Go back
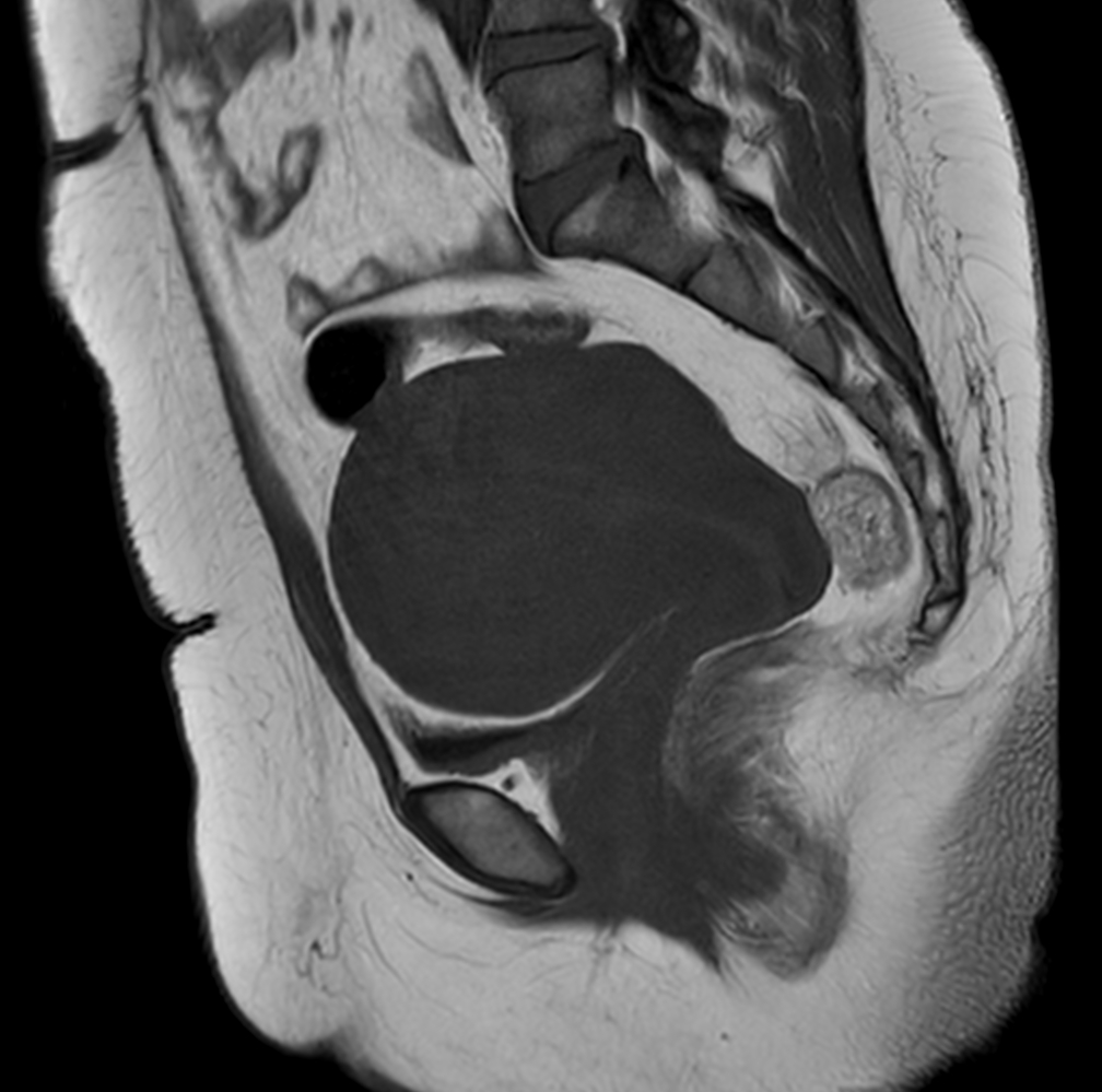
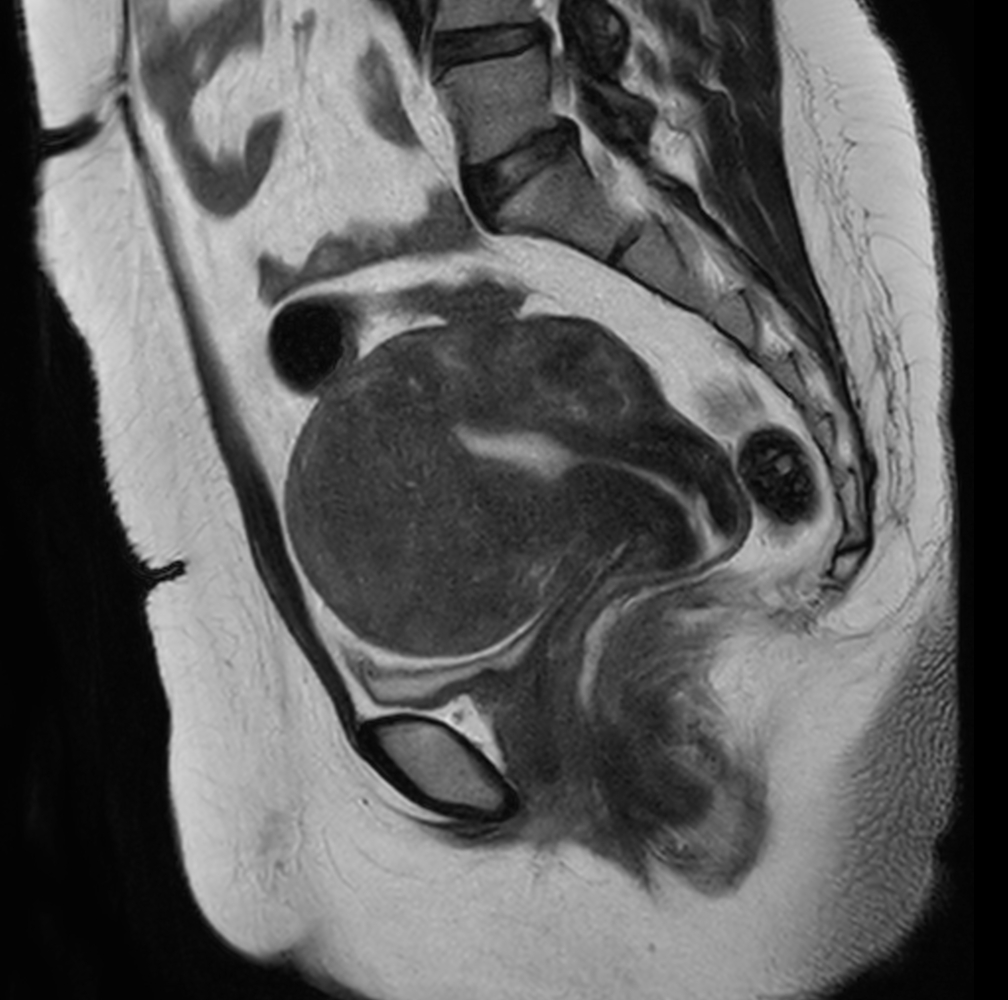
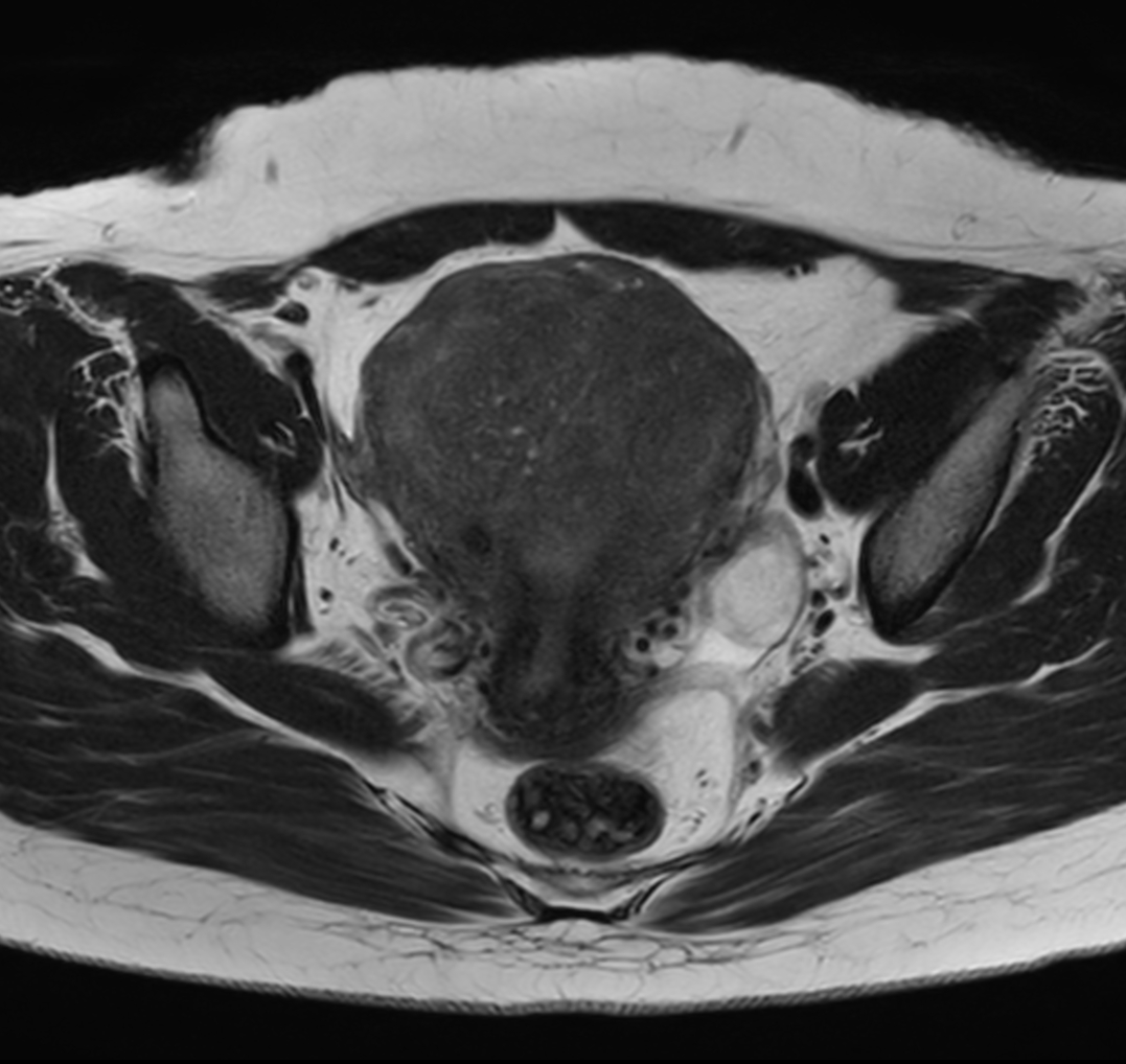
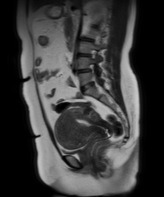
        Female pelvis with myoma (Compressed SENSE)
        
            Kurashiki Central Hospital, Okayama, Japan        
     
    
    
    
        Gallery
        
    
        - 
      
         Sagittal T2w SSh
- 
      
         Sagittal T2w TSE
- 
      
         Sagittal T1w TSE
- 
      
         Coronal bTFE
- 
      
         Axial T2w TSE
- 
      
         Sagittal 3D PelvisVIEW
- 
      
         Sagittal DWI (b0)
- 
      
         Sagittal DWI (b1000)
- 
      
         Sagittal DWI (ADC)
Previous
    Next         
    
    Close
    
    
        
        Resolution
ScantimeObjective
    
     
             
    
        
            *Results from case studies are not predictive of results in other cases. Results in other cases may vary.
 1Compared to scans without Compressed SENSE
Results from case studies are not predictive of results in other cases. Results in other cases may vary.