Go back
        Ankle/Foot imaging post-amputation
        
            Technical University Munich, Germany        
     
            
            
                
Patient information
                Patient with partial amputation of the foot            
        
    
    
    
        Gallery
        
    
        - 
      
         Sagittal PDw mDIXON XD TSE (Water only)
- 
      
         Sagittal PDw mDIXON XD TSE (In Phase)
- 
      
         Sagittal PDw mDIXON XD TSE (Partial FatSat)
- 
      
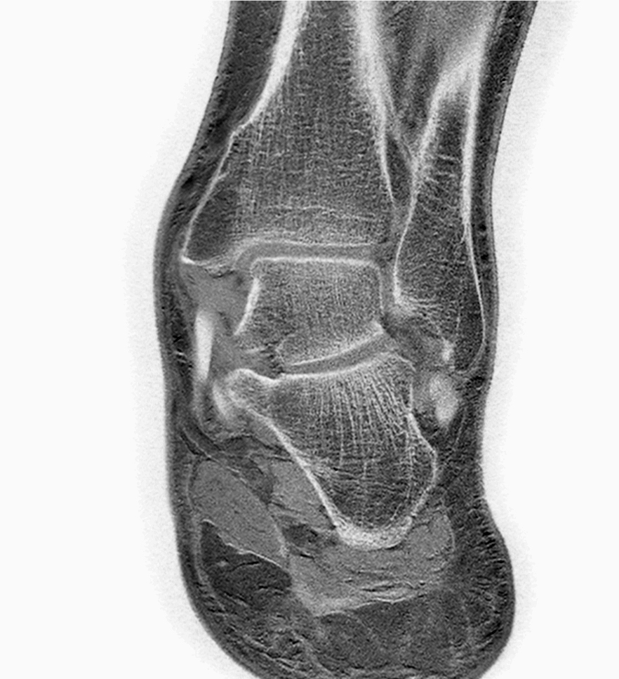
         Coronal PDw mDIXON XD TSE (Water only)
- 
      
         Coronal PDw mDIXON XD TSE (In Phase)
- 
      
         Coronal PDw mDIXON XD TSE (Partial FatSat)
- 
      
         Sagittal 3D VIEW PDw SPAIR
- 
      
         3D VIEW PDw SPAIR - Coronal reformat
- 
      
         3D VIEW PDw SPAIR - Axial reformat
- 
      
         Sagittal T1w TSE
- 
      
         Sagittal T1w TSE with gado
- 
      
         Sagittal T1w TSE with gado (subtraction)
- 
      
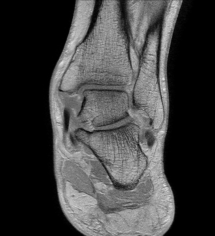
         Coronal T1w FFE
- 
      
         Coronal T1w FFE - 2 mm reformat
- 
      
         Coronal T1w FFE - 2 mm reformat (inverted window)
- 
      
         Axial T1w mDIXON XD TSE with gado (Water only)
- 
      
         Axial T1w mDIXON XD TSE with gado (In Phase) 
Previous
    Next         
    
    Close
    
    
        
        Resolution
ScantimeObjective
    
     
             
    
        
            *Results from case studies are not predictive of results in other cases. Results in other cases may vary.