Go back
        Fetal Brain and Spine
        
            Monash Childrens Hospital, Clayton,  Australia        
     
            
            
                
Patient information
                Pregnant patient, referred to MRI for fetal brain and spine imaging.            
        
    
    
    
        Gallery
        
    
        - 
      
         Axial T2w TSE single shotCompressed SENSE
- 
      
         Coronal T2w TSE single shotCompressed SENSE
- 
      
         Sagittal T2w TSE single shotCompressed SENSE
- 
      
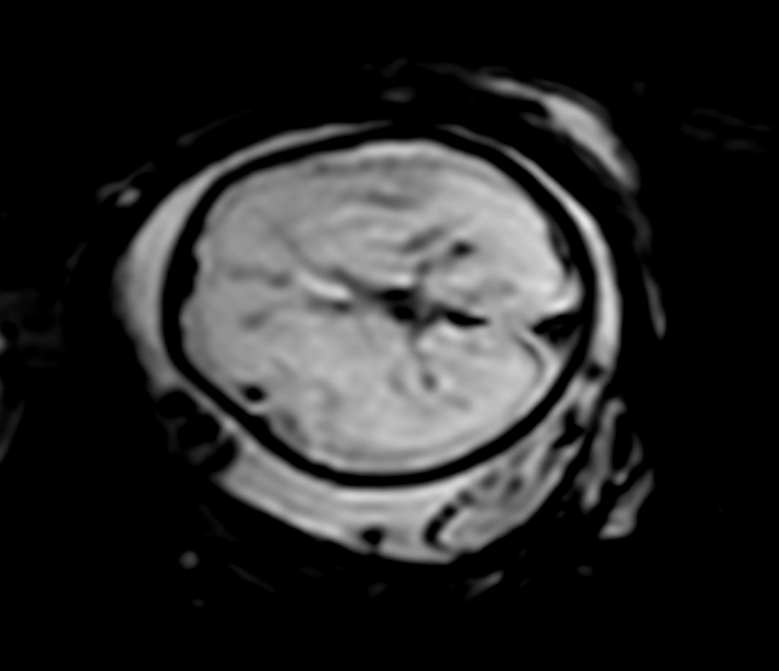
         Axial T2w FLAIRCompressed SENSE
- 
      
         Axial DWI (b700)
- 
      
         Axial DWI (ADC)
- 
      
         Axial 3D T1w TFECompressed SENSE
- 
      
         Axial T2* EPI
- 
      
         Axial bFFE (IAC)Compressed SENSE
- 
      
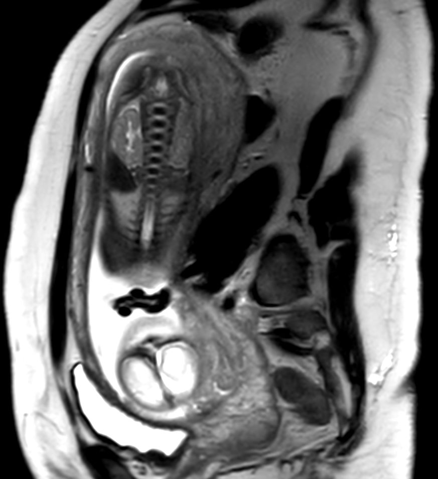
         Sagittal T2w TSE single shot (Spine)Compressed SENSE
- 
      
         Coronal T2w TSE single shot (Spine)Compressed SENSE
- 
      
         Axial T2w TSE single shot (Spine)Compressed SENSE
- 
      
         Cine bFFE (swallowing)Compressed SENSE
                    
             
Previous
    Next         
    
    Close
    
    
        
        Resolution
ScantimeObjective
    
     
             
    
        
            *Results from case studies are not predictive of results in other cases. Results in other cases may vary.