Go back
        3D APT brain imaging for glioblastoma recurrence 
        
            Kurashiki Central Hospital, Okayama, Japan        
     
            
            
                
Patient information
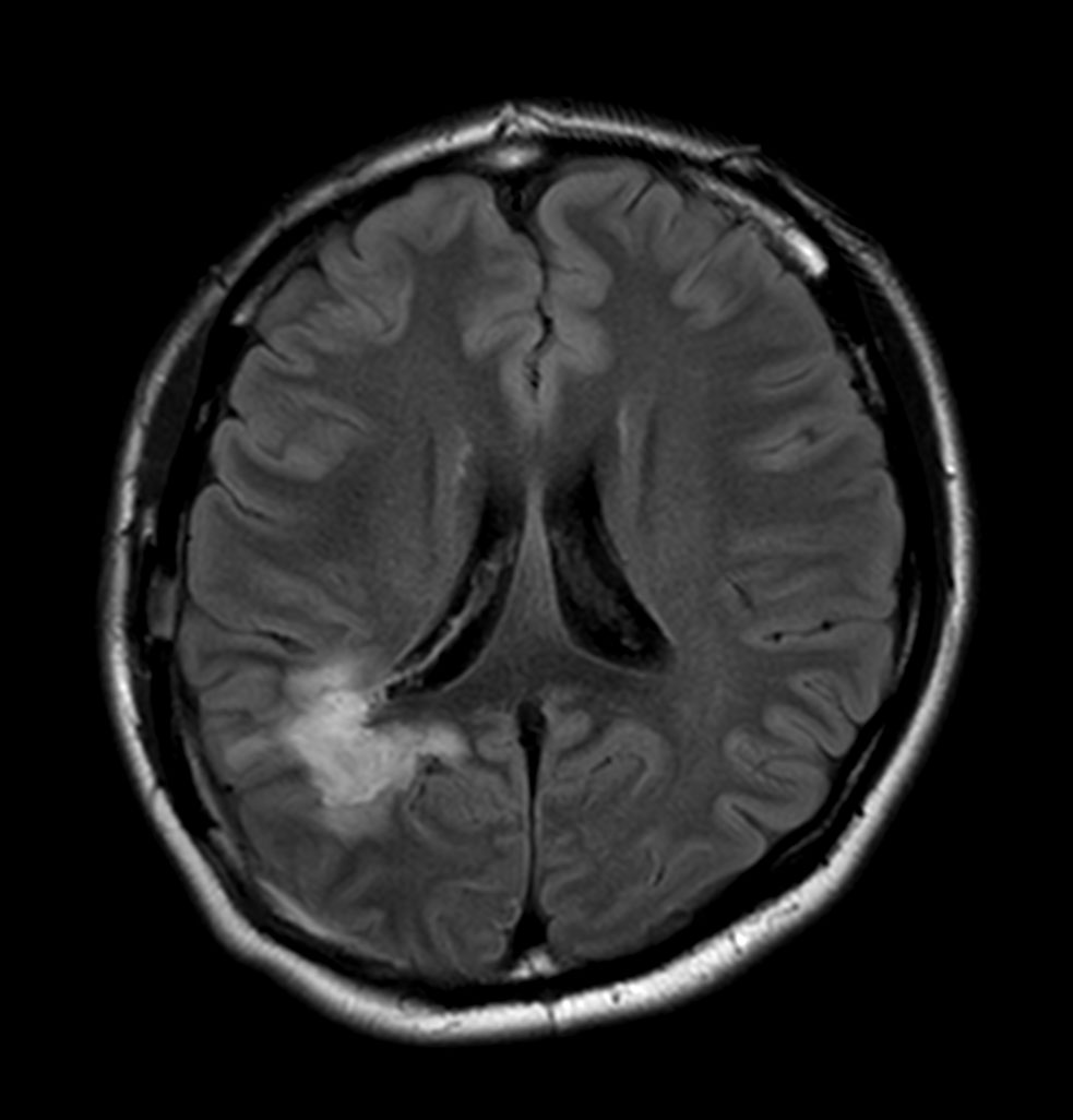
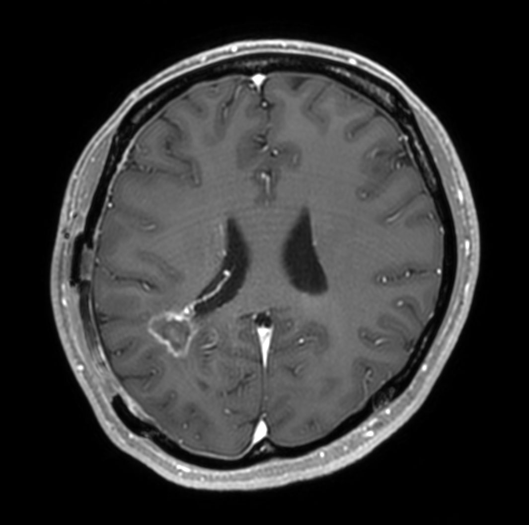
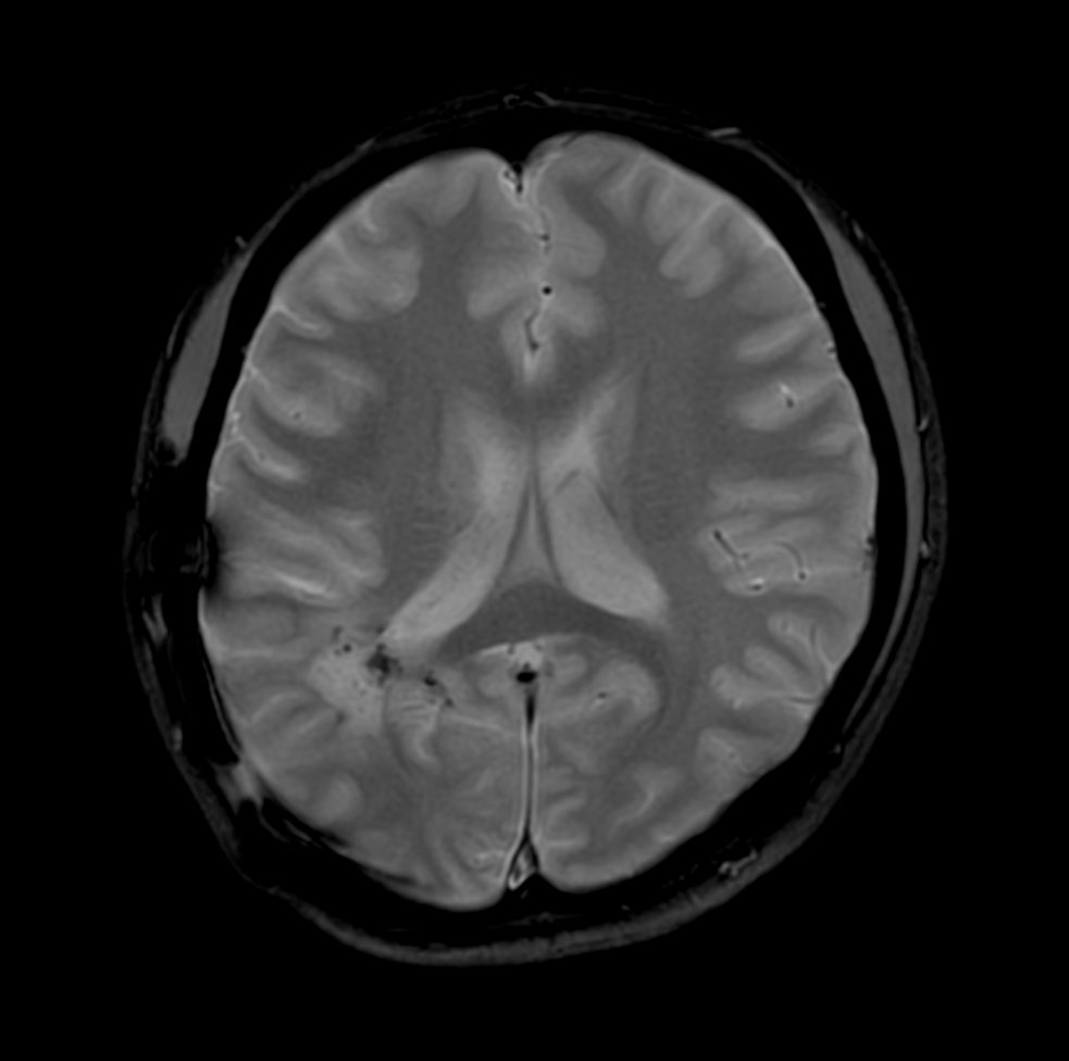
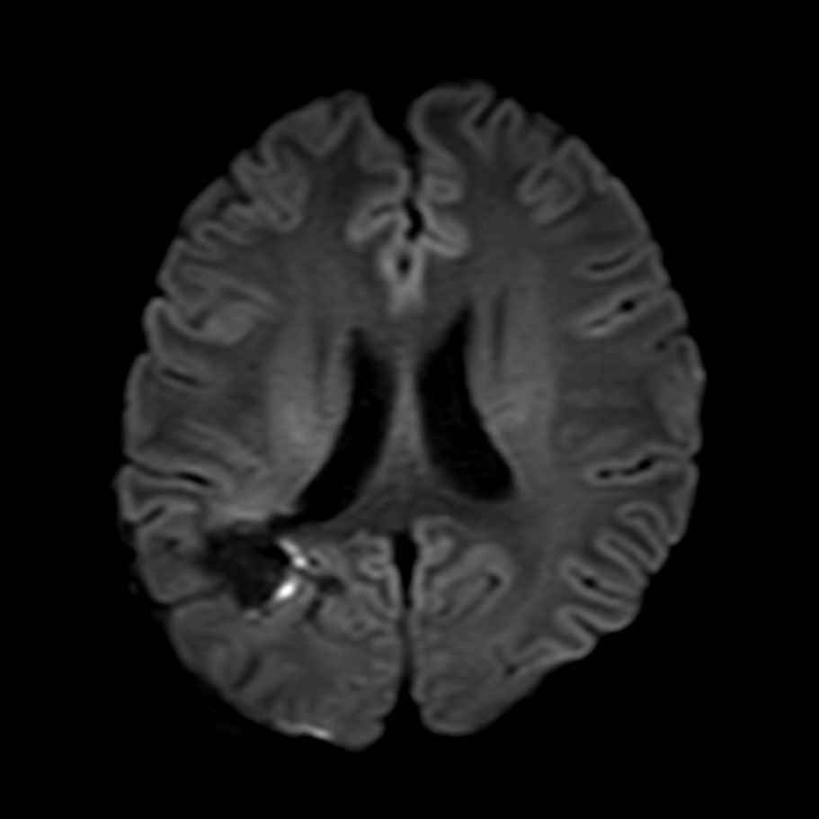
