Go back
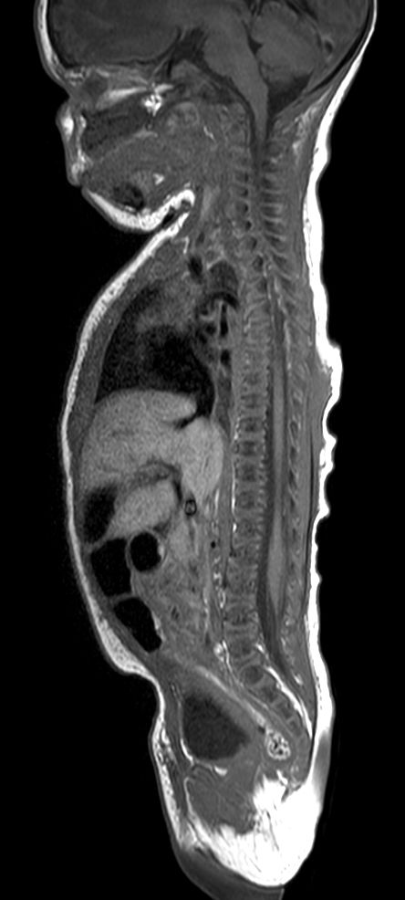
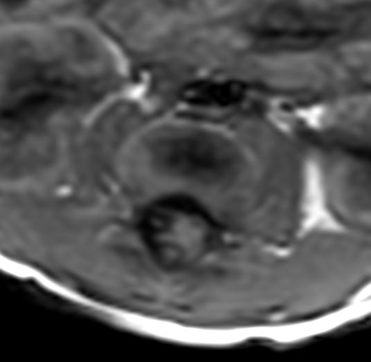
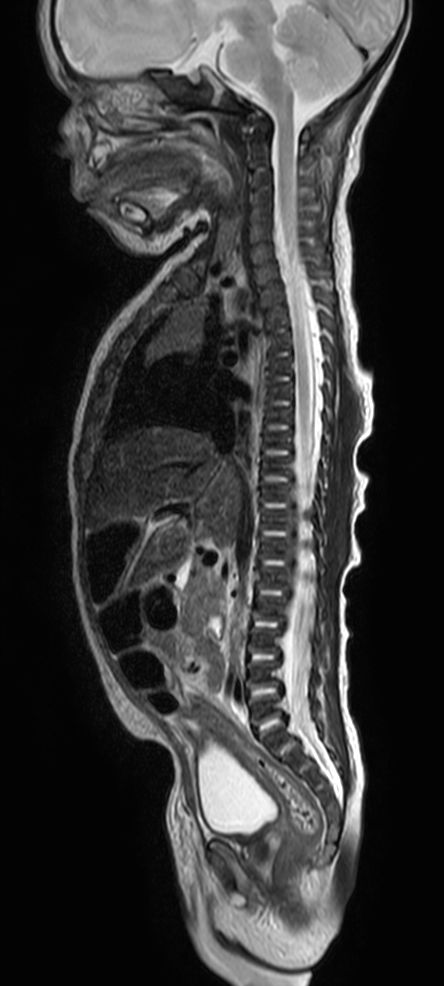
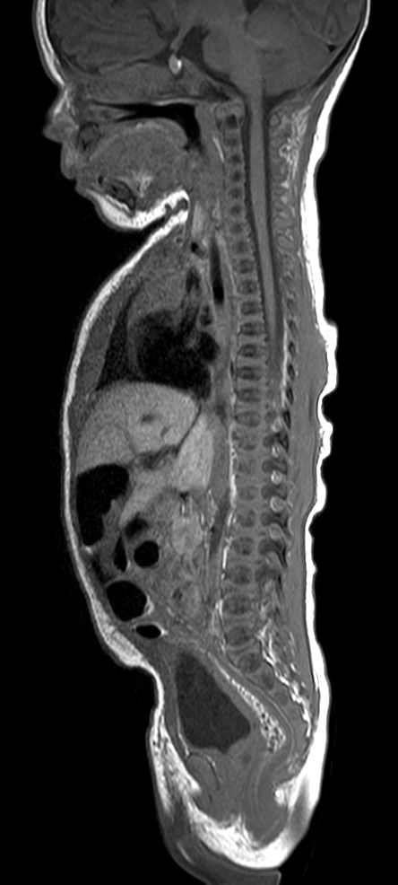
        Pediatric Total Spine with spina bifida
        
            Helios Klinikum, Krefeld, Germany        
     
            
            
                
Patient information
                Neonatal patient, 5 days old, with spina bifida            
        
    
    
    
        Gallery
                
    
    Close
    
    
        
        Resolution
ScantimeObjective
    
     
             
    
        
            *Results from case studies are not predictive of results in other cases. Results in other cases may vary.