Go back
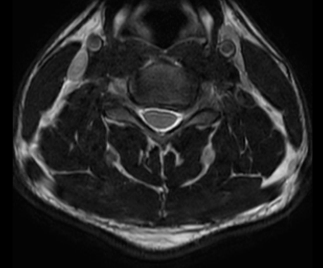
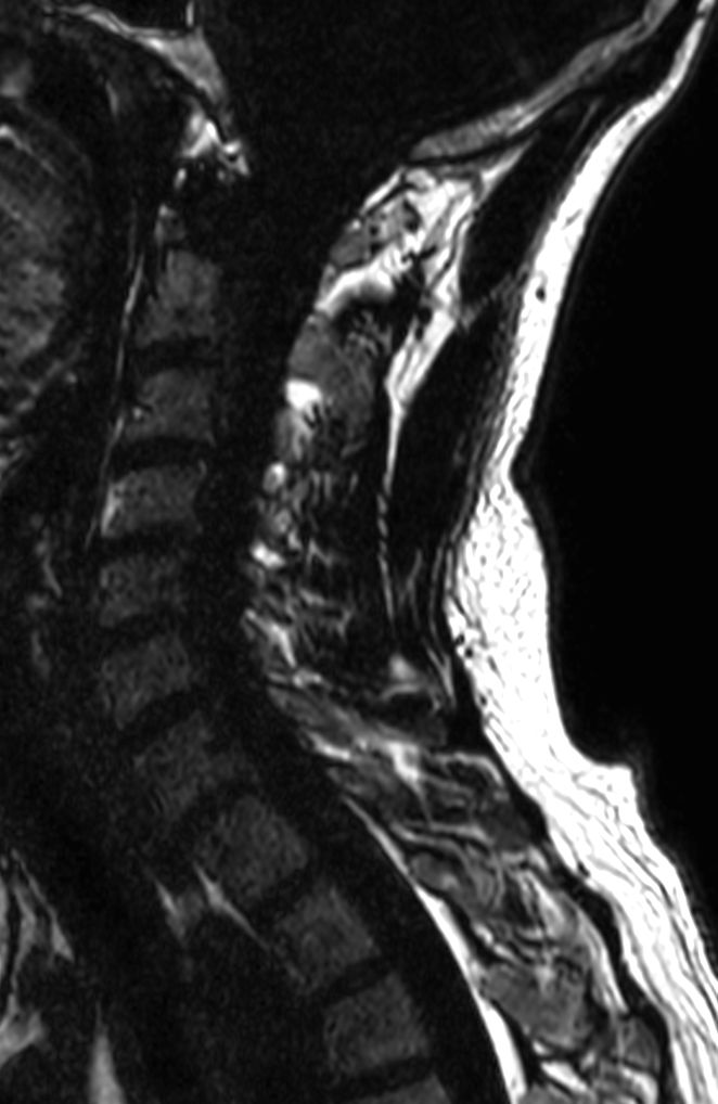
        Cervical Spine with mDIXON XD
        
            Northshore Hospital, Westlake, New Zealand        
     
    
    
    
        Gallery
        
    
        - 
      
         T2w TSE mDIXON XD (In Phase)
- 
      
         T2w TSE mDIXON XD (Water only)
- 
      
         T2w TSE mDIXON XD (Fat only)
- 
      
         T1w TSE
- 
      
         T2w TSE 3D VISTA
- 
      
         T2w TSE 3D DRIVE
Previous
    Next         
    
    Close
    
    
        
        Resolution
ScantimeObjective
    
     
             
    
        
            *Results from case studies are not predictive of results in other cases. Results in other cases may vary.