Go back
        Large lesion brain imaging with synthetic MRI
        
             University Hospital Cologne, Germany        
     
            
            
                
Patient information
                Patient with a large brain lesion. AI based SmartSpeed is utlized to shorten scan time without compromise in image quality. Advanced imaging techniques like pCASL and 3D APT are used to perform contrast-free brain imaging to assess perfusion and tumoral activity. SWIp 3D susceptibility weighted offers the high sensitivity required to visualize deoxygenated (venous) blood or calcium deposits. A single synthetic (SyntAc) brain quantification scan is added. The resulting data of this scan can be used as input for advanced third party processing software* to synthesize MR images with different contrasts, brain parenchyma fraction maps and/or brain segmentation maps.            
        
    
    
    
        Gallery
        
    
        - 
      
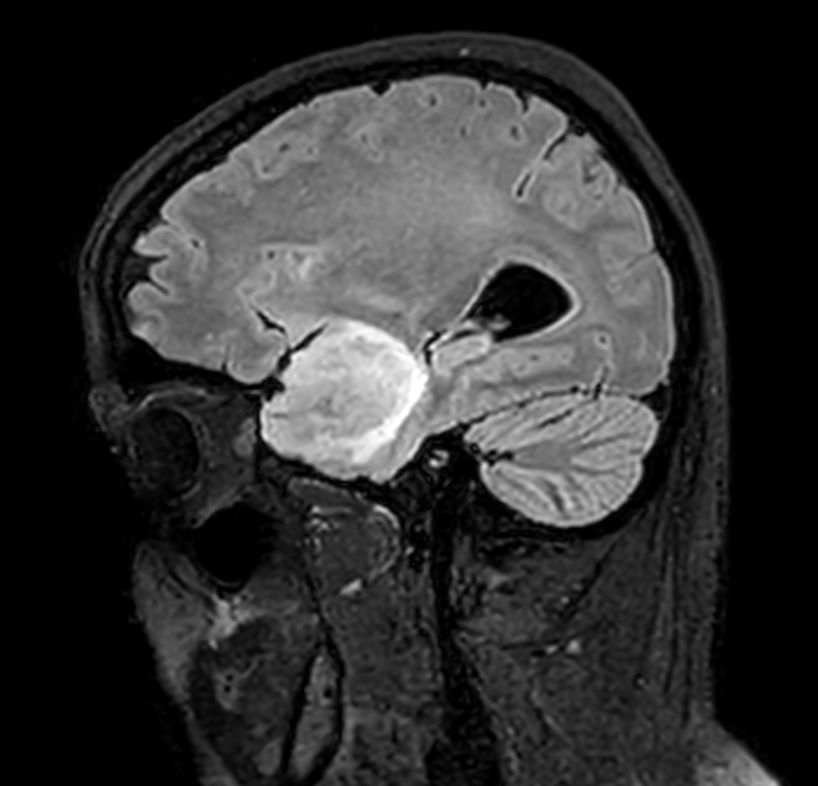
         Sagittal 3D FLAIR
- 
      
         3D FLAIR (Axial reformat)
- 
      
         3D FLAIR (Coronal reformat)
- 
      
         Axial T2w TSE Motion-Free
- 
      
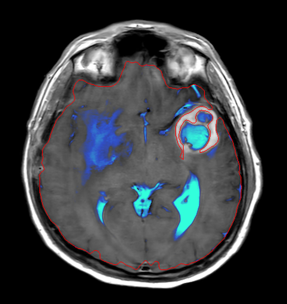
         Axial 3D pCASL (3 dynamics)
- 
      
         Axial 3D APT
- 
      
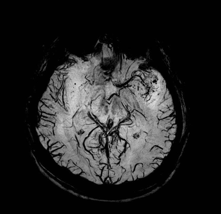
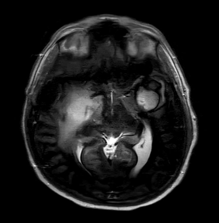
         Axial SWIp (Modulus)
- 
      
