Patient information
                Liver imaging case, leveraging Philips SmartSpeed, our breakthrough new MRI application that delivers image and speed without compromise. Building on our proven technology and leveraging AI* to take fast MRI technology to the next level. Imaging speed is increased while providing greater resolution to deliver outstanding image quality. It covers motion imaging, free-breathing imaging and diffusion-weighted imaging to address the needs of a broad range of patients in various conditions.            
        
    
    
    
        Gallery
        
    
        - 
      
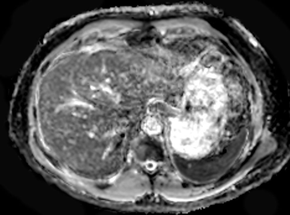
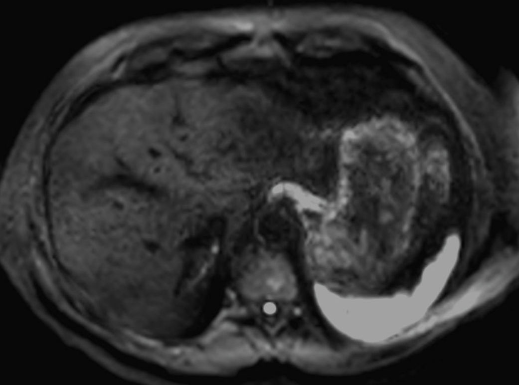
         Axial T2w TSE mDIXON (water only)SmartSpeed MotionFree
- 
      
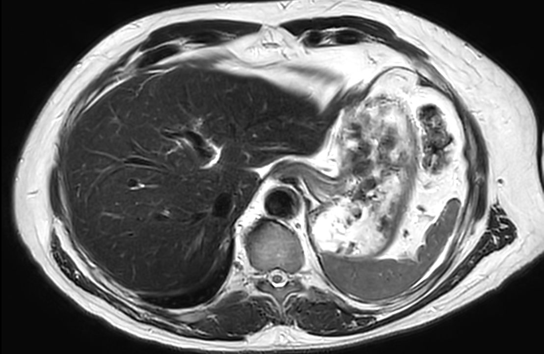
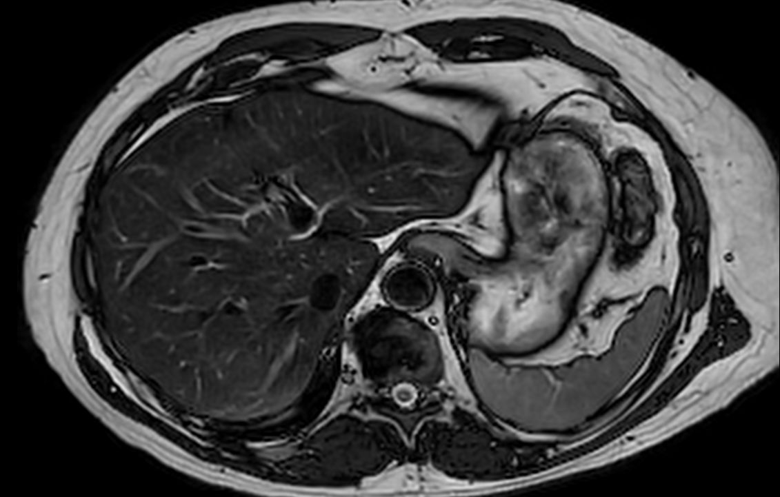
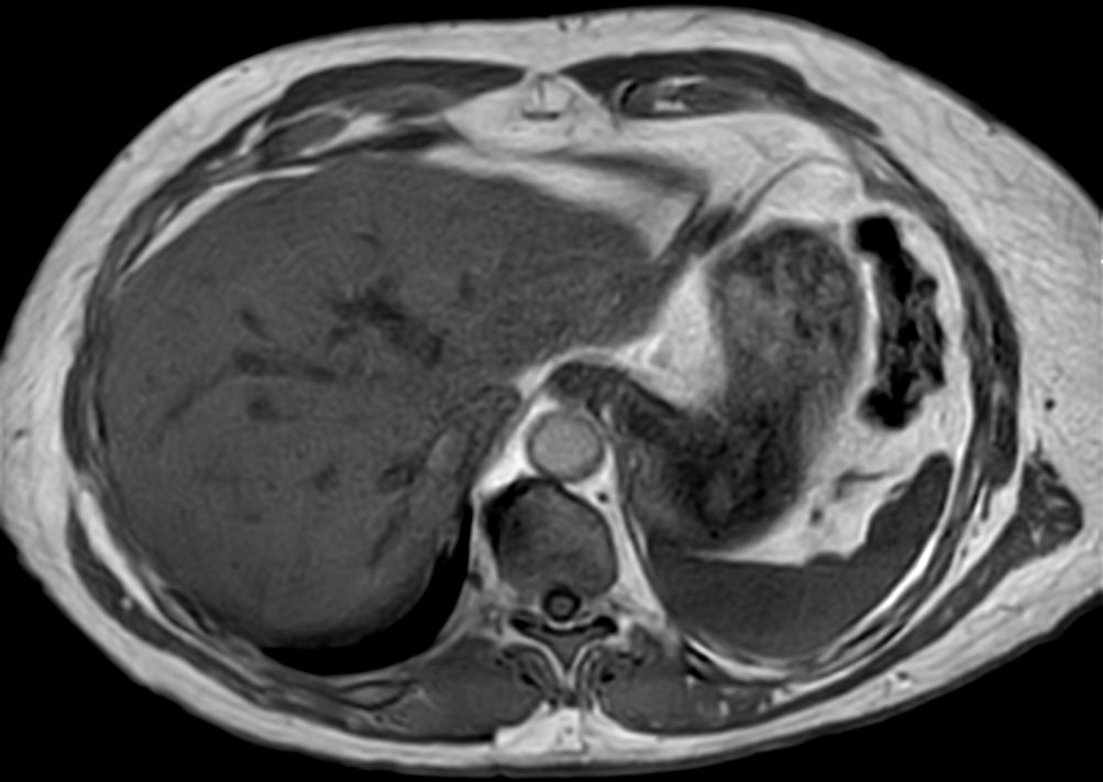
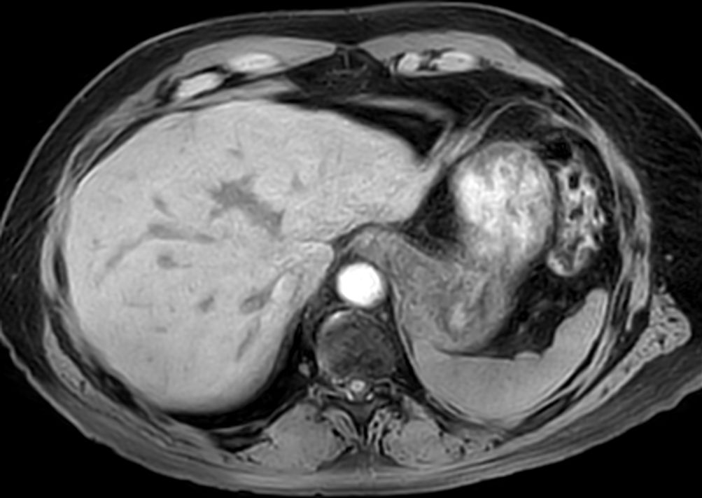
         Axial T2w TSE mDIXON (in-phase)SmartSpeed MotionFree
- 
      
