Go back

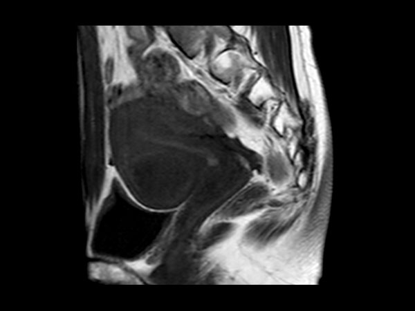
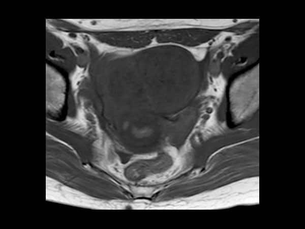
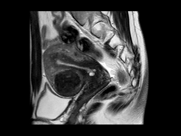
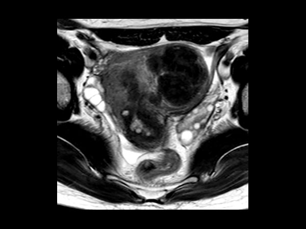
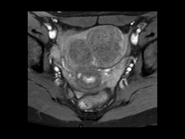
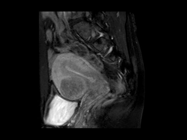
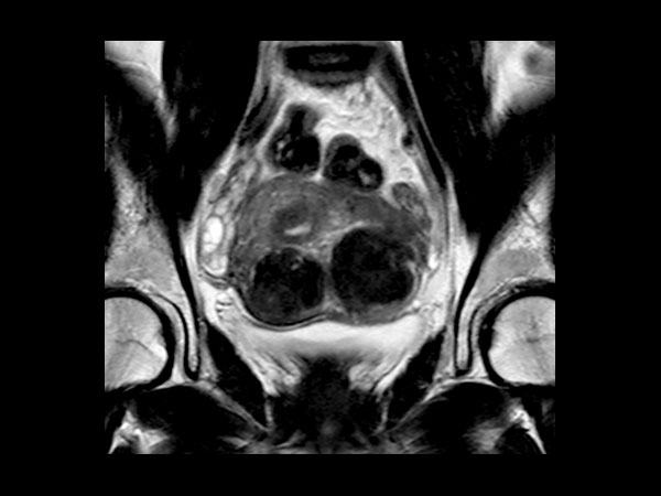
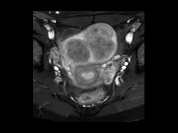
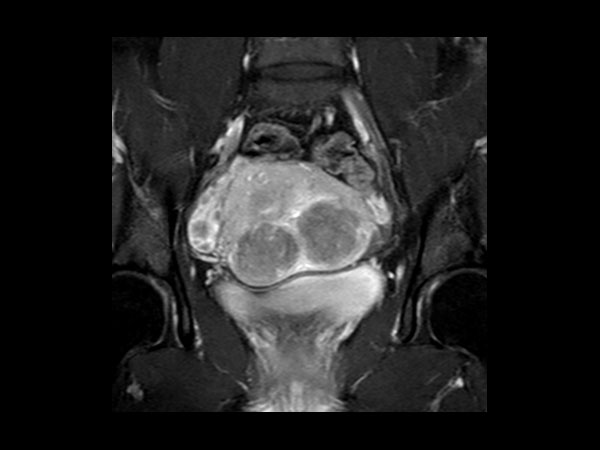
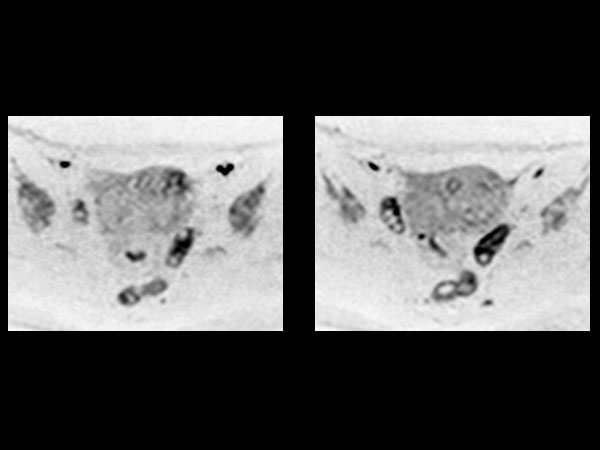
Female Pelvis

Toyonaka Hospital, Japan

Used Solution

  • System

  • Coil

  • Clinical Application

More Information

*Results from case studies are not predictive of results in other cases. Results in other cases may vary.