Patient information
                Breakthrough Breeze coils are more than 75% lighter than conventional Philips MR coils, yet rigid enough to hold their shape during patient breathing or movement.
While workflow simplification tools like SmartShim automate image-based shimming for easy multi-station pasting, lightweight Breeze coils help to make set-up fast and easy.
Operators have the flexibility to position the coil in landscape or portrait mode to precisely match the anatomy and accurately capture the organ of interest.
These coils can be used alone or in combination bringing extraordinary versatility to creating quality MR images.
The MR 5300’s large 55cm field-of-view allows for extended anatomical coverage.
And premium signal-to-noise ratio with dStream provides outstanding image resolution.
Powered with SmartSelect technology, the Breeze coils allow automatic detection of the right coil combinations and select the right coil elements to provide highest SNR for the region of interest.            
        
    
    
    
        Gallery
        
    
        - 
      
         Coronal T2w TSE (2 stations)Dual coil
- 
      
         Coronal T1w FFE mDIXON (2 stations)Dual coil - Compressed SENSE
- 
      
         Axial T2w TSE MultiVane XD
- 
      
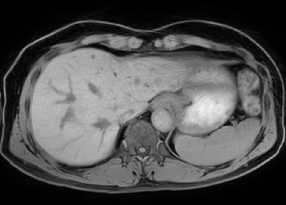
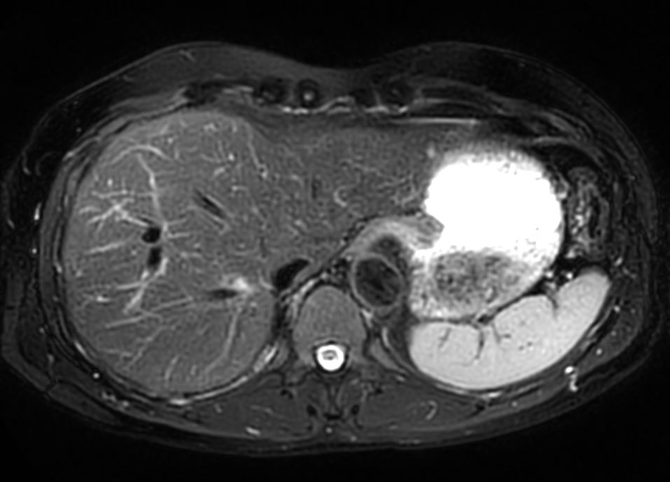
         Axial T2w SPIR MultiVane XD
- 
      
