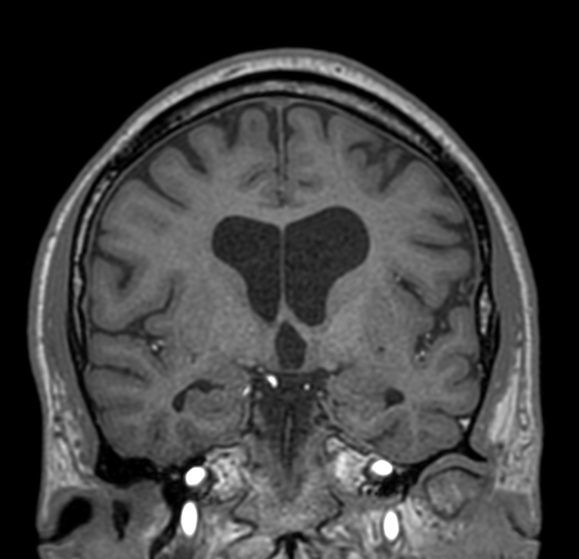
         3D T1w TFE - Coronal reformatCompressed SENSE
- 
      
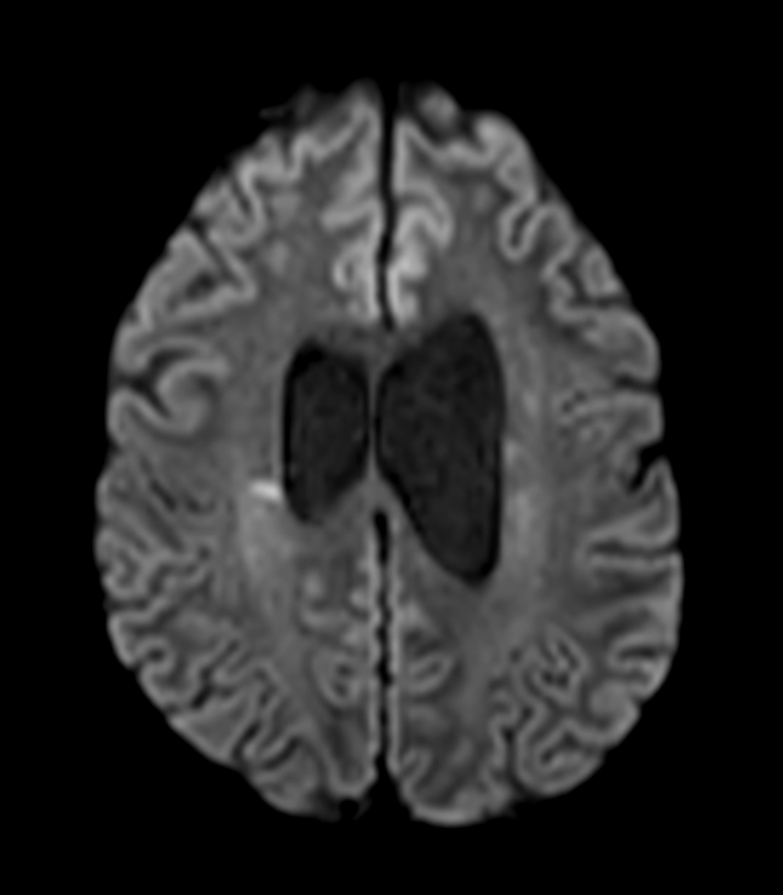
         Axial DWI b1000
- 
      
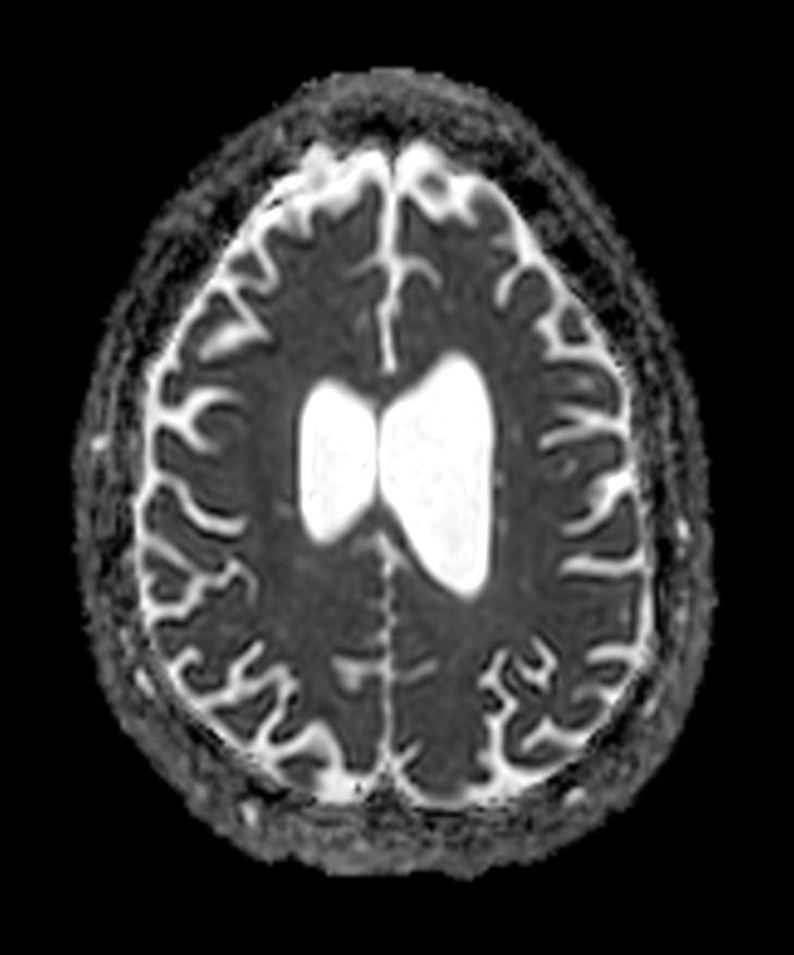
