Go back
        Lung cancer
        
            Kumamoto Chuo Hospital, Japan        
     
            
            
                
Patient information
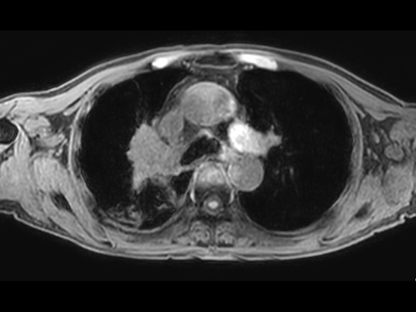
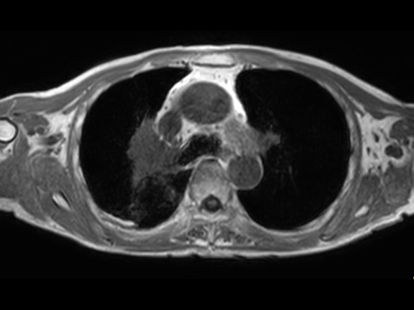
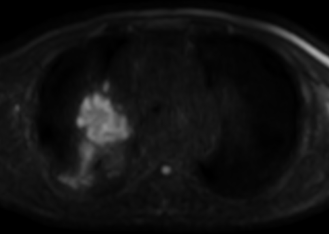
                Patient with lung cancer. The ExamCard includes techniques for efficient fat-free imaging over large field-of-views (mDIXON XD), a diffusion procedure with less distortion (DWI TSE XD), a multi-phase contrast-enhanced sequence (4D FreeBreathing) to improve imaging confidence and Compressed SENSE to accelerate the entire exam.            
        
    
    
    
        Gallery
        
    
        - 
      
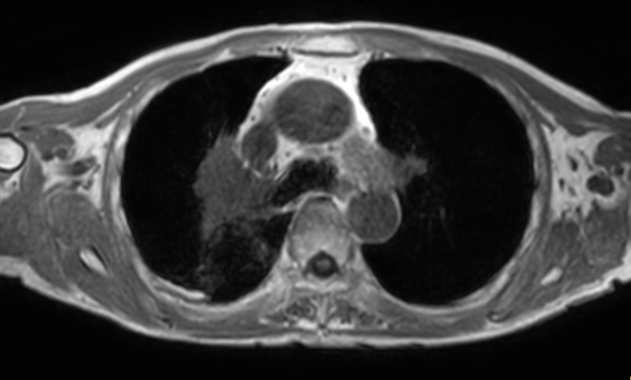
         T2w TSE Compressed SENSE
- 
      
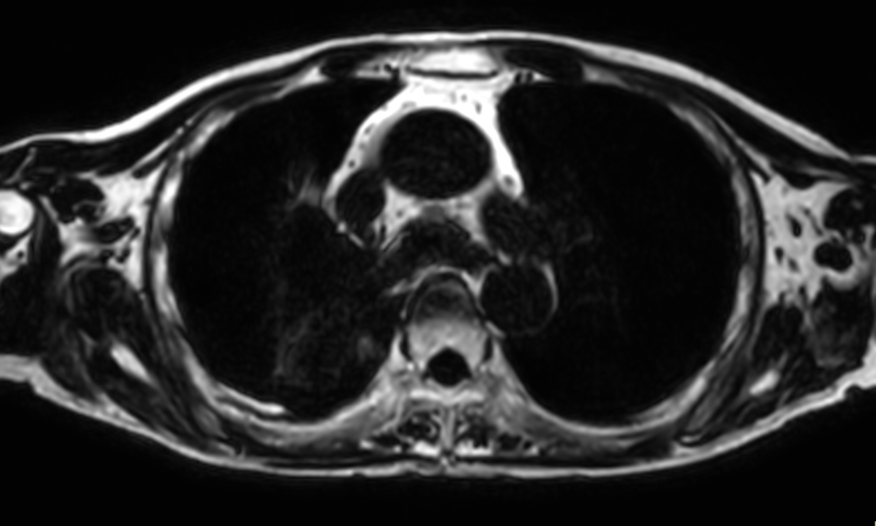
         T2w TSE
- 
      
         T1w mDIXON XD FFE (Water only) Compressed SENSE
- 
      
         T1w mDIXON XD FFE (In Phase) Compressed SENSE
- 
      
         T1w mDIXON XD FFE (Out Phase) Compressed SENSE
- 
      
         T1w mDIXON XD FFE (Fat only) Compressed SENSE
- 
      
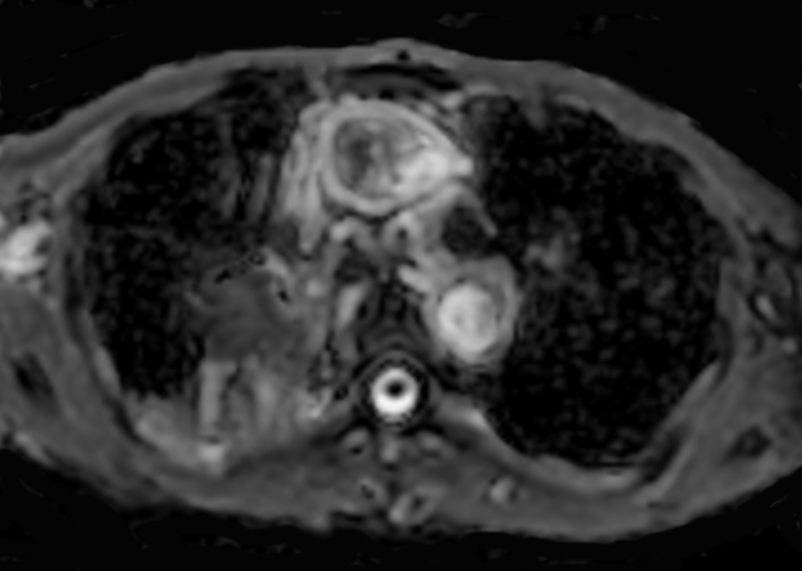
         DWI EPI b1000
- 
      
         DWI EPI b1000 (ADC)
- 
      
         DWI TSE XD b1000 Compressed SENSE
- 
      
         DWI TSE XD b1000 (ADC) Compressed SENSE
- 
      
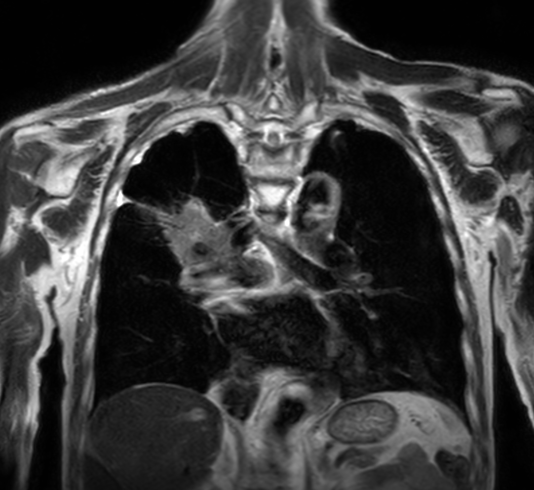
         4D FreeBreathing
                    
             
- 
      
         4D FreeBreathing (subtraction)
                    
             
Previous
    Next         
    
    Close
    
    
        
        Resolution
ScantimeObjective
    
     
             
    
        
            *Results from case studies are not predictive of results in other cases. Results in other cases may vary.