Go back
        Brain - Acute Stroke
        
            Toyonaka Hospital, Japan        
     
            
            
                
Patient information
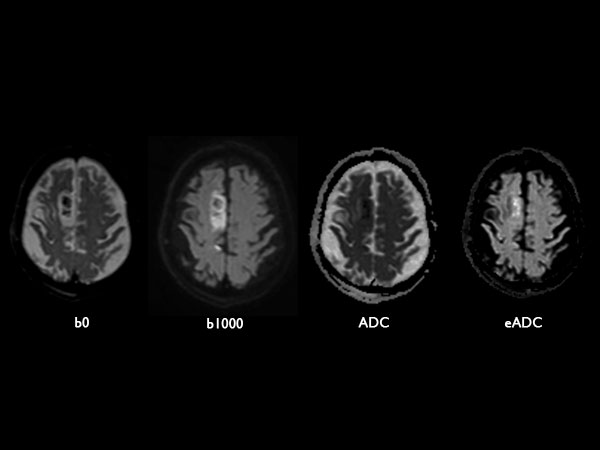
                Acute stroke. Patient was brought to the first aid and directly transferred to the MRI unit. Axial studies were performed to get an overview of the stroke. Total study time is 9 minutes.            
        
    
    
    
        Gallery
        
    
        - 
      
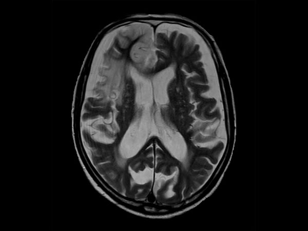
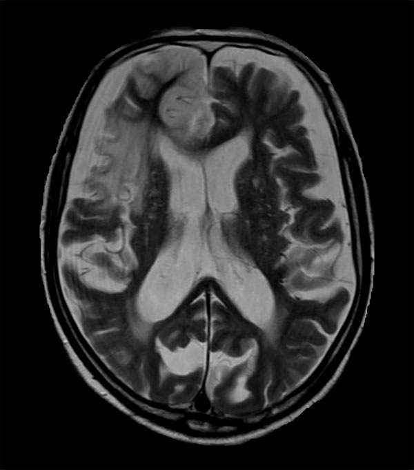
         Axial T2w TSE
- 
      
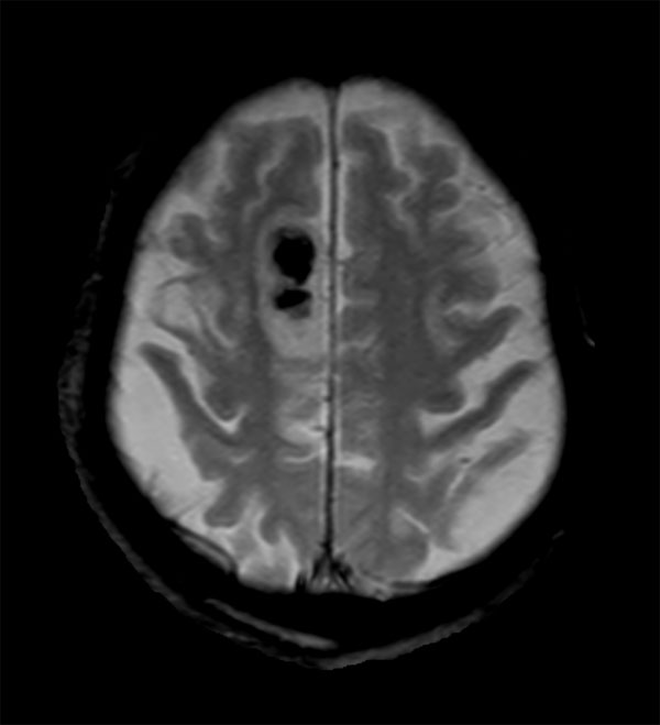
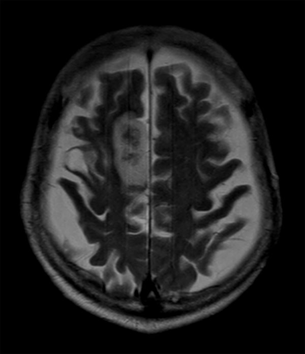
         Axial T2* FFE
- 
      
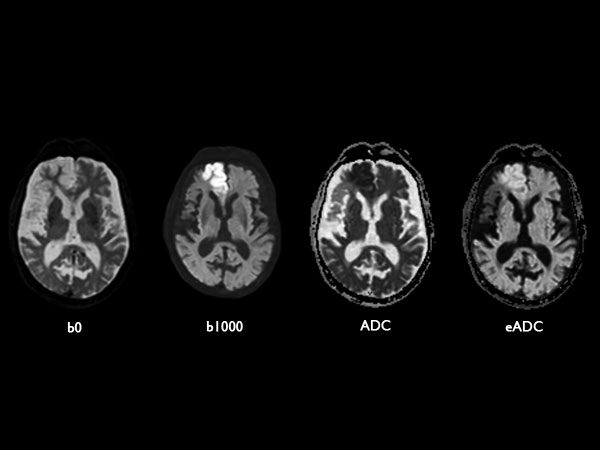
         Diffusion
- 
      
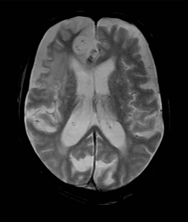
         Axial T2w TSE
- 
      
         Axial T2* FFE
- 
      
         Diffusion
- 
      
         MRA TOF
                    
             
- 
      
         MRA TOF 2
                    
             
Previous
    Next         
    
    Close
    
    
        
        Resolution
ScantimeObjective
    
     
             
    
        
            *Results from case studies are not predictive of results in other cases. Results in other cases may vary.