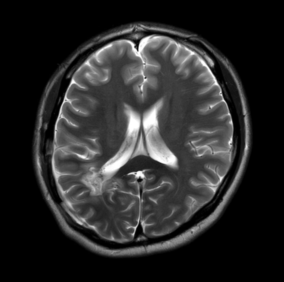
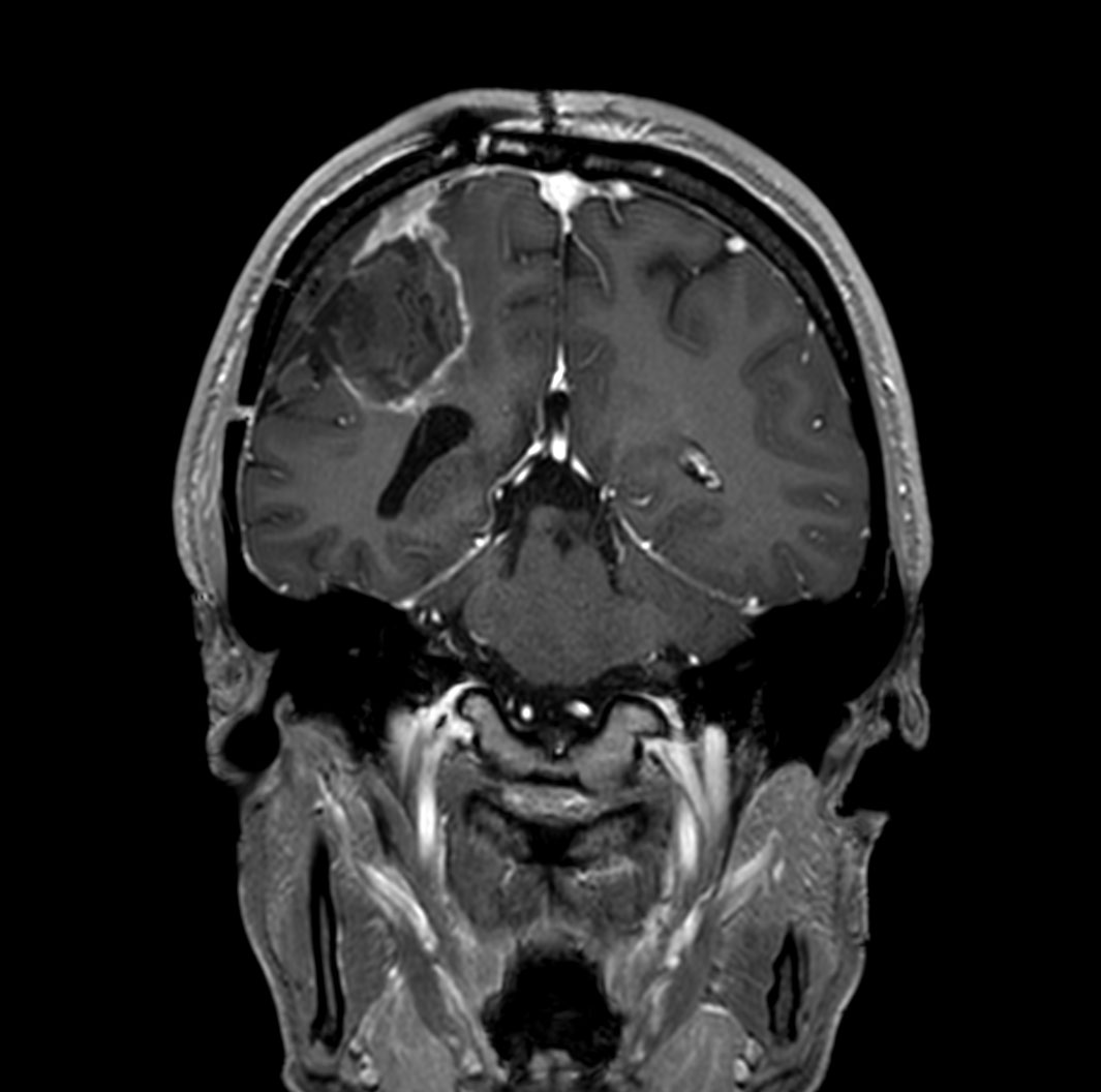
                Patient with a glioblastoma recurrence. Glioblastoma was surgically removed 5 month ago. The gadolinium enhancement was first thought to be the enhancement of choroid plexus. However this was diagnosed recurrence of glioblastoma due to the high APT value.            
        
