Go back
        Fast 3D Brain and IAC imaging
        
            Mermaid Beach Radiology, Australia        
     
            
            
                
Patient information
                Fast and high quality 3D imaging for Brain and IAC. AI based SmartSpeed is utlized to shorten scan time without compromise in image quality. Advanced 3D TSE imaging technique are used to acquire high resolution data in multiple directions in only one single scan. Addition of DRIVE enhances fluid visualization for IAC imaging, while providing high contrast-to-noise and high signal-to-noise ratio simultaneously. SWIp 3D susceptibility weighted brain imaging is added, offering a high sensitivity to enhance contrast for deoxygenated (venous) blood or calcium deposits.            
        
    
    
    
        Gallery
        
    
        - 
      
         Sagittal 3D T1w TFE
- 
      
         3D T1w TFE (Axial reformat)
- 
      
         3D T1w TFE (Coronal reformat)
- 
      
         Sagittal 3D Double IR
- 
      
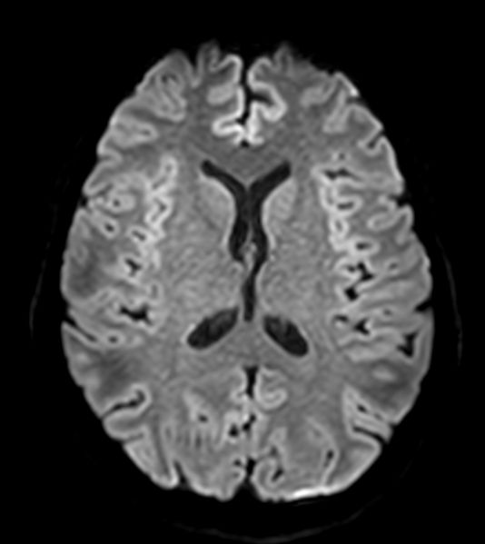
         3D Double IR (Axial reformat)
- 
      
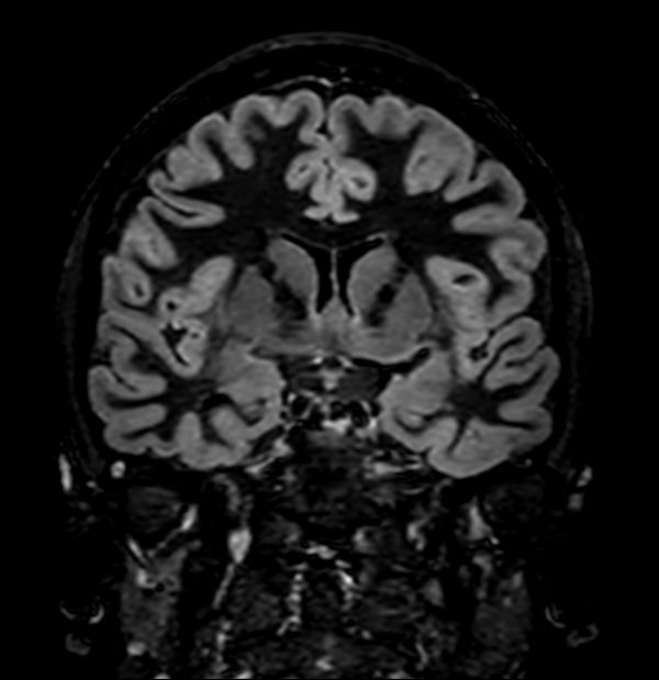
         3D Double IR (Coronal reformat)
- 
      
         Sagittal 3D T2w TSE
- 
      
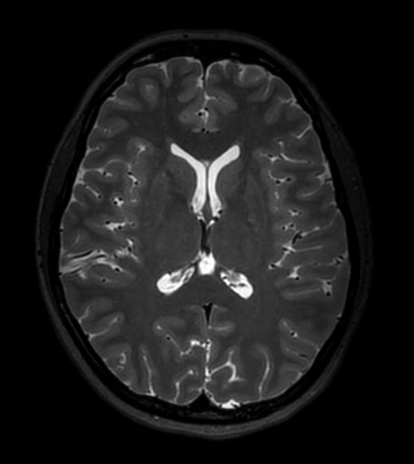
         3D T2w TSE (Axial reformat)
- 
      
         3D T2w TSE (Coronal reformat)
- 
      
         Axial DWI b1000
- 
      
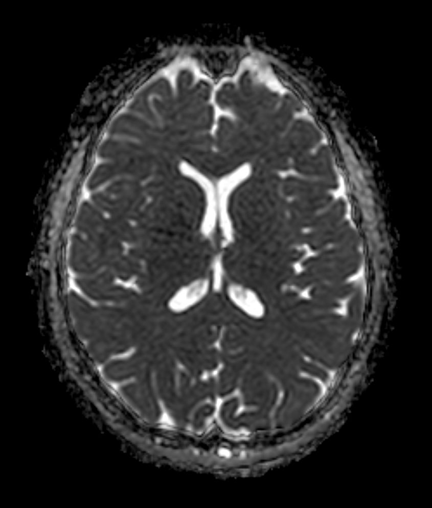
         Axial DWI b1000 (ADC)
- 
      
         Axial DWI b1000 (Coronal reformat)
- 
      
         Axial 3D T2w TSE DRIVE
- 
      
         3D T2w TSE DRIVE (Coronal reformat)
- 
      
         Axial 3D T2w TSE DRIVE (volume rendering)
                    
             
- 
      
         Axial SWIp (Modulus)
- 
      
         Axial SWIp (minIP)
- 
      
         Axial SWIp (Phase)
- 
      
         Time-of-Flight CoW (MIP - spin)
                    
             
- 
      
         Time-of-Flight CoW (MIP - tumble)
                    
             
Previous
    Next         
    
    Close
    
    
        
        Resolution
ScantimeObjective
    
     
             
    
        
            *Results from case studies are not predictive of results in other cases. Results in other cases may vary.