Go back
Brain - White matter lesions
MRT Praxis Potsdam, Germany
Patient information
Fast and high quality brain imaging for a patient with white matter lesions. AI based SmartSpeed is utlized to shorten scan time without compromise in image quality. Advanced 3D TSE imaging technique are used to acquire high resolution data in multiple directions in only one single scan.
Gallery
-
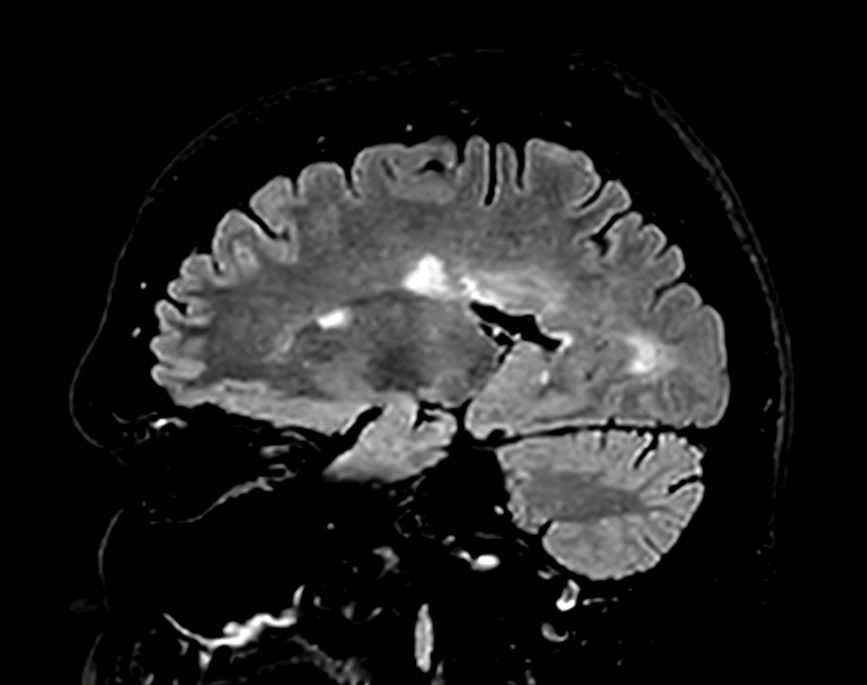
Sagittal 3D FLAIR
-
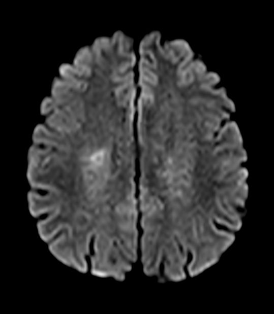
3D FLAIR (Axial reformat)
-
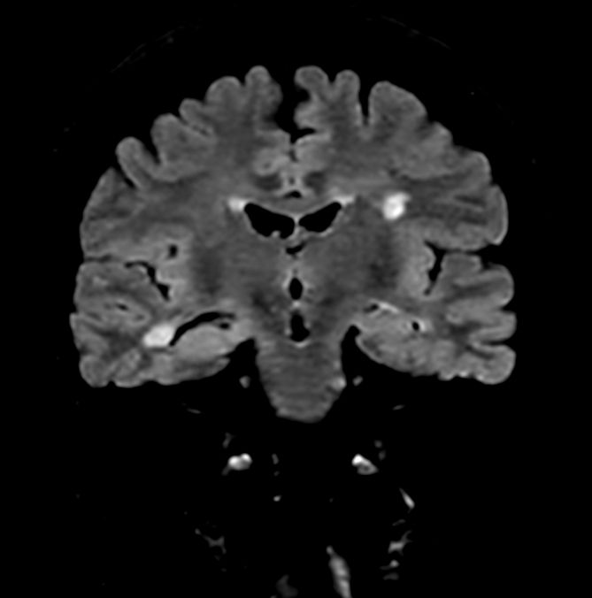
3D FLAIR (Coronal reformat)
-
Axial T2w FFE
-
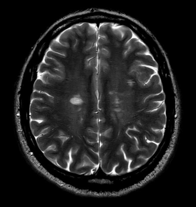
Axial T2w TSE
-
Axial DWI b1000
-
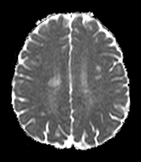
Axial DWI b1000 (ADC)
-
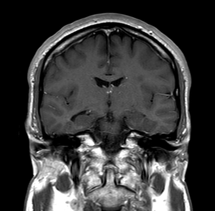
Coronal T1w SEPre-Gado
-
Coronal T1w SEPost-Gado
-
Sagittal 3D T1w TFEPost-Gado
-
3D T1w TFE (Axial reformat)Post-Gado
Previous
Next
Close
Resolution
ScantimeObjective
*Results from case studies are not predictive of results in other cases. Results in other cases may vary.