Go back
        Metal Imaging of the Knee
        
            Barnabas Health ACC, Livingston, NJ, USA        
     
    
    
    
        Gallery
        
    
        - 
      
         Coronal PDw SPAIR
- 
      
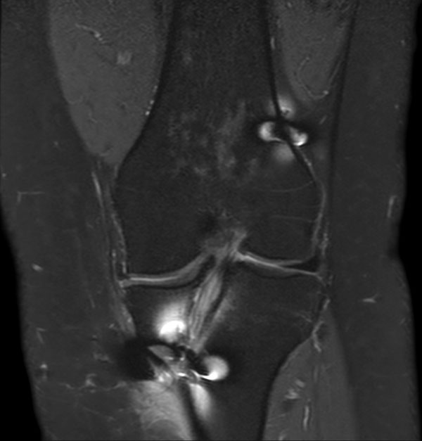
         Coronal STIR aTSE (MARS)
- 
      
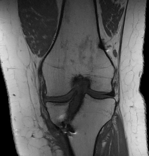
         Coronal T1w TSE
- 
      
         Coronal T1w TSE (MARS)
- 
      
         Sagittal T2w TSE
- 
      
         Sagittal T2w TSE (MARS)
- 
      
         Axial T2w SPAIR
- 
      
         Axial T2w SPAIR (MARS)
Previous
    Next         
    
    Close
    
    
        
        Resolution
ScantimeObjective
    
     
             
    
        
            *1 Only for use with MR Safe or MR Conditional Implants by strictly following the Instructions for Use.