Go back
        MRI simulation for oropharynx aquamous cell carcinoma treatment
        
            University Medical Center Utrecht, The Netherlands        
     
            
            
                
Patient information
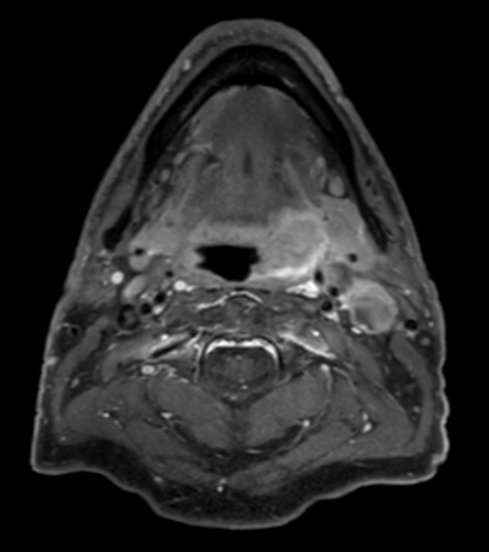
                A 75-year-old male with oropharynx squamous cell carcinoma in the left tonsil region with extension into the soft palate, caudal border lower tonsil region, no midline crossing. On the left side in the neck there are also three enlared lymph nodes on level 2 and 3 with central necrosis and signs of limited extracapsular extensionn, T2N2b. Patient underwent MRI simulation in the radiotherapy (5-point) positioning mask in Ingenia MR-RT 3.0T using the Flex coils in combination with integrated Posterior FlexCoverage coil.            
        
    
    
    
        Gallery
        
    
        - 
      
         T1w TSE mDIXON (water only) pre contrast 
- 
      
         T1w TSE mDIXON (in-phase) pre contrast 
- 
      
         T1w TSE mDIXON (water only) post contrast
- 
      
         T1w TSE mDIXON (in-phase) post contrast
- 
      
         T2w TSE mDIXON (water only)
- 
      
         T2w TSE mDIXON (in-phase)
- 
      
         DWI SPIR (b800)
- 
      
         DWI SPIR (ADC)
- 
      
         Dynamic 3D  T1 FFE
                    
             
Previous
    Next         
    
    Close
    
    
        
        Resolution
ScantimeObjective
    
     
             
    
        
            *Results from case studies are not predictive of results in other cases. Results in other cases may vary.