Go back
        Brain lesion - Advanced imaging
        
            Star Imaging, Pune,  India        
     
            
            
                
Patient information
                Patient with a brain lesion. ExamCard includes MultiVane XD for motion-free imaging in short scan time, Compressed SENSE to shorten exam time, SWIp to enhance contrast for deoxygenated (venous) blood or calcium deposits, a high resolution 3D FLAIR sequence enabling reformats in any plane without loss of resolution, diffusion to achieve high contrast between background and lesions, pCASL to visualize brain perfusion and functional physiology in a non-contrast manner, dynamic multi-slice T2* perfusion for quantitative analysis, and spectroscopy for a non-invasive measurement of biochemical changes in the brain.            
        
    
    
    
        Gallery
        
    
        - 
      
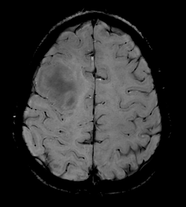
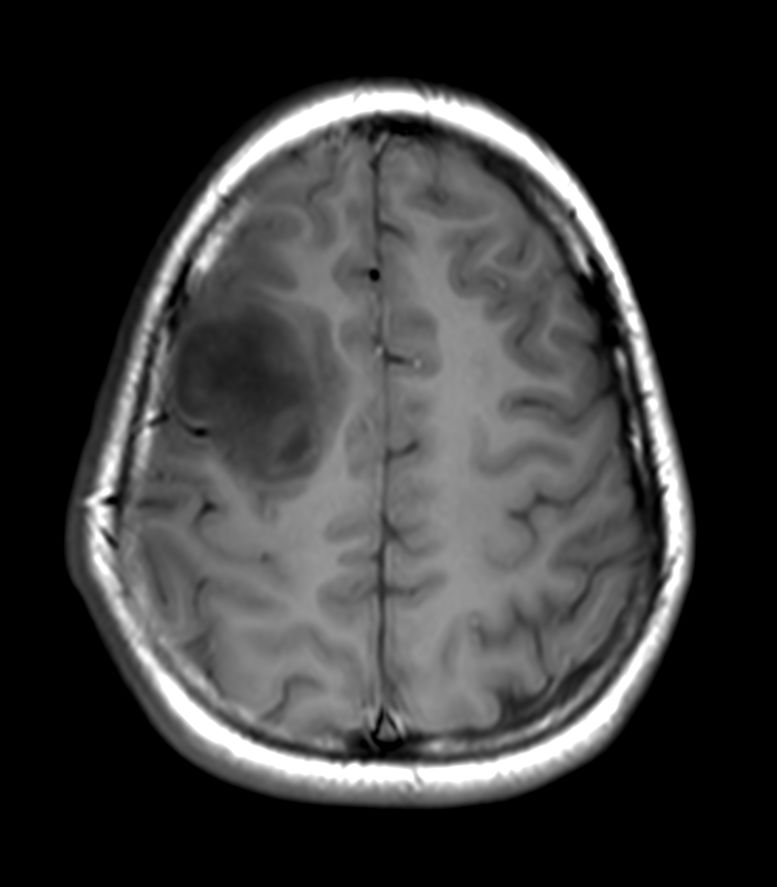
         T1w SE
- 
      
         T2w TSE MultiVane XD
- 
      
         T2w TSE Compressed SENSE
- 
      
         SWIp (Modulus) Compressed SENSE
- 
      
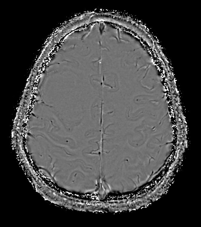
         SWIp (Phase) Compressed SENSE
- 
      
