Go back

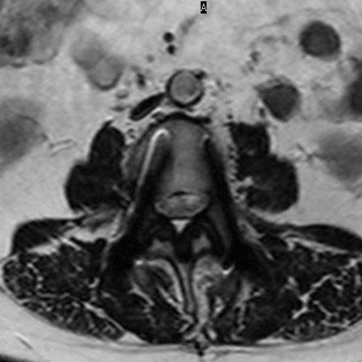
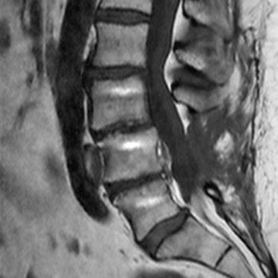
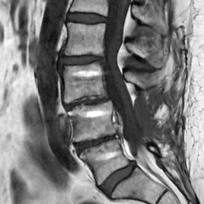
Lumbar Spine with metal implant, routine and fast

Utrecht Medical Center, The Netherlands

**Only for use with MR Safe or MR Conditional Implants by strictly following the Instructions for Use.