Go back
Lumbar Spine - Obese patient
Krankenhaus der Barmherzigen Brüder, Trier, Germany
Patient information
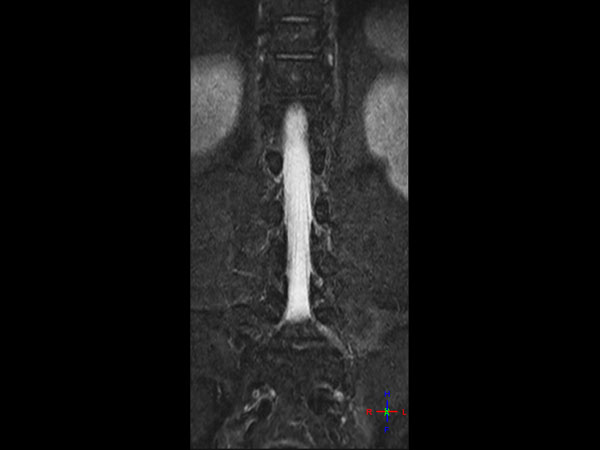
32- year old male patient, 180 kg, with back pain. Was first examined on CT but quality was not sufficient for diagnosis. MRI gave excellent images. Diagnosis: small protrusion of the disc L5/S1, no meningioma.
Gallery
Close
Resolution
ScantimeObjective
*Results from case studies are not predictive of results in other cases. Results in other cases may vary.