-
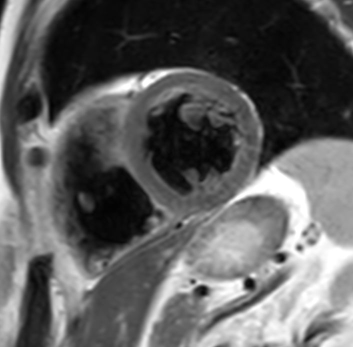
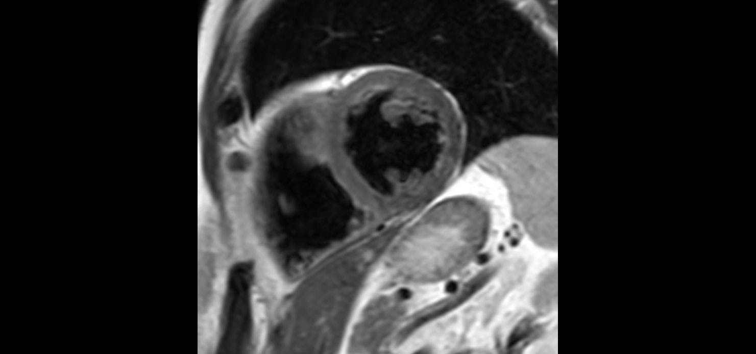
bTFE short axis Without Compressed SENSE: 8.4 sec breath hold
-
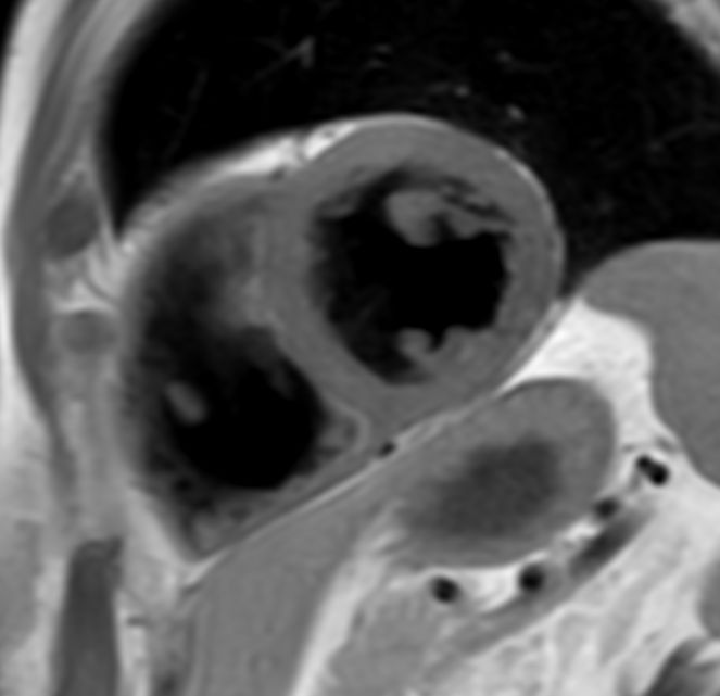
bTFE short axis With Compressed SENSE: 4.8 sec breath hold
-
bTFE 4 chamber Without Compressed SENSE: 7.2 sec breath hold
-
bTFE 4 chamber With Compressed SENSE: 4.8 sec breath hold
-
bTFE long axis
-
bTFE left ventricular outflow tract
-
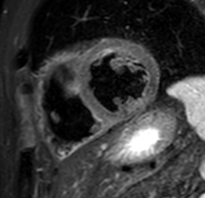
T2w TSE Black Blood Without Compressed SENSE: 12 sec breath hold
-
T2w TSE Black Blood With Compressed SENSE: 9.6 sec breath hold
-
T2w STIR Black Blood Without Compressed SENSE: 14.4 sec breath hold
-
T2w STIR Black Blood With Compressed SENSE: 9.6 sec breath hold
-
T1w TSE Black Blood Without Compressed SENSE: 15.6 sec breath hold
-
T1w TSE Black Blood With Compressed SENSE: 10.8 sec breath hold
-
3D bTFE Whole Heart
-
Qflow aorta