         Axial SWIp (minIP)
- 
      
         Axial SWIp (Phase)
- 
      
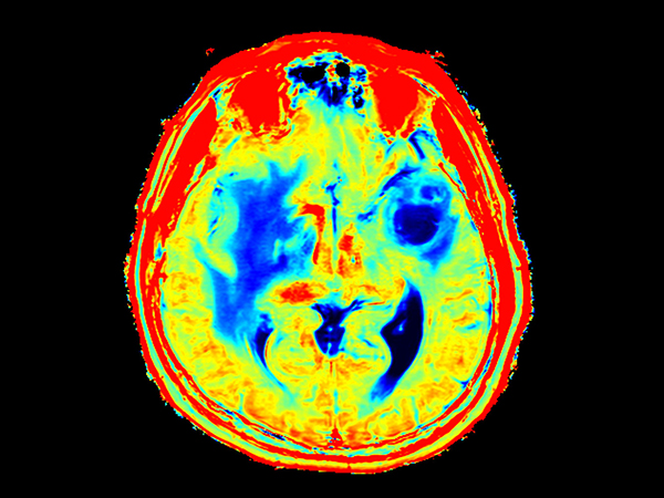
         Axial T2* Perfusion (60 dynamics)
                    
             
- 
      
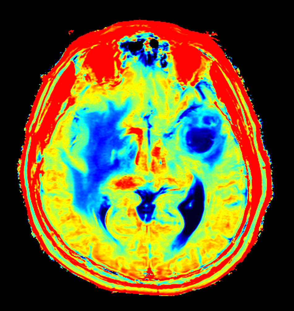
         Axial T2* Perfusion (TTP)
- 
      
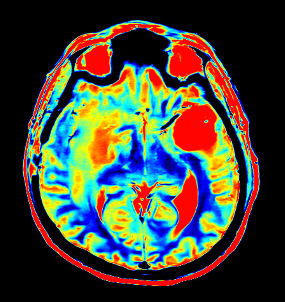
         Axial T2* Perfusion (NI)
- 
      
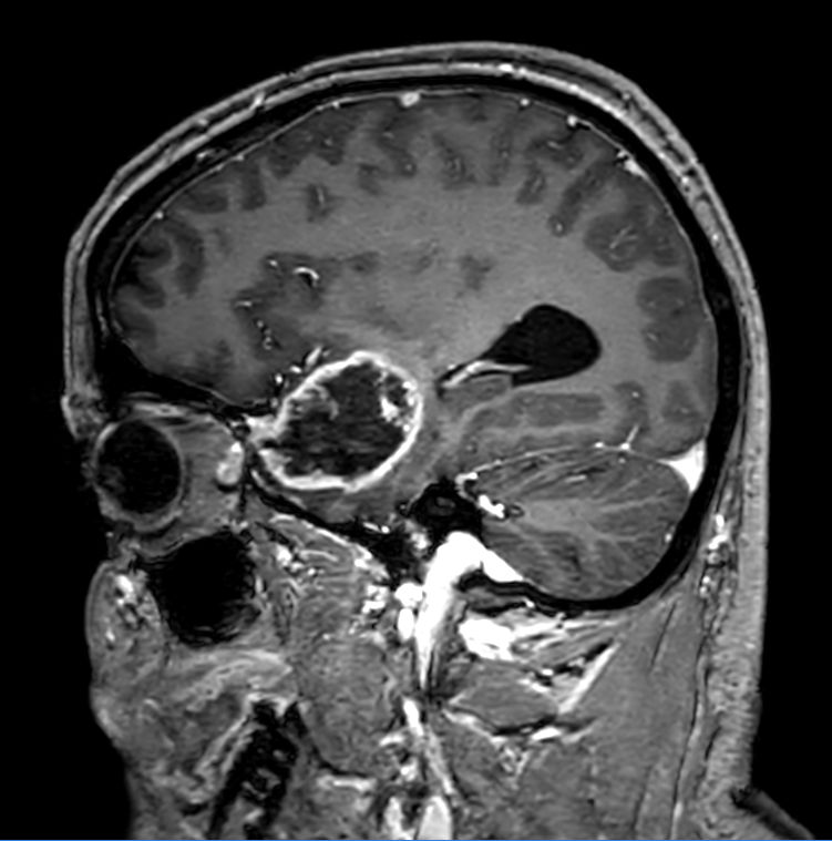
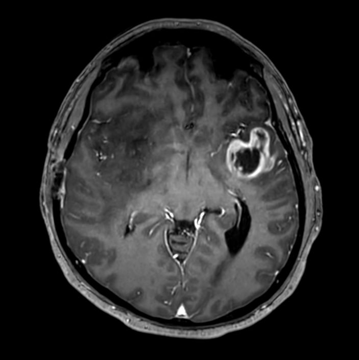
         Sagittal 3D T1w TFEPost-Gado
- 
      
