Go back

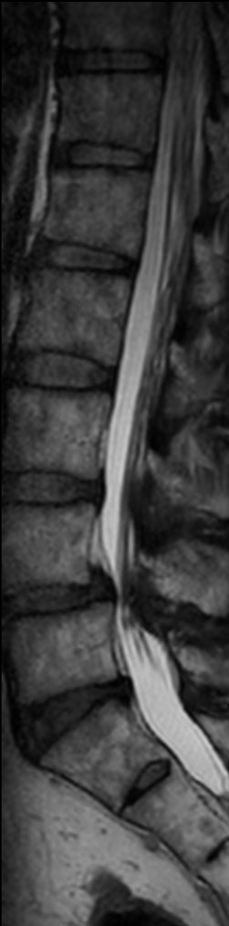
Lumbar Spine disc herniation

Kumamoto Chuo Hospital, Japan

Patient information

Patient with a lumbar spine disc herniation.

Used Solution

  • System

  • Coil

  • Clinical Application

  • Clinical Application

*Results from case studies are not predictive of results in other cases. Results in other cases may vary.

1. SmartExam is not available to patients with MR Conditional implants.