Go back

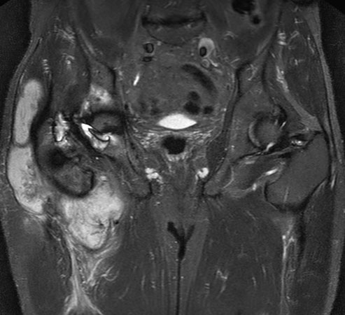
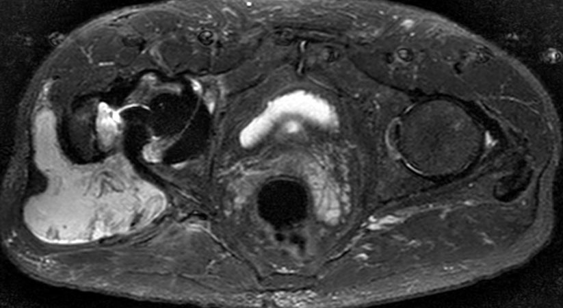
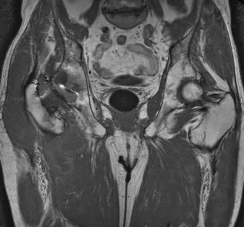
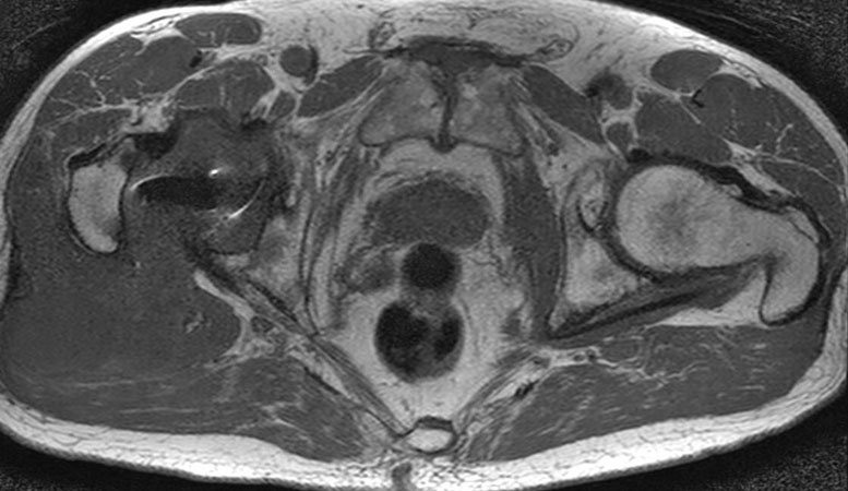
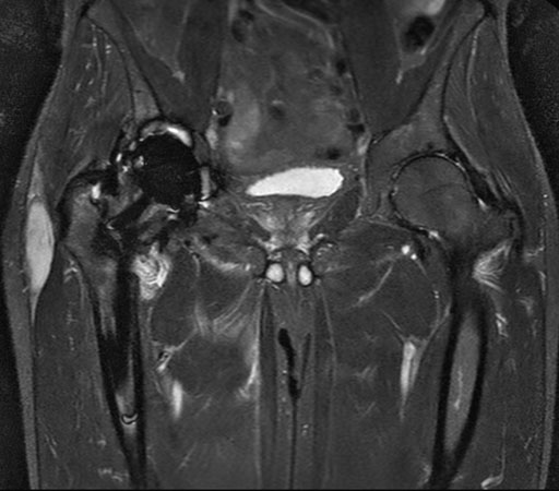
Hip imaging with metal implant using MARS at 1.5T

**Only for use with MR Safe or MR Conditional Implants by strictly following the Instructions for Use.