Go back
        Multi-phase, contrast-enhanced prostate imaging
        
            Kumamoto Chuo Hospital, Japan        
     
            
            
                
Patient information
                Patient with a prostate lesion. The ExamCard includes techniques for 3D imaging (PelvisVIEW, eTHRIVE) allowing for multiple image directions in one single scan, efficient fat-free imaging over large field-of-views (mDIXON XD), a multi-phase contrast-enhanced sequence (4D FreeBreathing) to improve imaging confidence and Compressed SENSE to accelerate the entire exam.            
        
    
    
    
        Gallery
        
    
        - 
      
         T2w TSE
- 
      
         T1w TSE Compressed SENSE
- 
      
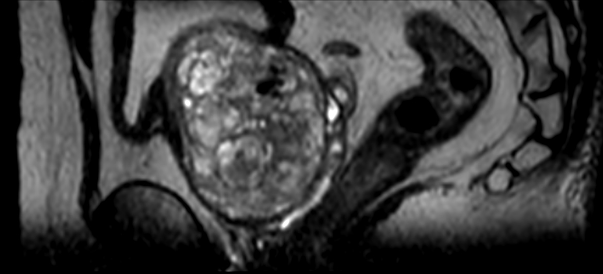
         3D T2w TSE PelvisVIEW Compressed SENSE
- 
      
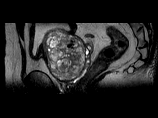
         3D T2w TSE PelvisVIEW (reformat) Compressed SENSE
- 
      
         3D T2w TSE PelvisVIEW (reformat) Compressed SENSE
- 
      
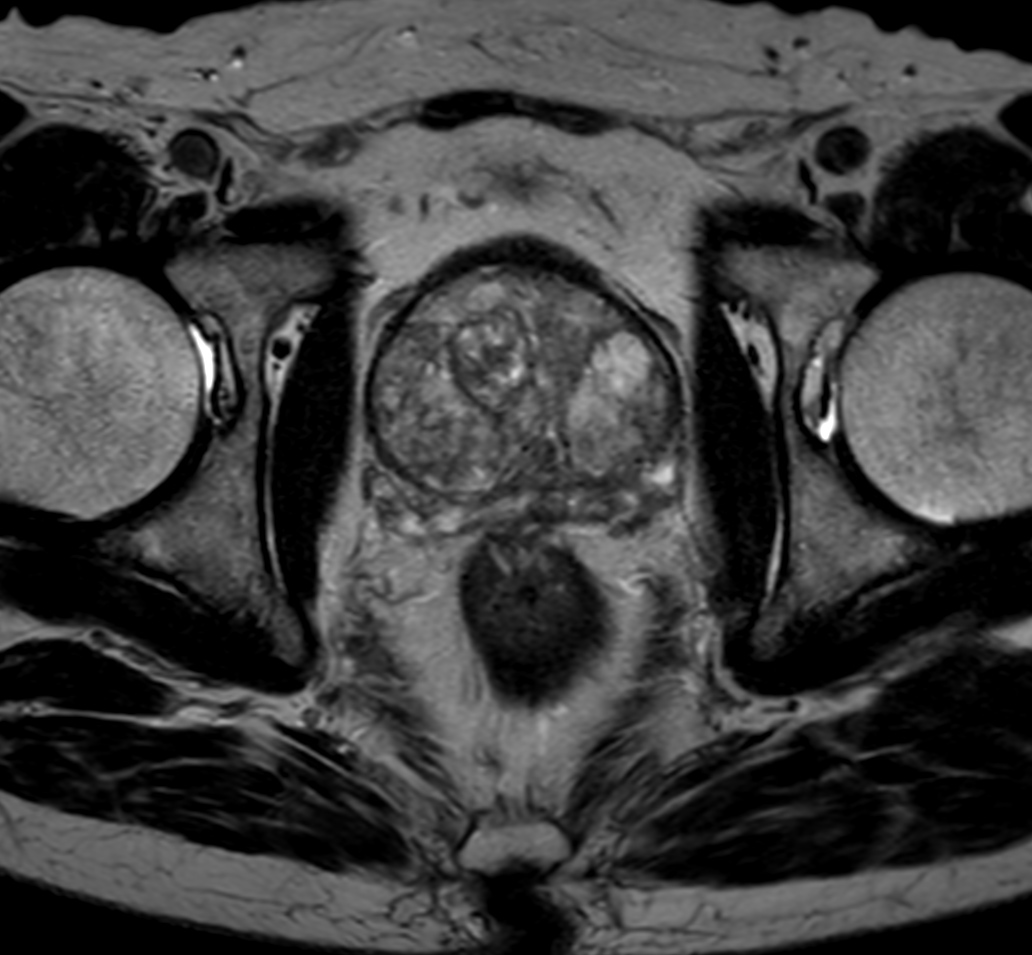
         3D T1w TSE Compressed SENSE
- 
      
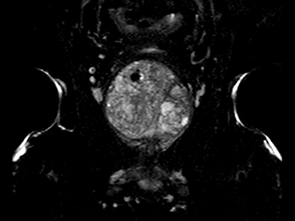
         T2w TSE Compressed SENSE
- 
      
         T1w mDIXON XD FFE Compressed SENSE
- 
      
         DWI b1000
- 
      
         DWI b1000 (ADC)
- 
      
         DWI b2000 large FOV
- 
      
         DWI b2000 large FOV (ADC)
- 
      
         DWIBS b1000
                    
             
- 
      
         DWIBS b1000 (ADC)
- 
      
         4D FreeBreathing
                    
             
- 
      
         4D FreeBreathing (subtraction)
                    
             
- 
      
         3D eTHRIVE with gado Compressed SENSE
- 
      
         3D eTHRIVE with gado (reformat) Compressed SENSE
Previous
    Next         
    
    Close
    
    
        
        Resolution
ScantimeObjective
    
     
             
    
        
            *Results from case studies are not predictive of results in other cases. Results in other cases may vary.