         Axial DWI b1000 (ADC)
- 
      
         Axial DWI b1000 (eADC)
- 
      
         Sagittal 3D BrainVIEW Double IR
- 
      
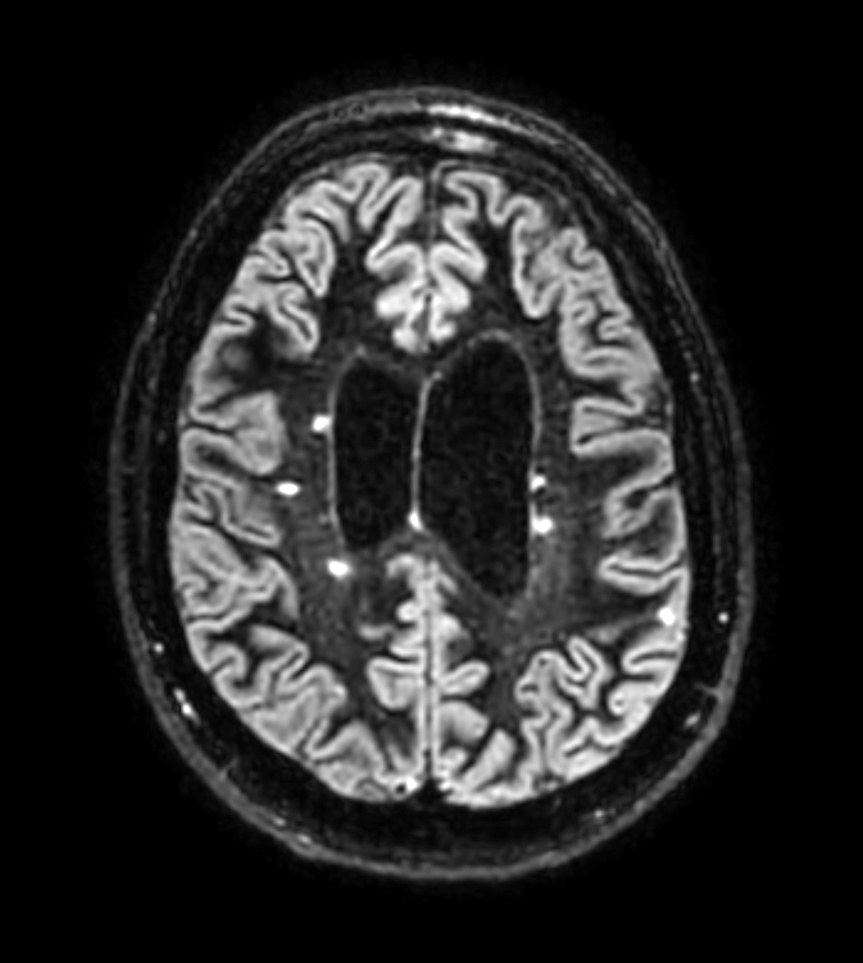
         3D BrainVIEW Double IR - Axial reformat
- 
      