         SWIp (minIP) Compressed SENSE
- 
      
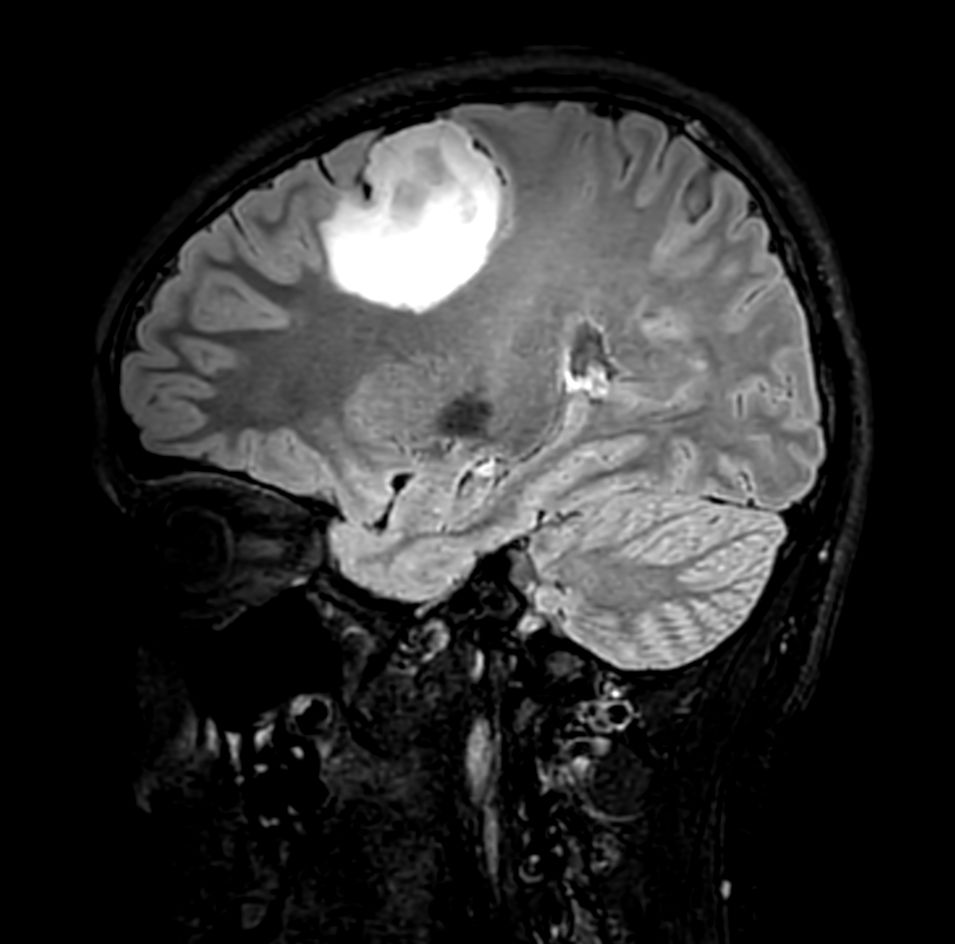
         Sagittal 3D T2w FLAIR Compressed SENSE
- 
      
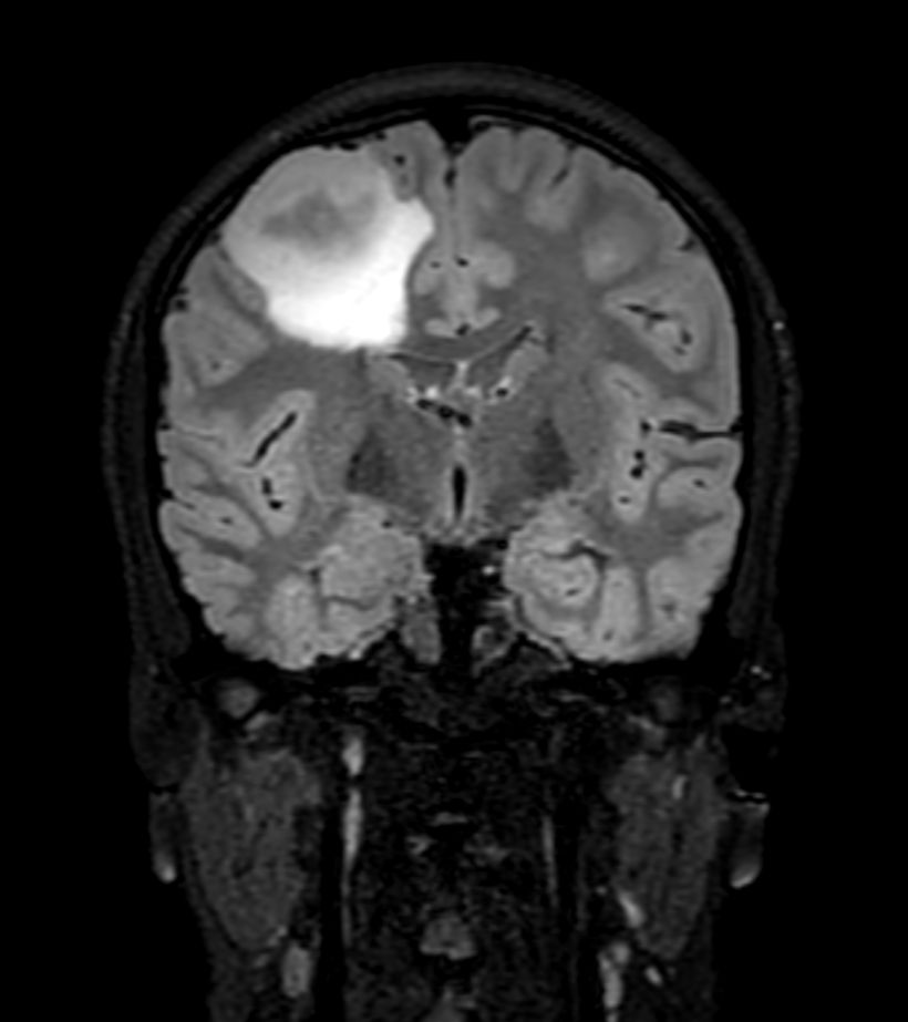
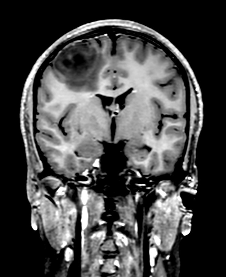
         3D T2w FLAIR - Coronal Reformat Compressed SENSE
- 
      