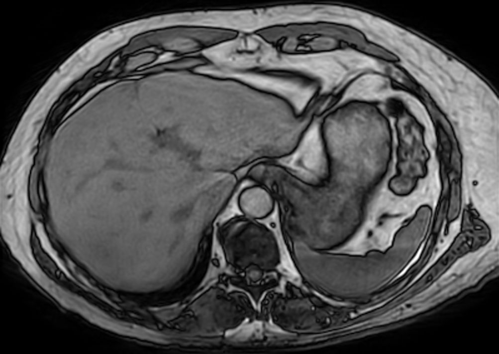
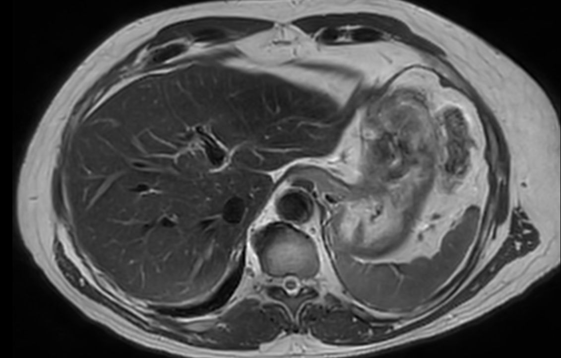
         Axial T2w TSE mDIXON (out-phase)SmartSpeed Diffusion
- 
      
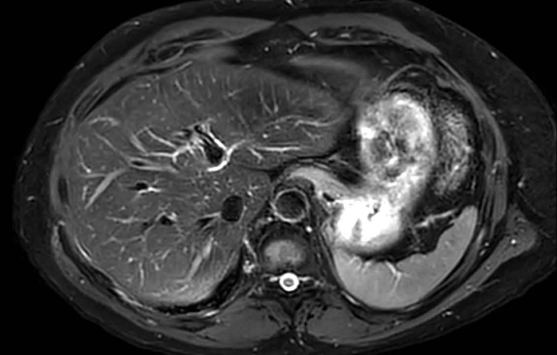
         Axial DWI (b0)SmartSpeed Diffusion
- 
      
         Axial DWI (b1000)SmartSpeed Diffusion
- 
      
         Axial DWI (ADC)SmartSpeed Diffusion
- 
      
         Axial T1w 3D VANE XD (water only)SmartSpeed 3D FreeBreathing
- 
      
         Axial T1w 3D VANE XD (in-phase)SmartSpeed 3D FreeBreathing
- 
      
         Axial T1w 3D VANE XD (out-phase)SmartSpeed 3D FreeBreathing
- 
      
         Axial DWI IRIS Zoom (b0)
- 
      
         Axial DWI IRIS Zoom (b800)
- 
      
         Axial DWI IRIS Zoom (ADC)
- 
      
         Axial T2w TSESmartSpeed Motion-Free
- 
      
         Coronal 3D MRCPSmartSpeed
                    
             
Previous
    Next         
    
    Close
    
    
        
        Resolution
ScantimeObjective
    
     
             
    
        
            *According to the definition of AI from the EU High-Level Expert Group. Results from case studies are not predictive of results in other cases. Results in other cases may vary.