Go back
        Liver MR imaging
        
            Fukuoka University, Fukuoka, Japan        
     
    
    
    
        Gallery
        
    
        - 
      
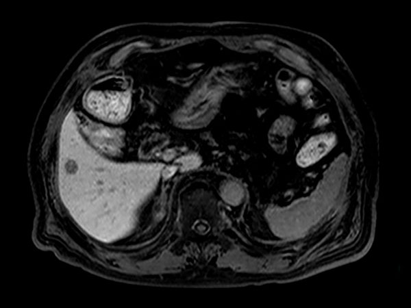
         Axial T1w in/out phase
- 
      
         Axial mDIXON Quant
- 
      
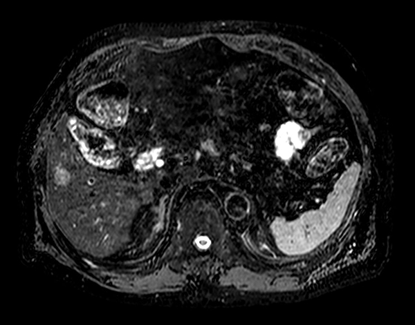
         Dynamic eTHRIVE
- 
      
         Axial T2w VISTA
- 
      
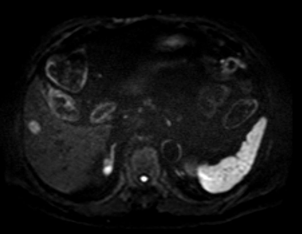
         Axial Diffusion (b800)
- 
      
         Axial eTHRIVE
- 
      
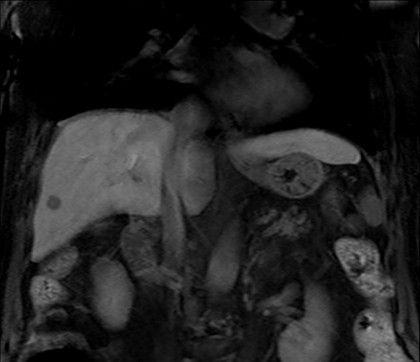
         Coronal eTHRIVE
- 
      
         Axial mDIXON (Water)
Previous
    Next         
    
    Close
    
    
        
        Resolution
ScantimeObjective
    
     
             
    
        
            *Results from case studies are not predictive of results in other cases. Results in other cases may vary.