Go back
        Post Surgery Cervical Spine
        
            Utrecht Medical Center, The Netherlands        
     
            
            
                
Patient information
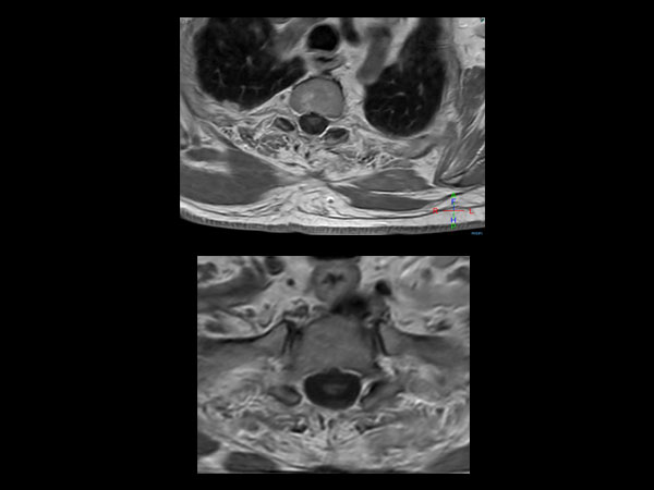
                51 year-old man with poor general health and neurological disturbances. Histological examination of the surgical specimen led to the diagnosis of lipomatous ependynoma. Post surgery MRI (resected ependynoma) performed with dS HeadNeck coil with coverage till T4.            
        
    
    
    
        Gallery
                
    
    Close
    
    
        
        Resolution
ScantimeObjective
    
     
             
    
        
            *Results from case studies are not predictive of results in other cases. Results in other cases may vary.