Go back

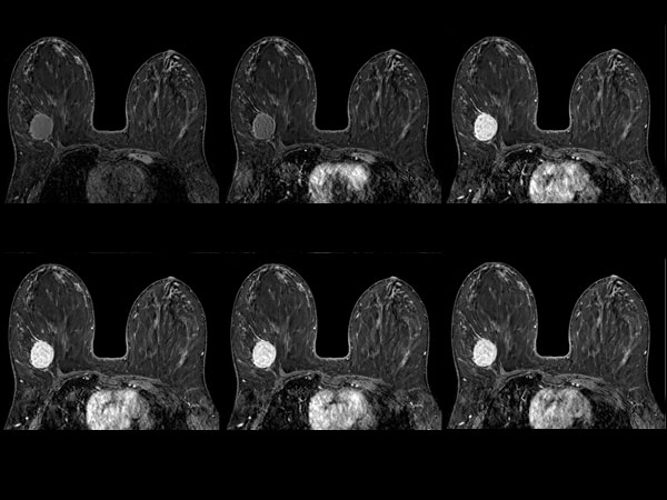
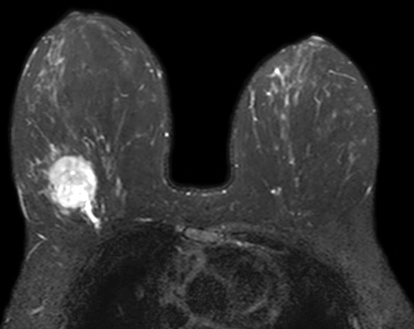
SmartBreast - dS Breast 7ch coil

Utrecht Medical Center, The Netherlands

Used Solution

  • System

  • Coil

More Information

*Results from case studies are not predictive of results in other cases. Results in other cases may vary.