Go back
        dS SENSE in Body Imaging
        
            Centre Hospitalier de Université,  Lyon-Sud, France        
     
            
            
                
Patient information
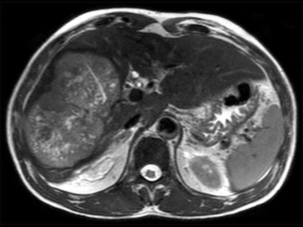
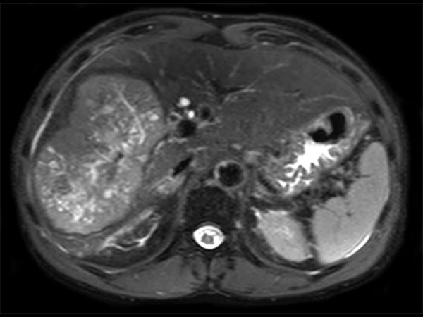
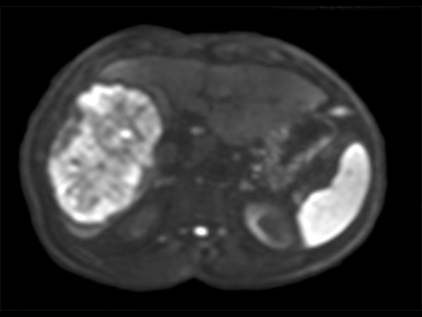
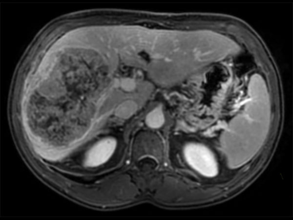
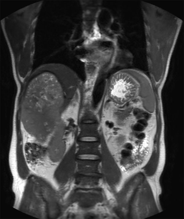
                62 year old patient with huge, non-cirrhotic liver tumor. Question is if the portal vein is closed or not which has a direct influence on treatment options. Portal vein turned out to be open and patient was referred for embolization. No other tumors / lesions were found.            
        
    
    
    
        Gallery
        
    
        - 
      
         Coronal T2w TSE
- 
      
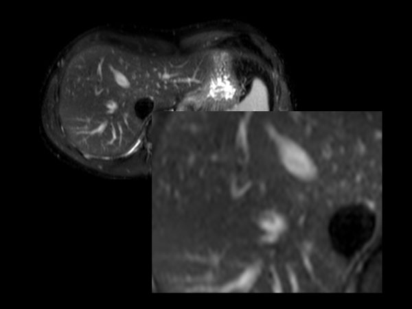
         Axial T2w TSE
- 
      
         Axial T2w SPAIR
- 
      
         Axial Diffusion (b1200)
- 
      
         Axial mDIXON (pre-gado)
- 
      
         Axial  dynamic mDIXON (post-gado)
- 
      
         Axial Diffusion (b1200) SENSE = 2.5 in AP direction
- 
      
         Axial Diffusion (b1200) SENSE = 4 in RL direction
- 
      
         Axial T2w SPAIR SENSE = 2 in AP direction
- 
      
         Axial T2w SPAIR SENSE = 4 in RL direction
Previous
    Next         
    
    Close
    
    
        
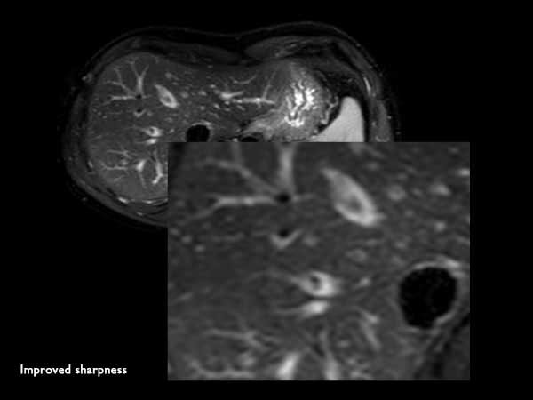
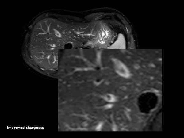
        Resolution
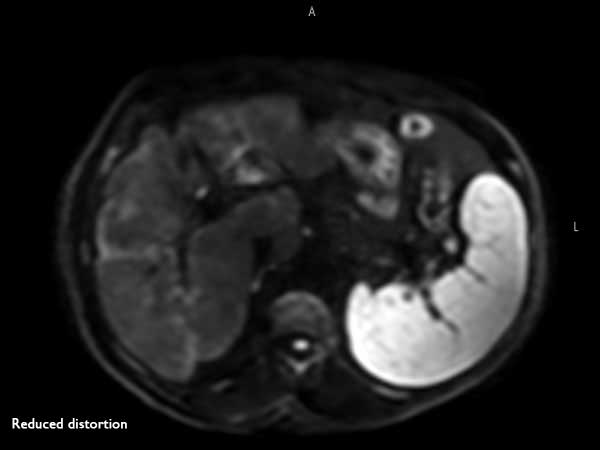
ScantimeObjective
    
     
             
    
        
            *Results from case studies are not predictive of results in other cases. Results in other cases may vary.