         3D T2w FLAIR - Axial Reformat Compressed SENSE
- 
      
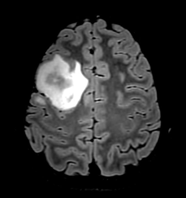
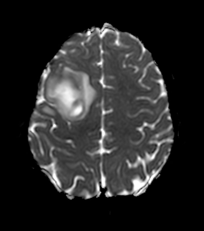
         Diffusion (b1000)
- 
      
         Diffusion (ADC)
- 
      
         pCASL
- 
      
         T2* Perfusion (FFE-EPI)
- 
      
         T2* Perfusion (Cerebral Blood Volume)
- 
      
         T2* Perfusion (Cerebral Blood Flow)
- 
      
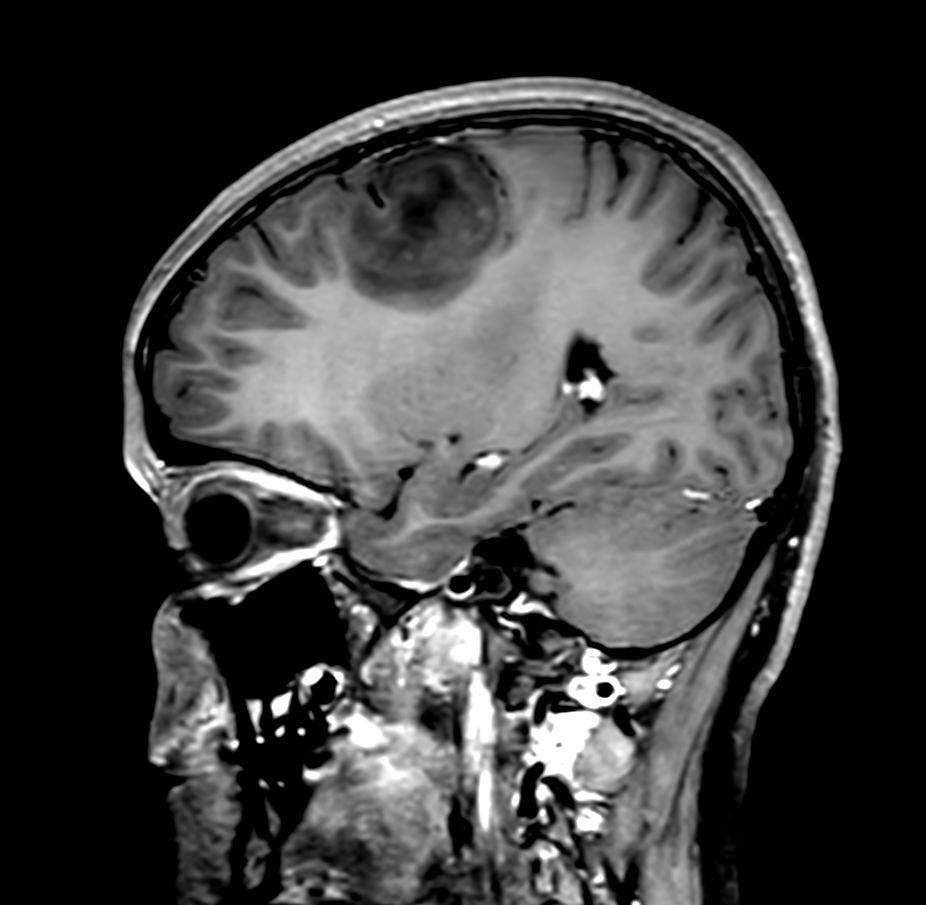
         Sagittal 3D T1w TSE +gado Compressed SENSE
- 
      
         3D T1w TSE +gado - Coronal Reformat
- 
      
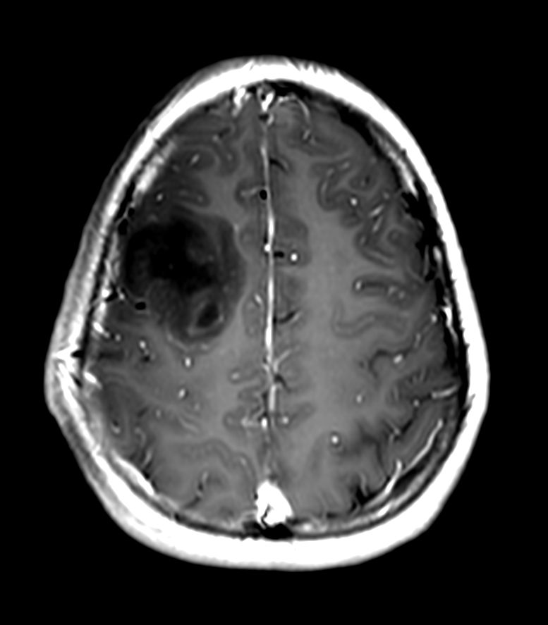
         T1w SE +gado
- 
      
         Spectroscopy
Previous
    Next         
    
    Close
    
    
        
        Resolution
ScantimeObjective
    
     
             
    
        
            *Results from case studies are not predictive of results in other cases. Results in other cases may vary.