         3D T1w TFE (Axial reformat)Post-Gado
- 
      
         3D T1w TFE (Coronal reformat)Post-Gado
- 
      
         Axial SyntAc
- 
      
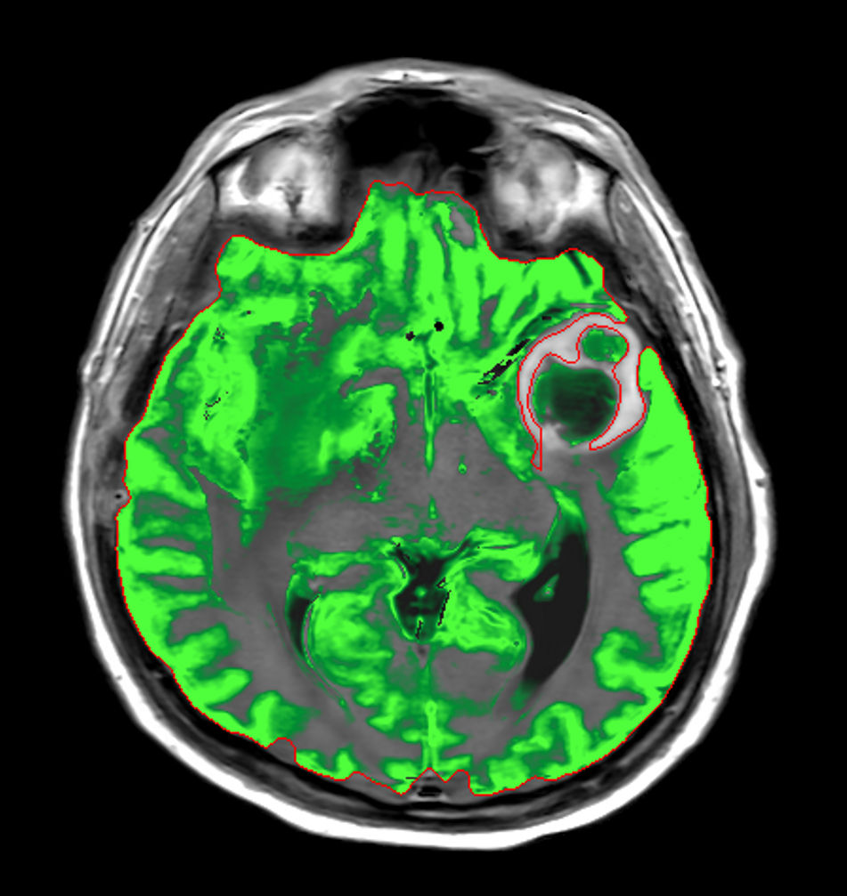
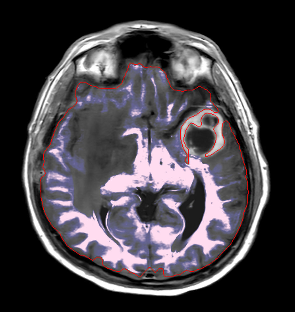
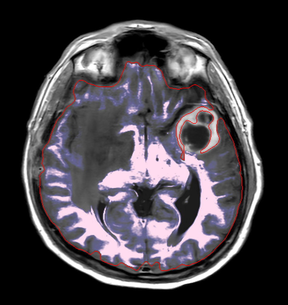
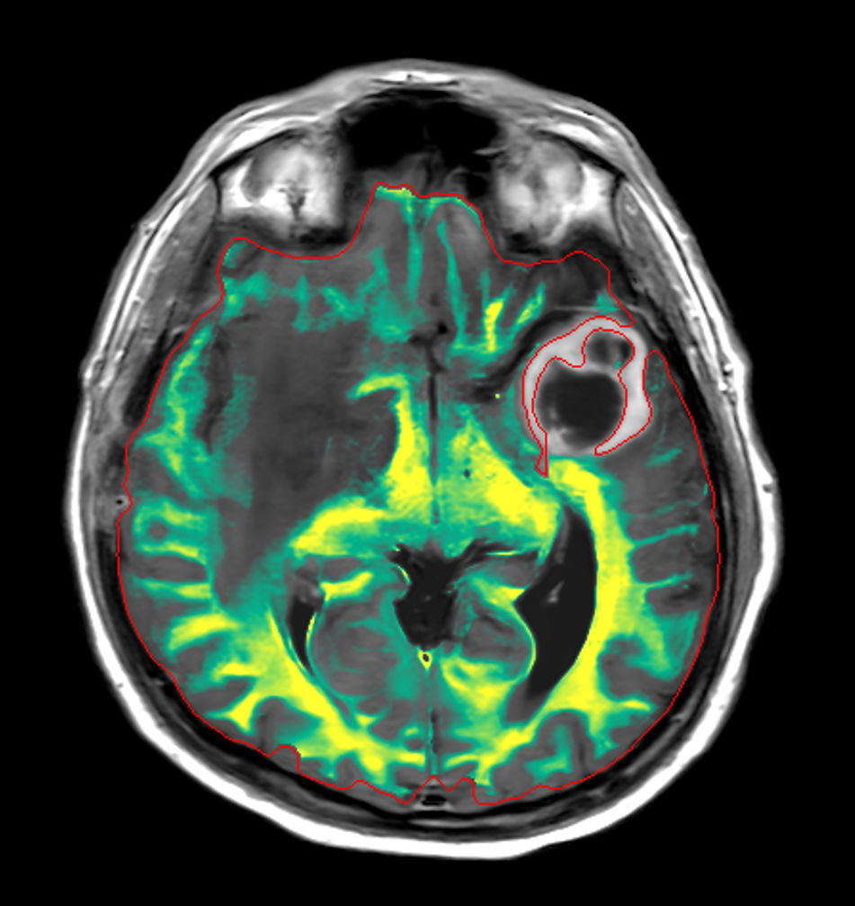
         Axial SyntAc (Grey Matter)
- 
      
         Axial SyntAc (White Matter)
- 
      
         Axial SyntAc (CSF)
- 
      
         Axial SyntAc (No GM, WM, CSF)
- 
      
         Axial SyntAc (Myelin)
- 
      
         Axial SyntAc (T1 Map)
- 
      
         Axial SyntAc (T2 Map)
- 
      
         Axial SyntAc (PD Map)
- 
      
         Axial SyntAc (R1 Map)
- 
      
         Axial SyntAc (R2 Map)
Previous
    Next         
    
    Close
    
    
        
        Resolution
ScantimeObjective
    
     
             
    
        
            *SyMRI NEURO, Synthetic MR, AB, Sweden
Results from case studies are not predictive of results in other cases. Results in other cases may vary.