Go back
        SWIp in traumatic brain injury
        
            Phoenix Children’s Hospital, USA        
     
            
            
                
Patient information
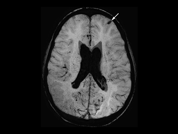
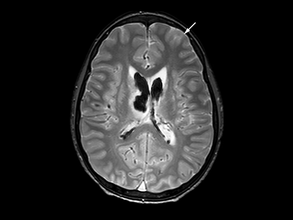
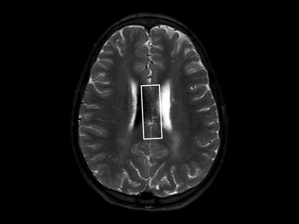
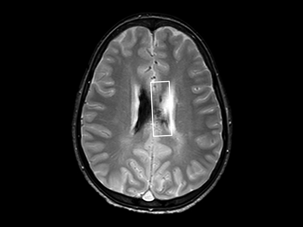
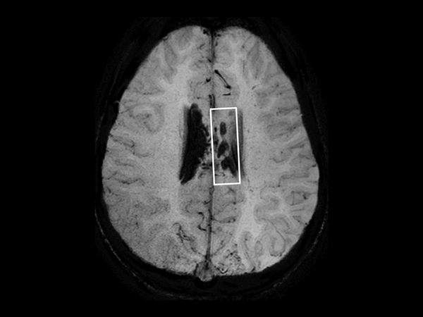
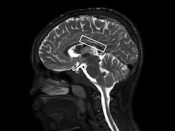
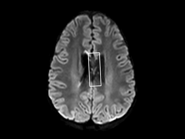
                In this case, a 10-year-old girl thrown from a horse. The SWIp images provided increased visibility of the corpus callosum injury compared to the T2-weighted, diffusion weighted and gradient echo images, see the box in the images. SWIp also provides increased visibility of the cortical contusion (arrows) compared to gradient echo imaging. In this case, SWIp helped to characterize the extent of the patient’s injury, which is important to know for short term care and longer term prognosis and rehabilitation.            
        
    
    
    
        Gallery
        
    
        - 
      
         Sagittal T2w SSh TSE
- 
      
         Axial T2w SSh TSE
- 
      
         Axial T2w FFE
- 
      
         Axial Diffusion (b1000)
- 
      
         Axial SWIp
- 
      
         Axial T2w FFE
- 
      
         Axial SWIp
Previous
    Next         
    
    Close
    
    
        
        Resolution
ScantimeObjective
    
     
             
    
        
            *Results from case studies are not predictive of results in other cases. Results in other cases may vary.