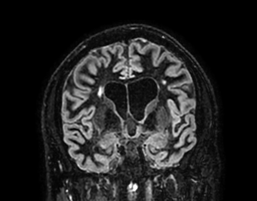
         3D BrainVIEW Double IR - Coronal reformat
- 
      
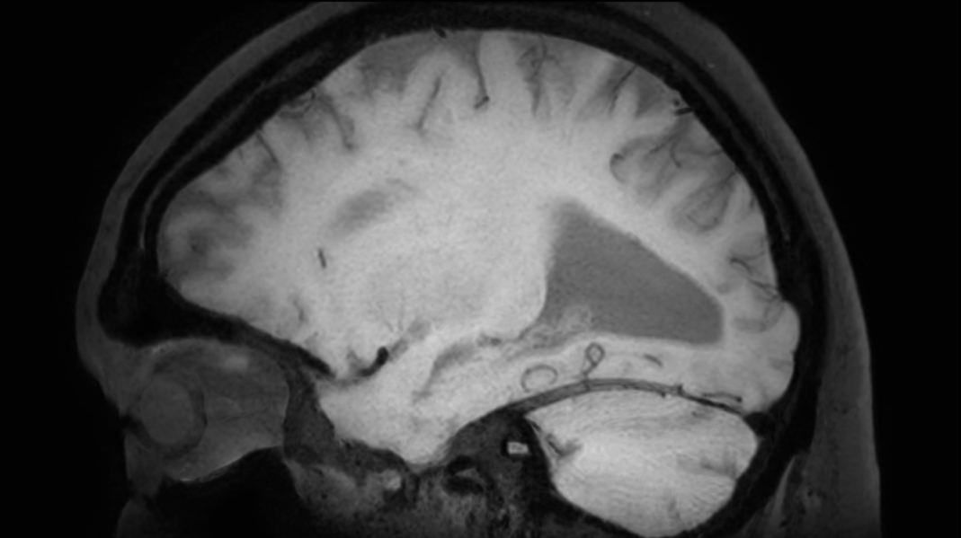
         Sagittal 3D BrainVIEW Double IRCompressed SENSE
- 
      
         3D BrainVIEW Double IR - Axial reformatCompressed SENSE
- 
      
         3D BrainVIEW Double IR -  Coronal reformatCompressed SENSE
- 
      
         Axial 3D BrainVIEW Black Blood (post-gado)Compressed SENSE
- 
      
         3D BrainVIEW Black Blood (post-gado) - Sagittal reformatCompressed SENSE
- 
      
         3D BrainVIEW Black Blood (post-gado) - Coronal reformatCompressed SENSE
Previous
    Next         
    
    Close
    
    
        
        Resolution
ScantimeObjective
    
     
             
    
        
            *Results from case studies are not predictive of results in other cases. Results in other cases may vary.
 1Compared to scans without Compressed SENSE
Results from case studies are not predictive of results in other cases. Results in other cases may vary.