Go back
mDIXON Quant - Steatosis
Aarhus University Hospital, Denmark
Patient information
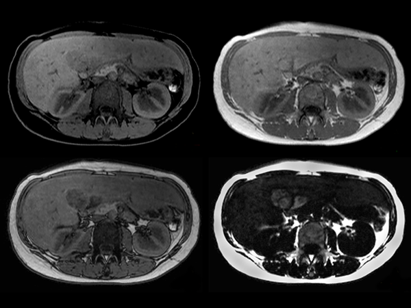
Previous MR in this patient has shown a large liver with fatty spots and signs of general steatosis. With mDIXON Quant an average fat fraction of 16% and peak at fraction of approximately 22% is found, see the images with ROIs of 12% and 20% fat fraction. The diagnosis is steatosis hepatis magno gradu and ocal/segmental steatosis. mDIXON Quant provides a quantitative estimation of the fat fraction in the liver in only 1 breath hold.
Gallery
-
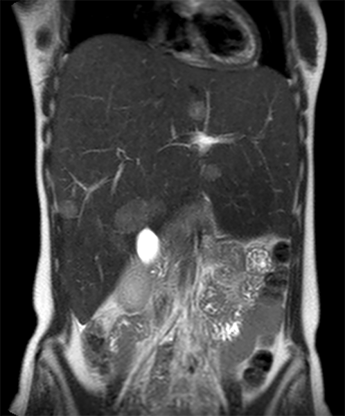
Coronal T2w TSE
-
Axial T2w TSE
-
mDIXON (water only, in-phase, out-phase, fat only)
-
Axial Diffusion (b0, b50, b800)
-
mDIXON Quant (fat fraction map)
-
mDIXON Quant (fat fraction map)
-
mDIXON Quant (T2* map)
Previous
Next
Close
Resolution
ScantimeObjective
*Results from case studies are not predictive of results in other cases. Results in other cases may vary.