         Axial 3D VANE XD
- 
      
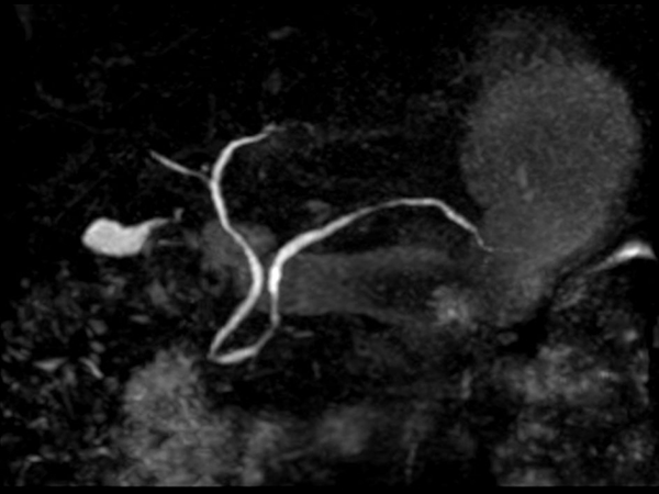
         Coronal 3D MRCP
                    
             
- 
      
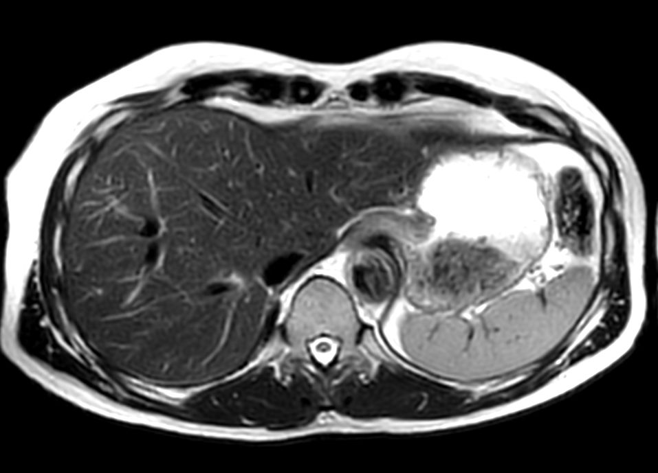
         Axial Dual FFE (In Phase)
- 
      
         Axial Dual FFE (Out Phase)
- 
      
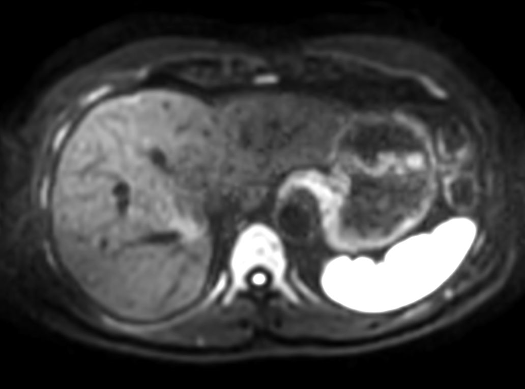
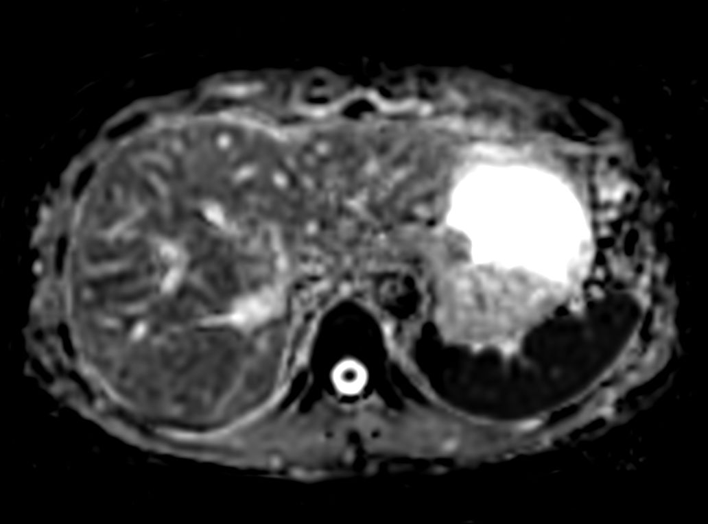
         Axial Diffusion (b600)
- 
      
         Axial Diffusion (ADC)
- 
      
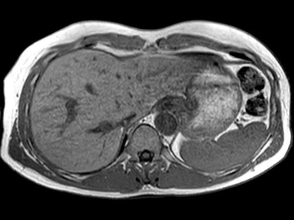
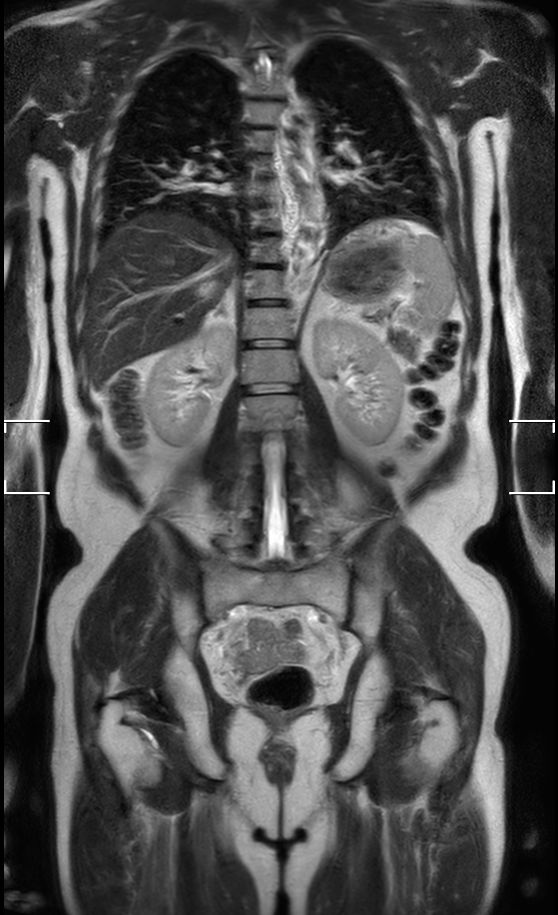
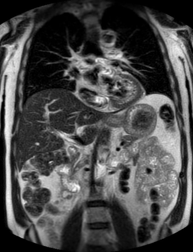
         Coronal T2w TSE (1 station)Chest Abdomen - Single coil
- 
      
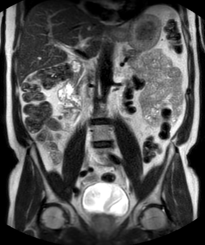
         Coronal T2w TSE (1 station)Abdomen Pelvis - Single coil
- 
      
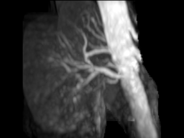
         bTRANCE non-CE MRA (tumble)
                    
             
- 
      
         bTRANCE non-CE MRA (spin)
                    
             
Previous
    Next         
    
    Close
    
    
        
        Resolution
ScantimeObjective
    
     
             
    
        
            *Results from case studies are not predictive of results in other cases. Results in other cases may vary.