Go back
        MR-only simulation prostate 
        
            Turku University Hospital, Finland        
     
            
            
                
Patient information
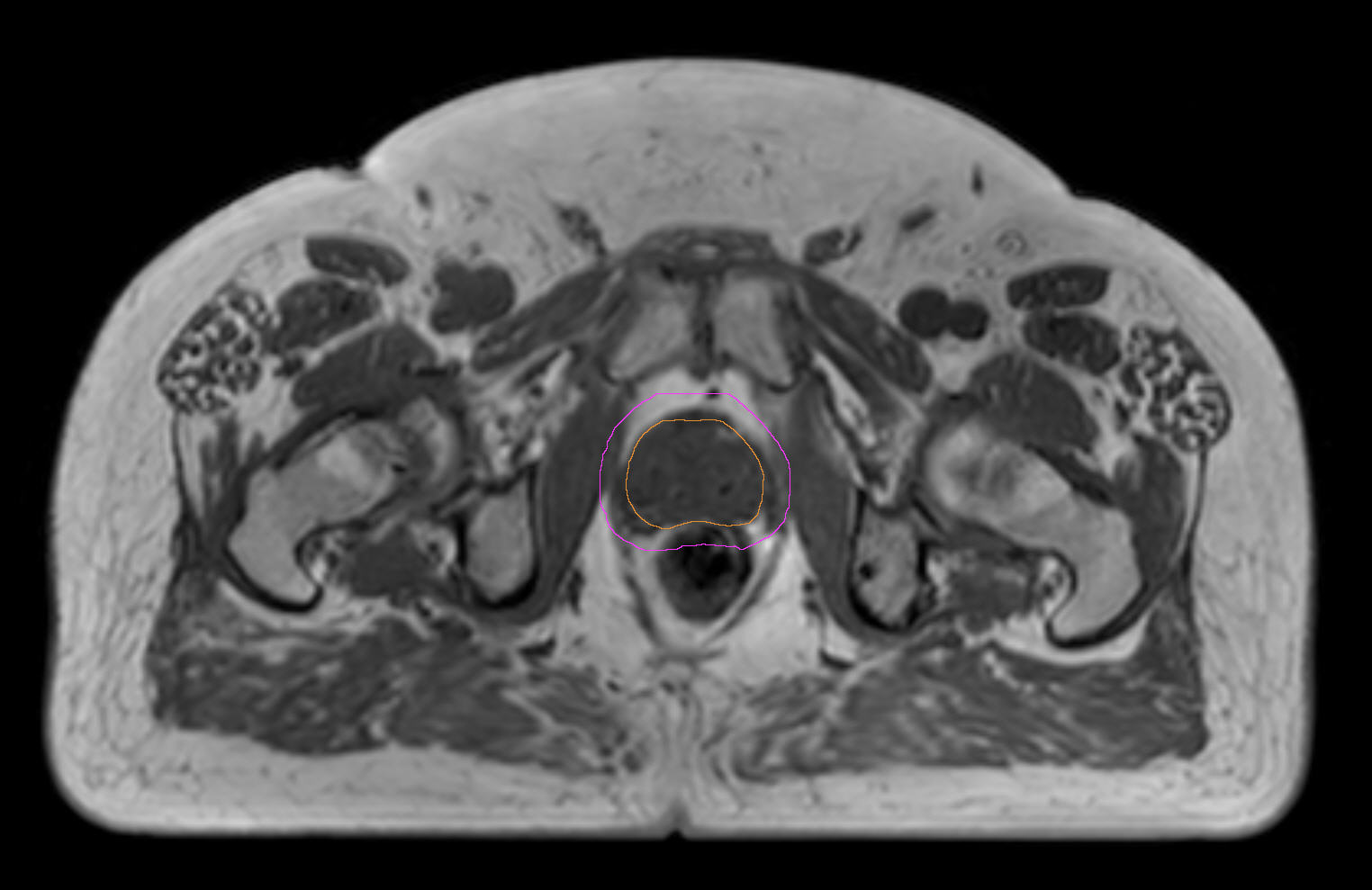
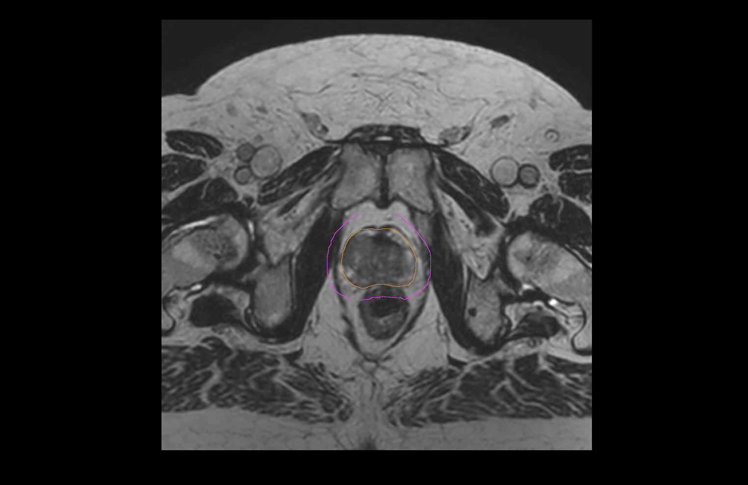
                 77-year-old male with prostate cancer cT3aN0M0, Gleason 8 and PSA 52 µg/L referred to androgen deprivation and radiation therapy with a prescribed dose of 50 Gy to the pelvic lymph node regions and 76 Gy to the prostate. Patient underwent MRI on Ingenia MR-RT 1.5T using FlexCoverage Anterior Coil in combination with the integrated Posterior Coil. Dose planning was performed on MRI imaging data.            
        
    
    
    
        Gallery
                
    
    Close
    
    
        
        Resolution
ScantimeObjective
    
     
             
    
        
            *Results from case studies are not predictive of results in other cases. Results in other cases may vary.