    
    
    
        Gallery
        
    
        - 
      
         Axial DWI (b1200)
- 
      
         Axial DWI (ADC)
- 
      
         Axial T2w FLAIR
- 
      
         Axial T2w TSE
- 
      
         Axial T1w IR TSE
- 
      
         Axial T2w FFE
- 
      
         Axial 3D APT
- 
      
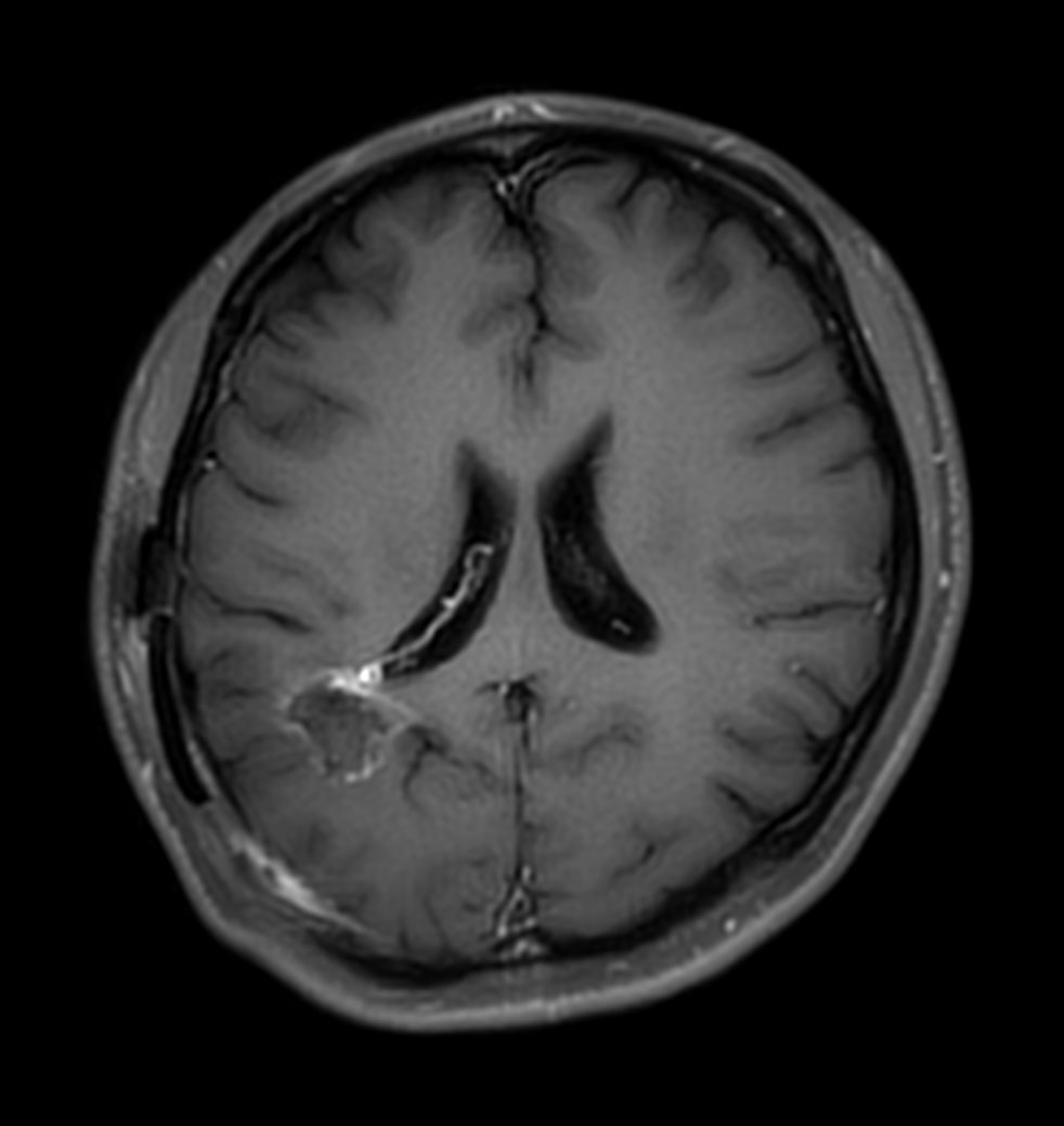
         Axial T1w IR TSE with gado
- 
      
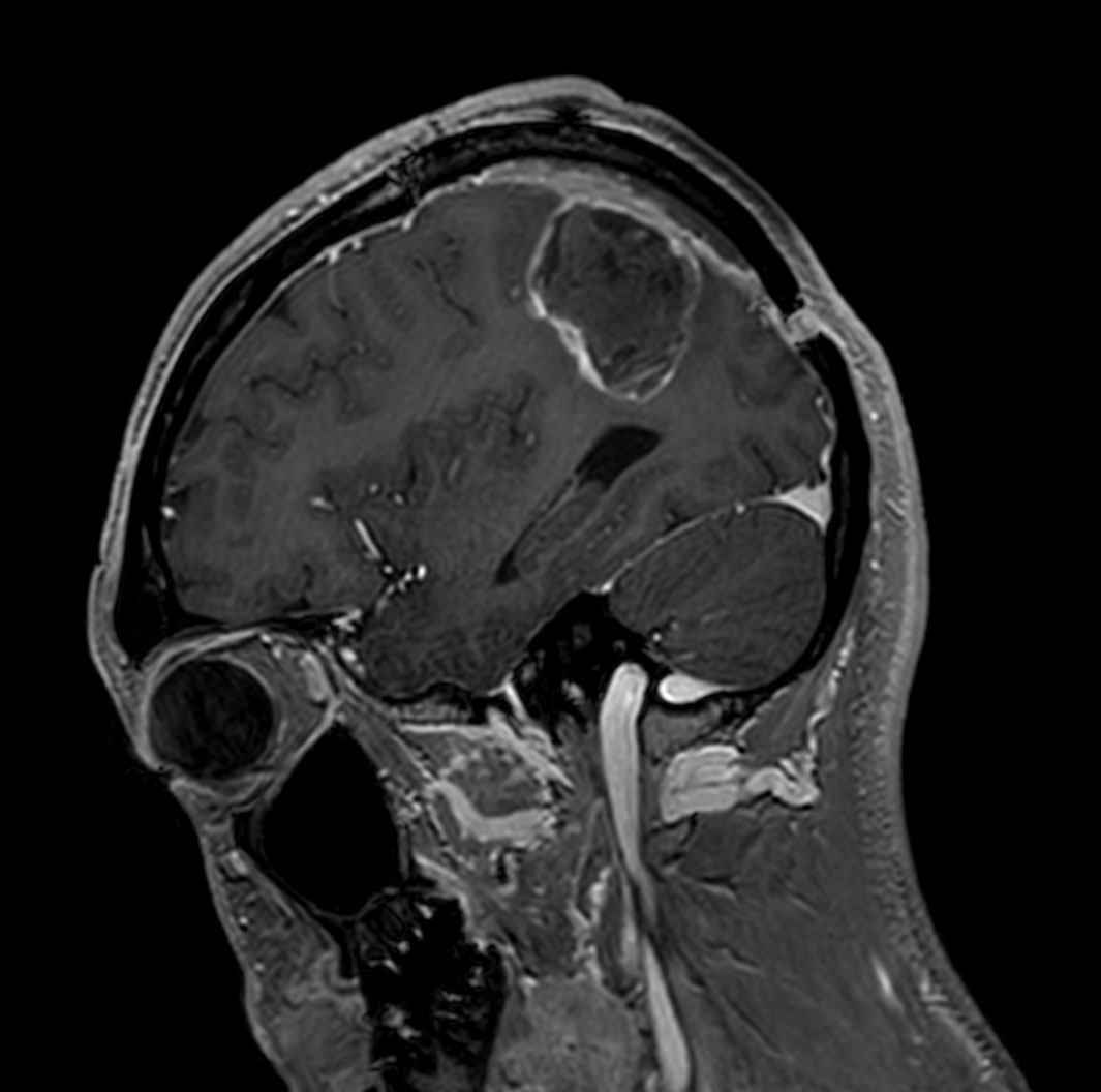
         Sagittal T1w 3D FFE with gado
- 
      
         T1w 3D FFE with gado (coronal reformat)
- 
      
         T1w 3D FFE with gado (axial reformat)
Previous
    Next         
    
    Close
    
    
        
        Resolution
ScantimeObjective
    
     
             
    
        
            *Results from case studies are not predictive of results in other cases. Results in other cases may vary.